Kategorisering av tumören
Sammanfattning
- Skivepitelcancer är den vanligaste typen av malignitet i analregionen. (Evidensgrad ++++)
- Indelning i olika subtyper har dålig reproducerbarhet och rekommenderas inte. (Evidensgrad ++)
- Immunhistokemisk färgning för p16 rekommenderas. (Evidensgrad ++)
Patologins roll i den diagnosiska processen
Diagnostik baserad på ljusmikroskopisk vävnadsanalys av anala tumörer är avgörande för beslut om behandling.
Patologen ska grunda sin bedömning på WHO Classification of Tumours of the Digestive System 2019 32 och 8:e versionen av UICC TNM Classification of Malignant Tumours 33. Texten bygger på gällande KVAST-dokument för analcancer. För att säkra nationell enhetlighet och kvalitet bör preparat hanteras enligt riktlinjerna i detta vårdprogram.
Anvisningar för provtagarens hantering av provet
Biopsier fixeras omedelbart i 10% neutral buffrad formalin (4% formaldehyd).
Vid operationspreparat av analcancer är det en fördel om rektum klipps upp fram till cirka 1 cm proximalt om tumörområdet men inte igenom detta. Det är också viktigt att orienteringen av preparatet framgår tydligt eftersom det efter fixering och uppklippning kan det vara svårt att orientera sig i ett resektat.
Anamnestisk remissinformation
Insändaren anger indikation för provtagning (anamnes inklusive symtom och sjukdomsduration, diagnos, typ av behandling och frågeställning). Endoskopiska fynd anges, liksom andra kliniska fynd och en bedömning. Om biopsier tas från olika delar av analkanalen ska tagställena noggrant anges.
I remissen som medföljer resektatet anges förklaringen till eventuella markeringar som gjorts i operationspreparatet, gärna i form av en ritad bild. Eventuell preoperativ tumörbehandling anges i förekommande fall.
Utskärningsanvisningar
Polyper bäddas i sin helhet vid polypektomi. Mått anges och fokala förändringar beskrivs.
Färska operationspreparat kan med fördel klippas upp. Själva tumörområdet bör dock lämnas ouppklippt, och lumenfyllande material bör läggas in för att säkerställa bra luminal fixering. Kirurgiska resektionsytor i närheten av tumören tuschas. Tumören skivas lämpligen transversellt och minst ett storsnitt rekommenderas.
När strålbehandling har givits kan eventuell resttumör vara mycket svår att identifiera, såväl makro- som mikroskopiskt. För att fastställa komplett respons (ypT0) måste hela det tumörsuspekta området bäddas. För en säker bedömning av lymfkörtelstatus ska minst 12 perirektala lymfkörtlar identifieras. Tumörens stadium bestäms enligt gällande TNM-klassifikation 34.
Analyser
Antalet inkomna biopsier antecknas som laboratorieanteckning. Biopsierna orienteras. Materialet paraffininbäddas och färgas med hematoxylin och eosin (H&E).
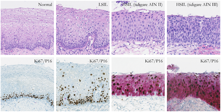
Vid nydiagnostiserad skivepitelcancer ska en immunfärgning för p16 utföras. Vid skivepiteldysplasi, också kallad intraepitelial skivepitellesion (SIL), kan en immunfärgning för p16 övervägas men rekommenderas inte som rutin. En färgning för ki67 kan vara till hjälp för att bestämma dysplasigraden, se figur 6 35. För immunhistokemisk reaktivitetsprofil i anala tumörer hänvisas till tabell i den aktuella WHO-klassifikationen av gastrointestinala tumörer 36.
Omkring 90 % av alla skivepitelcancrar visar en positiv immunfärgning för p16, vilket enligt de flesta studier korrelerar mycket väl med positivitet för HPV. HPV-protein E6 inaktiverar p53 och HPV-protein E7 leder indirekt via en permanent frikoppling av transkriptionsfaktorn E2F från retinoblastomproteinet till en ohämmad transkription och translation av p16 37. En positiv p16-immunfärgning betraktas således som en surrogatmarkör för en HPV-relaterad cancer.
