Bilaga 1. Ultraljudsdiagnostik icke-epiteliala äggstockscancer
Icke-epiteliala äggstockscancer är ovanliga och gruppen omfattar tumörer med olika histologi och morfologiska karakteristika. Många av tumörerna förekommer oftare hos unga kvinnor som vill föda barn, vilket ställer stora krav på utredning och behandling. En erfaren ultraljudsspecialist kan med hjälp av ”pattern recognition” skilja mellan benigna och maligna adnexexpansiviteter med en sensitivitet på 90 %, och en specificitet på 94 %, enligt en multicenterstudie inkluderande 3 511 patienter. Majoriteten icke-epiteliala äggstockscancer är solida, oregelbundna och välvaskulariserade och framstår därför som malignitetssuspekta. Nedan beskrivs en rad icke-epiteliala tumörer som har karakteristisk ultraljudsmorfologi.
Dysgerminom
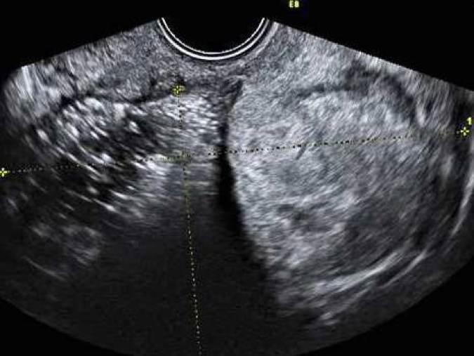
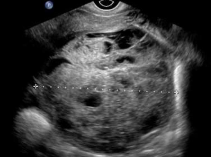
Dysgerminom är en av de vanligaste typerna av groddcellstumör och förekommer ofta hos unga kvinnor; 80 % är yngre än 30 år. Tumörformen är sällsynt hos kvinnor som genomgått menopaus. AFP- och hCG kan vara förhöjda liksom även LD. Bilaterala tumörer ses hos 10–15 % av kvinnorna. Tumörerna är solida, lobulerade, välvaskulariserade och ofta stora (10–15 cm) vid diagnos. Se bild 1.
Bild 1. Snabbväxande dysgerminom hos 22-årig gravid kvinna med förhöjt S-LD.
Omogna teratom
Benigna teratom, dvs. dermoider, är vanligt förkommande. Dermoider kan till exempel innehålla talg, brosk, ben, tänder och hår. Talginnehållande dermoider kastar smutsiga, ljusa skuggor liknande de som man ser i gasförande tarm, vilket gör dem svåra att se med ultraljud och lätta att missa om man bara ultraljudsundersöker och inte palperar patienten. Tänder, brosk och ben ses som hyperekogena strukturer och hår ses som ekogena vita linjer. Vanligen ses inga solida vaskulariserade partier i benigna dermoider, förutom om det förekommer tyreoideavävnad (struma ovarii) eller neurogen vävnad. Vid struma ovarii ses oftast solid vaskulariserad vävnad i kombination med cystiska strukturer, se bild 2. Det är svårt att utesluta omoget teratom vid förekomst av solid vävnad, men det tycks förekomma omogna teratom där man med ultraljud inte kunnat upptäcka solid vävnad.

Bild 2. Struma ovarii, notera hyperekogen solid vävnad till höger i bild.

Bild 3. Omoget teratom, notera oregelbunden struktur.
Gulesäckstumör
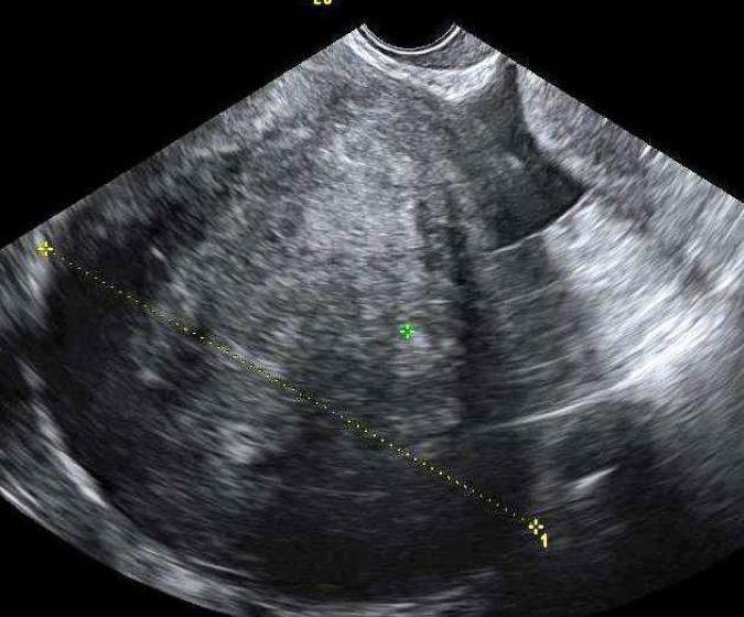
Gulesäckstumör är en ovanlig och högmalign tumör, som ofta uppträder hos unga kvinnor (vanligen 10–30 år). Stora studier saknas som beskriver ultraljudsmorfologin eftersom tumören är ovanlig, men enligt fallbeskrivningar är tumören oftast unilateral, stor (10–20 cm), solid och välvaskulariserad. Nekros kan förkomma. Se bild 4.

