Till sidinnehåll

Cervix histopatologi

1. Förkortningar

HSIL

Höggradig intraepitelial skivepitellesion

LSIL

Låggradig intraepitelial skivepitellesion

LAST-projektet

Lower anogenital squamous terminology project (1)

AIS

Adenocarcinom in situ

CIN

Cervikal intraepitelial neoplasi

LVSI

Kärlinväxt (från engelskan "lymphovascular space invasion")

2. Patologins roll i den diagnosiska processen

Patologens uppgift är att utifrån insänt material komma fram till en histopatologisk diagnos som klinikerna kan använda till att bedöma prognos och därmed vidare handläggning av patienten. Patologen gör en sammantagen morfologisk bedömning av förändringarnas utbredning och gradering som förutsätter kliniska data på remissen samt tillräcklig mängd och kvalitet på det insända materialet. I den diagnostiska processen är därför kommunikation mellan klinikerna och patologen av största vikt.

3. Anvisningar till kirurgen

3.1 Anvisningar för provtagarens hantering av provet

Biopsi

Biopsier och skrapmaterial bör omedelbart fixeras i 10 % neutral buffrad formalin (4 % formaldehyd). Storleken är ofta 4−7 mm i största diameter och cirka 2−4 mm i tjocklek. Om så önskas kan man skicka materialet på papper orienterat. Vid allt för små biopsier kan man missa en HSIL-förändring.

Slyngkon

Det är optimalt om en ”hel” slyngkon öppnas vid kl. 12 i färskt tillstånd och nålas på korkplatta. Om detta görs av operatören eller på labb beror på om konen kan skickas färsk till labb inom tillräckligt kort tid för att inte riskera autolys. Hantering av en oöppnad och fixerad kon är mindre optimalt. Om konen går sönder eller tas ut i flera delar är ändå montering av värde, för att underlätta orienteringen av preparatstyckena. I så fall anges orienteringen av de uppnålade fragmenten av inremitterande läkare.

Små och tunna slyng- eller laserpreparat uppvisar ofta termiska skador i resektionsytorna. Slemhinnan och underliggande stroma krymper olika mycket vid fixering vilket leder till att preparatet kan deformeras. Preparatet blir då svårt att orientera vid hanteringen på laboratoriet, och detta kan inverka negativt på bedömbarheten, i synnerhet avseende HSIL/AIS relation till resektionsytorna.

I en ”hel” kon orienterad enligt remiss och uppnålad på kork, kan resektionsytorna oftast bedömas och orienteras på ett bra och säkert sätt.

Hysterektomi

Det är optimalt om rutiner finns för transport av färskt operationspreparat från operationssalen till patolog-labb, och att labbet får resurser och utrymme för säkert omhändertagande av färska preparat. Om transporten kan ske under samma dag kan preparatet skickas direkt. Om labbet är stängt kan preparatet förvaras i kylskåp i +4° C under natten och sedan transporteras till nästa dag.

Det är viktigt att ett preparat inte står ofixerat i rumstemperatur. Ett preparat bör inte heller stå i +4° C mer än 24 timmar. Uterus bör öppnas för att möjliggöra bra fixering med formalin.

Om preparatet är tjockt eller om tumören är stor (>2 cm) bör man snitta in i den så att formalin kan komma in i preparatet. Det finns flera sätt att öppna en uterus och i bästa fall utvecklas lokala rutiner för detta.

3.2 Anamnestisk remissinformation

Informationen på remissen bör vara läslig och rätt placerad i enligt med lokala bestämmelser.

För optimal morfologisk bedömning krävs i anamnesdelen:

  • Klinisk frågeställning och indikation för åtgärden.
  • tidigare behandling
  • Relevanta tidigare PAD och relevanta uppgifter om cervikal screening-sjukhistoria (om tillgänglig).
  • graviditet, smittsamma sjukdomar, amningsatrofi, gestagenbehandling.
  • Klinisk beskrivning av förändringen/förändringarna.
  • Kolposkopiskt fynd (ev. SWEDE-score), alt “blinda” biopsier och eventuell kolposkopisk misstanke om invasivitet.
  • Vid biopsier: om patienten är 27 år eller yngre och det behövs indelning i HSIL(CIN2) och HSIL(CIN3) anges det med fördel i anamnesen.