Därutöver har färgningsresultat med p16 en prognostisk betydelse och skall utföras på alla nydiagnostiserade fall av skivepitelcancer. Enligt majoriteten av publikationer är prognosen mycket sämre vid bortfall av p16, det vill säga ett negativt färgningsresultat 383940.
I LAST-projektet 41 fastställs att endast stark och utbredd blockfärgning av p16 bör betraktas som positiv (figur 6). I skivepitel definieras detta som en sammanhängande stark kärn- och cytoplasmatisk färgning av basalcellsskiktet med förlängning uppåt engagerande hela eller åtminstone en tredjedel av epitelets tjocklek. Alla övriga mönster inklusive fläckvis mosaikfärgning eller avsaknad av färgning skall betraktas som negativa. Fokal eller ojämn kärnfärgning är ospecifik och kan ses vid reaktiv skivepitelmetaplasi liksom LSIL.
Majoriteten av fall med HSIL är positiva för p16 (80 till 90 % av de fall som tidigare betraktades som AIN II och nära 99 % av de fall som tidigare betraktades som AIN III). Positivitet för p16 utesluter dock inte LSIL som är positiv i åtminstone 30 % av fallen 41. Att särskilja hög- och låggradig sjukdom enbart baserat på utfallet av p16 rekommenderas därför inte. Det finns uppföljningsstudier som talar för att LSIL positiv för p16 i högre utsträckning tenderar att progrediera mot höggradig sjukdom men bevisen är ännu otillräckliga.
Färgning med p16 rekommenderas således inte rutinmässigt om den morfologiska bilden är normal, övertygande för LSIL eller övertygande för HSIL. I nedan differentialdiagnostiska situationer kan dock kompletterande färgning vara av värde.
- Skilja mellan HSIL och svårvärderade benigna tillstånd (såsom metaplasi, reaktiva epitelförändringar, atrofi).
- Om man överväger HSIL som differentialdiagnos till LSIL, talar positiv p16 för HSIL och negativ p16 för LSIL.
- Om konsensus inte råder kring tolkningen av ett fall och HSIL är en av differentialdiagnoserna kan positiv p16 stödja det senare.
Klassificering av tumören
Följande förändringar i anal och perianal vävnad blir oftast föremål för histopatologisk undersökning:
- Fissurer och fistlar
- Fibroepiteliala polyper
- Hemorrojder
- Solitärt ulkus/kloakogen polyp
Följande neoplasier blir oftast föremål för histopatologisk undersökning:
- Låg- respektive höggradig intraepitelial skivepitellesion (LSIL/HSIL).
- Skivepitelcancer
- Adenocarcinom
- Pagets sjukdom
- Melanom
- Neuroendokrin tumör/neuroendokrint carcinom (NET/NEC)
LSIL/HSIL
Skivepiteldysplasi i anus orsakas nästan uteslutande av HPV-infektion (humant papillomvirus). HPV är ett DNA-virus utan hölje som infekterar skivepitelceller och kan orsaka vårtbildningar eller cellförändringar med risk för cancerutveckling.
De flesta HPV-infektioner är övergående och läker ut inom två år, ofta utan att ha orsakat symtom. Hos vissa individer blir infektionen persistent, vilket kan leda till neoplastisk transformation av den infekterade cellen och cancerutveckling 42.
Det finns ett hundratal olika HPV-typer beskrivna, varav vissa infekterar hud och andra slemhinna. Ungefär 15 typer benämns högrisk-HPV och anses kunna orsaka cancer. De vanligaste högrisktyperna är HPV 16 och HPV 18 43. Till de så kallade lågrisktyperna räknas HPV 6 och HPV 11 som ses framför allt vid kondylom.
Makroskopiskt kan skivepiteldysplasi i anus presentera sig som en flack förändring i form av leukoplaki eller eksem men också som en anal fibroepitelial polyp eller klassisk vårta. Mb Bowen (perianal hud) och Pagets sjukdom beskrivs ofta som rodnader.