Bild 4. Gulesäckstumör, ”Yolksac tumor/endodermal sinus tumor”, hos 25-årig patient som sökt vård pga. blödningsrubbningar, förhöjt AFP.
Koriokarcinom
Koriokarcinom kan antingen uppkomma primärt i ovariet utan föregående graviditet eller vara en del i en graviditetsrelaterad trofoblastsjukdom, se mer i Nationellt vårdprogram för Trofoblastsjukdomar. Eftersom dessa tumörer producerar hCG är det ofta svårt att ställa diagnos: Rör det sig om en ektopisk graviditet, en ”ektopisk” trofoblast sjukdom, en trofoblastsjukdom med metastas till ovariet eller en icke-graviditetsrelaterad primär äggstockscancer? Det finns flera fallbeskrivningar publicerade men inga större studier. Koriokarcinom i uterus ses som en resistens i myometiet med dilaterade patologiska blodkärl med lågresistent blodflöde.
Granulosacellstumörer
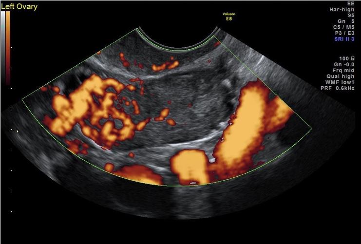
Granulosacellstumörer producerar ofta östrogen och förekommer hos kvinnor i alla åldrar. I en serie på 23 fall beskrivs tumören som ensidig, solid eller flerrummigt solid (många gånger solid med små cystiska hålrum, s.k. ”schweizerost”). Den har rikligt blodflöde och oregelbunden ekogenicitet med en medeldiameter på 10 cm3. Se bild 5.

Bild 5. Granulosacellstumör hos 30-årig kvinna med blödningsrubbningar och infertilitet.
Fibrom, fibrotekom och tekom
Fibrom är den vanligaste benigna könssträngs- och stromacellstumören. Fibrom är inte östrogenproducerande och uppkommer från de kollagenproducerade spolcellerna. De är oftast (95 %) unilaterala, stora tumörer (uppemot 15 cm), och endast en tredjedel är mindre än 3 cm, se bild 6.
Fibrotekom är också en benign tumör som uppkommer från stromacellerna. Fibrom och fibrotekom har en liknande ultraljudsbild, se bild 6 och 7. De är solida och runda, ovala eller lätt lobulerade tumörer med regelbunden eller lätt oregelbunden ekogenicitet. Blodflödet är sparsamt till måttligt. Tumörerna är ”täta” och kastar ofta randiga skuggor (liksom vid myom). Cystiska hålrum kan förekomma och är framträdande i en minoritet av fallen. Meigs syndrom (se kapitel 9 Histopatologi) förekommer totalt sett i 10 % av fallen, men i hela 40 % av fallen när fibromen är > 10 cm stora. CA-125 är förhöjt hos en tredjedel av kvinnorna med fibrom. Ibland kan det vara svårt att skilja fibrom och fibrotekom från maligna tumörer, eftersom de kan bilda ascites och förhöjt CA-125. Skuggbildning, tät tumör och sparsamt blodflöde kan i dessa fall stödja en benign diagnos.
Tekom är benigna tumörer som ofta är östrogenproducerande.

Bild 6. Fibrom

Bild 7. Tekom
Sertoli-Leydig tumörer
Förekommer hos kvinnor i alla åldrar, ger ofta endokrina symptom. I en serie på 23 patienter fann man att tumören var helt solid i 60 % av fallen och innehöll en solid komponent i 96 % av fallen 5. De flesta tumörerna är ensidiga, solida eller har solida komponenter som är måttligt till rikligt vaskulariserade. Leydigcell tumörer är ofta små solida tumörer (1-3cm), (Bild 8), Sertolicelltumörer är också solida men kan vara något större (4-7cm), medan Sertoli-Leydigcelltumörer är antingen solida små till mellanstora (3-7 cm eller flerrummiga till solida med ett stort antal hålrum och solida partier.