4. Klassificering av tumören

4.1 Icke-invasiva skivepitelförändringar

Utvecklingen av skivepitelcancer i cervix sker huvudsakligen i två steg [1-3]. Det första steget är HPV-infektion, vilket är vanligt och förekommer hos många kvinnor. De flesta infektioner försvinner spontant. Dessa kallas ”övergående” infektioner. Ett litet antal infektioner kommer att kvarstå och genomgå neoplastisk transformation av den infekterade cellen. Dessa kallas persisterande infektioner och medför en betydande risk för cancer. Utvecklingen av skivepitelcancer i vagina följer samma process.

1968 beskrev Richart skivepitelförändringar utifrån deras mikroskopiska utseende och delade upp dem i ”cervical intraepitelial neoplasi” (CIN). Han graderade dem CIN1 för lätt skivepiteldysplasi, CIN 2 för måttlig skivepiteldysplasi och CIN3 för grav skivepiteldysplasi / skivepitelcancer in situ. Samma tre-stegs-nomenklatur har anpassats till vagina, med benämningen ”vaginal intraepitelial neoplasi” (VaIN).

År 2014 publicerade WHO den senaste Classification of Tumours of the Female Genital Tract där den tidigare tre-stegs-nomenklaturen CIN1,2,3, ersattes med en två-stegs-nomenklatur: låggradig skvamös intraepitelial lesion (LSIL), som motsvarar CIN1, och höggradig skvamös intraepitelial lesion (HSIL), som motsvarar CIN2 och CIN3(3). Biologiskt motsvarar LSIL en ”övergående” infektion och HSIL en ”persisterande” infektion. Samma sak gäller vagina, där LSIL motsvarar VaIN1 och HSIL motsvarar VaIN2 och VaIN3.

Klassifikationen inom histopatologi grundar sig på World Health Organization Classification of Tumours of the Female Genital Tract, 2014 [2], alltså LSIL och HSIL.

En tvågradig terminologi är mer biologisk relevant och histologiskt mer reproducerbar. Detta är att föredra framför det tidigare flergradiga systemet bestående av HPV-effekt, kondylom, lätt skivepiteldysplasi (CIN1), måttlig−grav skivepiteldysplasi (CIN2-3), cancer in-situ [1-3] . Koilocytiska, låggradiga HPV-förändringar med och utan ”atypi” bör diagnostiseras som LSIL. Båda dessa har ett unisont biologiskt ursprung. De flesta LSIL är varken dysplastiska eller neoplastiska, utan endast en diagnos av HPV-infektion, varför termen ”lesion” rekommenderas.

Det finns flera skäl till att internationell expert-konsensus rekommenderar att inkludera förändringar som tidigare diagnostiserats som ”CIN2” i diagnosen HSIL [1-3]. Ökad förståelse för HPV-biologi gör att förändringar som med nuvarande terminologi kallas CIN2 bör klassas till HSIL-gruppen(1). HSIL(CIN2) är den lägst reproducerbara diagnosen [4]. Mer än hälften av alla HSIL(CIN2)-biopsier har HSIL(CIN3) som slutlig diagnos [5]. Ingen biomarkör kan definiera en intermediär skivepitelförändring som ”CIN2”. Internationell konsensus är alltså att HSIL(CIN2) är en blandning av LSIL(CIN1) och HSIL(CIN3) [1-3].

Låggradig intraepitelial skivepitel lesion (LSIL)

  • ”LSIL” rekommenderas som diagnostisk term.

Tidigare benämningar som bör fasas ut:

  • lätt/lindrig skivepiteldysplasi
  • CIN1
  • platt kondylom
  • ”koilocytos”
  • ”koilocytiskt atypi”
  • HPV-effekt.


Makroskopi: De flesta LSIL är inte makroskopiskt synliga, förutom kondylom accuminata, som också räknas som LSIL [2].

Histopatologi: Histomorfologiskt ser man en proliferation av basala och parabasala celler som kan vara minimal, men som även kan sträcka sig upp till en tredjedel av epitelets tjocklek (Fig PAT-1). Mitoser ses mest inom de mer parabasala delarna av epitelet och atypiska mitoser saknas. I de ytliga delarna av epitelet ses ökad mängd cytoplasma, dock är kärnstorleken bevarad så att kärn-cytoplasma-ration minskar.