I senaste utgåvan av WHO Classification of Tumours of the Digestive System, 5th ed. 2019 36 rekommenderas ett tvågradigt system för gradering av skivepiteldysplasi. Tidigare indelning i AIN I till III (anal intraepitelial neoplasi) är nu ersatt av låg- respektive höggradig SIL (intraepitelial skivepitellesion). Det senare är resultatet av LAST-projektet (The Lower Anogenital Squamous Terminology standardization project) 41 som syftar till en enhetlig terminologi för dysplastiska lesioner i hela den anogenitala sfären. Ett tvågradigt system som SIL anses bättre spegla det biologiska förloppet och öka den histologiska reproducerbarheten. Biologiskt motsvarar LSIL en övergående infektion och HSIL en persistent infektion med risk för cancerutveckling.
LSIL innefattar lesioner som tidigare kategoriserades som låggradig dysplasi, AIN I och condyloma acuminatum. Histologiskt ses proliferation av basala och parabasala celler med avvikande kärnmorfologi såsom ökad kärnstorlek, oregelbundna kärnmembran och ökad kärn/cytoplasma-kvot. Dessa förändringar kan vara diskreta men även sträcka sig upp till en tredjedel av epitelets tjocklek. Även mitoser är begränsade till nedre tredjedelen av epitelet. Atypiska mitoser saknas. Cytologiska tecken på HPV-infektion i form av exempelvis koilocytos kan förekomma. Om LSIL förekommer i form av condyloma acuminatum bör det senare anges i utlåtandet inom parentes.
HSIL innefattar lesioner som tidigare kategoriserades som måttlig dysplasi, höggradig dysplasi, AIN II-III, carcinoma in situ, Bowens sjukdom och bowenoid papulos. Histologiskt ses proliferation av atypiska keratinocyter med ökad kärnstorlek, oregelbundna kärnmembran och ökad kärn/cytoplasma-kvot. Vid HSIL, tidigare AIN II, sträcker sig dessa förändringar upp till två tredjedelar av epitelets tjocklek och vid HSIL, tidigare AIN III, engagerar förändringarna även övre tredjedelen av epitelet. Mitoser, även atypiska, kan ses i såväl mellersta som övre tredjedelen av epitelet. Om HSIL förekommer i form av bowenoid papulos (perianal hud) bör det senare anges inom parentes då det rör sig om en särskild entitet med mildare naturalförlopp.
Figur 6. Övre raden: Hematoxylin-eosin färgning av normalt skivepitel, LSIL och HSIL. Nedre raden: Immunohistokemisk dubbelfärgning mot Ki67 (brun kärnfärgning) och p16 (röd kärn- och cytoplasmafärgning) i motsvarande preparat som i övre raden.
Superficiell skivepitelcancer
När det föreligger genomväxt av skivepitelets basalmembran är kriteriet för invasivt växande skivepitelcancer uppfyllt. LAST-projektet föreslår att termen superficiell invasiv skivepitelcancer (SISCCA, superficially invasive squamous cell carcinoma) skall gälla för all ytlig invasiv skivepitelcancer i den anogenitala sfären.
En invasiv skivepitelcancer föreslås diagnostiseras som superficiell om den har ett invasionsdjup ≤ 3 mm från basalmembranet där tumören har sitt ursprung OCH har en invasionsbredd ≤ 7 mm i maximal utsträckning OCH har exciderats radikalt. Samtliga tre kriterier måste vara uppfyllda för att diagnosen skall kunna ställas.
Om superficiell skivepitelcancer föreligger bör även bedömning avseende lymfovaskulär invasion (LVI) och multifokalitet inkluderas i svaret.
Skivepitelcancer
Skivepitelcancer är den vanligaste tumörtypen i detta område. Kopplingen mellan HPV och utveckling av skivepitelcancer i området är väl etablerad. HPV-infektion, vanligen HPV 16, svarar för åtminstone 90% av alla cancerfall 44.
Den histologiska bilden är ofta heterogen och flera subtyper av anal skivepitelcancer har beskrivits men reproducerbarheten av dessa har varit dålig och den prognostiska betydelsen begränsad. I nuläget rekommenderar WHO därför att endast diagnosen skivepitelcancer används. Histologiska mönster tidigare kännetecknande basaloida, adenoidcystiska och mucoepidermoida subtyper är dock viktiga att känna till för att undvika feldiagnos 44.