Bild 8. Leydig celltumör hos 73 årig kvinna med ökad libido, klitoris hypertrofi och viriliserade symptom. Notera liten välvaskulariserad tumör
Metastaser till ovariet
Det är relativt vanligt förekommande med metastaser i ovarierna från andra maligna tumörer, vanligast förekommande är metastaser från kolorektal, övre GI, ventrikel, lymfom och bröstcancer. Det finns studier som har visat att metastaser från lymfom, bröst-, och ventrikelcancer ofta är solida medan metastaser från colorektal, gallblåse, pancreascancer ofta är flerrummigasolida med inslag av nekros 10,11 (Bild 9-12). Vid spridd bukmalignitet kan vara svårt att tala skilja primär ovarialcancer från metastaserade cancer av annan genes, inslag av tumörnekros, avsaknad av ovarialtumör talar dock för icke ovariell genes. Transvaginal eller transabdominell mellanålsbiopsi är en snabb enkel minimal-invasiv metod att fastställa tumörens primaritet.

Bild 9. Coloncancermetastas hos 19 årig kvinna i HNPCC familj.

Bild 10. "Krukenberg tumör", ventrikelcancermetastas

Bild 11. Flerrummig solid pancreascancer metastas.

Bild 12. Solid bröstcancer metastas
Referenser
D. Timmerman, L. Valentin, T. H. Bourne, W. P. Collins, H. Verrelst and I. Vergote. Terms, definitions and measurements to describe the sonographic features of adnexal tumors: a consensus opinion from the International Ovarian Tumor Analysis (IOTA) Group. Ultrasound Obstet Gynecol 2000; 16: 500-505.
L. Valentin, L. Ameye, L. Savelli, R. Fruscio, F. P. Leone, A. Czekierdowski, A. A. Lissoni, D. Fischerova, S. Guerriero, C. Van Holsbeke, S. Van Huffel and D. Timmerman. Adnexal masses difficult to classify as benign or malignant using subjective assessment of gray-scale and Doppler ultrasound findings: logistic regression models do not help. Ultrasound Obstet Gynecol; 38: 456-465.
C. Van Holsbeke, E. Domali, T. K. Holland, R. Achten, A. C. Testa, L. Valentin, D. Jurkovic, P. Moerman and D. Timmerman. Imaging of gynecological disease (3): clinical and ultrasound characteristics of granulosa cell tumors of the ovary. Ultrasound Obstet Gynecol 2008; 31: 450-456.
S. Guerriero, A. C. Testa, D. Timmerman, C. Van Holsbeke, S. Ajossa, D. Fischerova, D. Franchi, F. P. Leone, E. Domali, J. L. Alcazar, G. Parodo, F. Mascilini, B. Virgilio, V. N. Demidov, J. Lipatenkova and L. Valentin. Imaging of gynecological disease (6): clinical and ultrasound characteristics of ovarian dysgerminoma. Ultrasound Obstet Gynecol; 37: 596-602.
V. N. Demidov, J. Lipatenkova, O. Vikhareva, C. Van Holsbeke, D. Timmerman and L. Valentin. Imaging of gynecological disease (2): clinical and ultrasound characteristics of Sertoli cell tumors, Sertoli-Leydig cell tumors and Leydig cell tumors. Ultrasound Obstet Gynecol 2008; 31: 85-91.
Q. Zhou, X. Y. Lei, Q. Xie and J. D. Cardoza. Sonographic and Doppler imaging in the diagnosis and treatment of gestational trophoblastic disease: a 12-year experience. J Ultrasound Med 2005; 24: 15-24.
Savelli L, Testa AC, Timmerman D, Paladini D, Ljungberg O, Valentin L. Imaging of gynecological disease (4): clinical and ultrasound characteristics of struma ovarii. Ultrasound Obstet Gynecol. 2008 Aug;32(2):210-9.
Sivanesaratnam V, Dutta R, Jayalakshmi P. Ovarian fibroma--clinical and histopathological characteristics. Int J Gynaecol Obstet. 1990 Nov;33(3):243-7.
Paladini D, Testa A, Van Holsbeke C, Mancari R, Timmerman D, Valentin L. Imaging in gynecological disease (5): clinical and ultrasound characteristics in fibroma and fibrothecoma of the ovary. Ultrasound Obstet Gynecol. 2009 Aug;34(2):188- 95.
Zikan M, Fischerova D, Pinkavova I, Dundr P, Cibula D. Ultrasonographic appearance of metastatic non-gynecological pelvic tumors. Ultrasound Obstet Gynecol. Feb;39(2):215-25.
Testa AC, Ferrandina G, Timmerman D, Savelli L, Ludovisi M, Van Holsbeke C, et al. Imaging in gynecological disease (1): ultrasound features of metastases in the ovaries differ depending on the origin of the primary tumor. Ultrasound Obstet Gynecol. 2007 May;29(5):505-11.
Fischerova D, Cibula D, Dundr P, Zikan M, Calda P, Freitag P, et al. Ultrasound-guided tru-cut biopsy in the management of advanced abdomino-pelvic tumors. Int J Gynecol Cancer. 2008 Jul-Aug;18(4):833-7.