Skivepitelförändringar som inte uppfyller de nödvändiga kriterierna för LSIL är icke-diagnostiska för HPV-infektion, och bör diagnostiseras som ”normalt skivepitel”.

Figur PAT-1: Histologi av LSIL [6]Bilaga 7. 4.1 Figur1.png

Bilaga 7. 4.1 Figur2.png

Höggradig intraepitelial skivepitellesion (HSIL)

  • ”HSIL” rekommenderas som diagnostisk term.
  • Hos kvinnor som är 27 år eller yngre behövs en uppdelning mellan HSIL(CIN2) och HSIL(CIN3). Detta är i nuläget av klinisk betydelse för handläggning.


Tidigare benämningar som bör fasas ut:

  • måttlig skivepiteldysplasi
  • grav skivepiteldysplasi
  • CIN2
  • CIN3
  • skivepitelcancer in situ.

Makroskopi: De flesta HSIL är makroskopiskt osynliga, förutom papillärt växande varianter. Synliga förändringar gör att man måste överväga invasion, särskilt om det finns blödningsymtom eller ulceration.

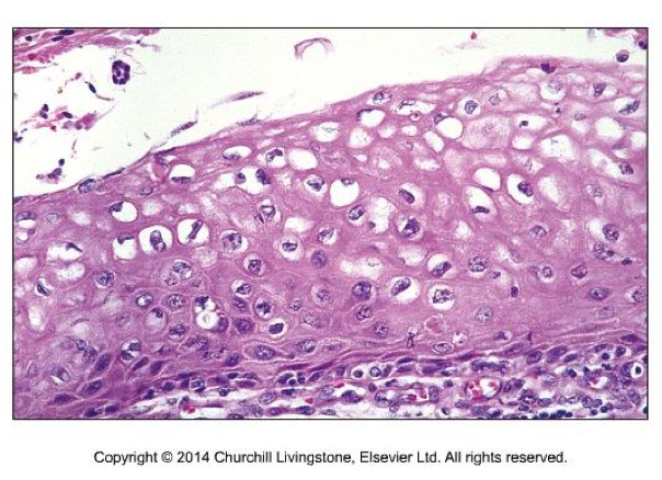
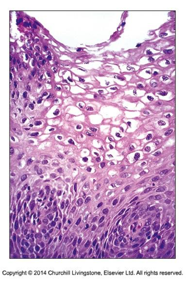
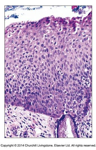
Histopatologi: Morfologin vid HSIL ses som en proliferation av atypiska keratinocyter, med ökad kärnstorlek, oregelbundna kärnmembran och ökad kärn-cytoplasma-ratio, med förekomst av mitoser, även atypiska (Fig PAT-2). Vid HSIL, tidigare CIN2, finns atypiska celler i högst 2/3 av skivepitelet (Fig PAT-2, översta 2 bilder), och vid HSIL, tidigare CIN3, finns atypiska celler ut i yttre tredjedelen av skivepitelet (Fig PAT-2, nedersta bild). Mitoser ses ofta i mellersta och/eller ytliga tredjedelen av epitelet.

Vid diagnos på biopsi av HSIL hos en patient som är 27 år eller yngre, där morfologin motsvarar det som i det tidigare klassifikationssystemet kallas ”CIN2”, kan benämningen HSIL(CIN2) vara relevant. Beroende på samlade kliniska och patologiska faktorer kan kvinnan då följas med exspektans.

Figur PAT-2: Histologi av HSIL. De första två bilderna visar gränslesioner som i det tidigare systemet kallades CIN2 [6].

Bilaga 7. 4.1 Figur3.pngBilaga 7. 4.1 Figur4.png

Bilaga 7. 4.1 Figur5.png

4.2 Adenocarcinom in-situ

Tidigare termer som bör fasas ut: endocervikal dysplasi.

Histopatologi: Följande 4 kriterier är vanligtvis uppfyllda vid adenocarcinom in-situ :

  • Förekomst av kärnatypi i form av mörka, förstorade, pseudostratifierade cellkärnor
  • Förekomst av karryorhektiskt debris i det dysplastiska körtelepitelet
  • Ett flertal mitoser, ofta apikala/luminala
  • Inom cervix körtlar ses neoplastiskt körtelepitel i kontinuitet med benignt körtelepitel .