En variant som fortfarande är av värde att urskilja är verrukös cancer. Denna växer såväl exofytiskt som endofytiskt, uppvisar endast låggradiga cellulära avvikelser och saknar uppenbara tecken på HPV-infektion. Mitoser är sällsynta och övervägande basalt belägna. I biopsimaterial är diagnosen nära omöjlig att fastställa och kan endast föreslås på basen av klinisk information. Verrukös cancer växer lokalt destruktivt men metastaserar inte. Områden med växt av konventionell skivepitelcancer kan förekomma varför noggrann sampling rekommenderas.
Jättekondylom eller Buschke-Löwensteintumör har tidigare betraktats som variant av verrukös cancer men uppfattas idag vara en egen entitet. Den senare är associerad med lågrisk-HPV, uppvisar koilocytär atypi och växer endast exofytiskt.
Pseudoepiteliomatös hyperplasi och basalcellscancer i perianal hud kan likna skivepitelcancer. Det förstnämnda uppvisar inga eller endast diskreta cellulära avvikelser och saknar invasion. En underliggande granularcellstumör kan ibland identifieras. Retraktionsartefakter, inga atypiska mitoser och avsaknad av in situ-komponent skiljer basalcellscancer från skivepitelcancer.
Histologiskt graderas anal skivepitelcancer i en tregradig skala (grad 1 – högt differentierad, grad 2 – medelhögt differentierad och grad 3 – lågt differentierad). Om bilden är heterogen och differentieringsgraden varierande avgör högsta graden (den minst gynnsamma) differentieringsgraden för hela lesionen. Då anal skivepitelcancer ofta är heterogen i sitt utseende är det tveksamt om gradering har något värde på biopsimaterial.
Skivepitelcancrar i analkanalen och i perianal hud stadieindelas i enlighet med TNM Classification of malignant tumours, 8th ed. 34. För perianala tumörer användes tidigare en separat TNM-klassifikation, men vid uppdateringen (2010) modifierades klassifikationen för kutan skivepitelcancer på ett sätt som gör att den inte längre är applicerbar för perianal cancer. Då flertalet anala skivepitelcancrar behandlas med radiokemoterapi är stadieindelning baserad på histopatologiskt utlåtande ofta begränsad till resektioner av tidigt stadium, salvagekirurgi och lymkörteldiagnostik.
Adenocarcinom
Adenocarcinom som är primära på platsen är sällsynta och utgår antingen från det luminala körtelepitelet (mukosal typ) eller från anala körtlar och kroniska fistlar (extramukosal typ). Merparten av adenocarcinom som förekommer här utgörs dock av nedväxande kolorektala adenocarcinom 36.
Pagets sjukdom utgörs av adenocarcinomceller som sprider sig i det anala skivepitelet. Förändringen kan utgöras av en spridning av en synkron kolorektal cancer (sekundär Paget) men kan också härröra från en på platsen primär tumör som utgår från lokala apokrina körtlar (primär Paget). Tumören kan bli lokalt invasiv.
Rekommendationer för utformning av svarstext
Användandet av aktuell nomenklatur och rådande tumörklassificering rekommenderas enligt ovan.
Vid resektion av skivepitelcancer rekommenderas att uppgift om minsta avstånd från resektionsytan till tumör, både till den invasiva komponenten och, i förekommande fall, till SIL-komponenten anges.
Om skivepitelcancer och SIL ses i biopsier och mindre excisioner skall båda tillstånden beskrivas och, om möjligt, radikalitetbestämmas.
Vid salvagekirurgi önskas av operatörer att CRM (i millimeter) liksom proximal och distal marginal anges. Distal marginal avser då marginal i perianal hud. Operatörer önskar också tydlig beskrivning av var den snävaste CRM föreligger, det vill säga i vilken riktning så exakt som möjligt.
Om perineural cancerväxt och/eller kärlinväxt föreligger skall detta anges i svaret.
Koder och beteckningar
SNOMED-koder:
T 69000 anus.
D 6216 mb Crohn.
M 41000 akut inflammation.
M 43000 kronisk inflammation.
M 42100 akut och kronisk inflammation.
M 80770 LSIL
M 80772 HSIL
M 80703 skivepitelcancer
M 81403 adenocarcinom