Differentialdiagnostik: Merparten av cervikala adenocarcinom, 94 %, är HPV-relaterade, vanligast av typerna 16 och 18, och är således positiv med p16. HPV typ 18 är vanligare förekommande i den glandulära neoplastiska processen än typ 16. Det finns dessutom varianter med intestinal, gastrisk differentiering m.fl. som ofta är HPV-negativ, och således negativ med p16. ”Minimal deviation adenocarcinom” är också HPV-negativt.

Vid misstänkt adenocarcinom in-situ (AIS) bör förändringar som liknar detta uteslutas. Följande är de vanligaste:

  • Tubal/tuboendometrioid metaplasi. Förekomst av cilier och frånvaro av mitoser och karryorhexis hjälper.
  • Endometrios. Förekommer oftast efter tidigare kon-excision. Man ser endometriellt epitel, som kan vara proliferativt och se ”atypiskt” ut i jämförelse med benign endocervix. Vid närmare granskning ser man cytogent stroma och hemosiderin.
  • Mikroglandulär hyperplasi: Tätt liggande små körtlar med små kärnor, ofta med neutrofila leukocyter inblandade. Tänk på typiskt histologiskt utseende med granulocyter i lumen och körtelepitel, reservcellshyperplasi och skivepitelmetaplasi, sub- och supranukleära vakuoler, ordinär kromatinhalt i körtelepitel samt enstaka mitoser eller total avsaknad av mitoser.
  • Lobulär glandulär hyperplasi, med djupgående körtlar i lobulära arrangemang, kring en central dilaterad körtel, samt ”diffus (laminär) hyperplasi”, en mot underliggande stroma välavgränsad körtelproliferation med tätt packade endocervikala körtlar med benign cytologisk bild. Den sistnämnda kan visa periglandulära inflammatoriska infiltrat och ligger i inre tredjedelen av cervixväggen. Dessa är differentialdiagnoser till framför allt ”Minimal deviation adenocarcinoma” (”adenoma malignum”) som uppvisar adenocarcinomens invasiva arkitektur.

Arias-Stella-fenomen, är ett hypersekretoriskt tillstånd som uppstår p.g.a. graviditet eller gestagenbehandling och som innehåller ”hob-nail-celler” och klar cytoplasma. Det kan misstas för klarcellcancer, men proliferationen (mitoser, Ki67) är låg och apoptotiska kroppar ses ej.

4.3 Mätning och bedömning av tidig invasion

Övergång i tidig invasiv växt − skivepitelcancer

Histopatologi: Superficiell invasion diagnostiseras med rutin-hematoxylin-eosin-snitt (HE). Ingen immunhistokemisk färgning har visat sig ha diagnostiskt värde för att påvisa invasion. Därför är ytterligare HE-nivåer förstahandsval för undersökning av misstänkt invasivt fokus.

Tidigaste tecknen på invasion − skivepitelcancer: Det tidigaste tecknet på invasion är en ojämn epitelial-stromal gräns, med nedbuktande grupper av neoplastiska skivepitelceller. Man ser ofta ett kringliggande inflammatoriskt svar i stromat samt en stromal desmoplasi. Neoplastiska celler infiltrerar i små grupper och strängar in i stromat. Man ser ofta en paradoxal utmognad av skivepitelet med en ökad mängd uttalat eosinofil cytoplasma. Man bör genom noggrann undersökning utesluta nedväxt av dysplastiskt skivepitel i pre-existerande endocervikala kryptor.

Övergång i tidigt invasiv växt − adenocarcinom

Histopatologi: Superficiell invasion diagnostiseras på rutin-hematoxylin-eosin-snitt (HE). Ingen immunhistokemisk färgning har visat sig ha diagnostiskt värde för att påvisa invasion. Därför är ytterligare HE-nivåer förstahandsval för undersökning av misstänkt invasivt fokus.

Tidigaste tecknen på invasion − adenocarcinom: De tidigaste tecknen på invasion är uppenbart invasiva körtlar eller tumörcellsgrupper, neoplastiska körtlar som är för komplexa för att vara in-situ eller kringliggande stroma med desmoplasi, ödem och kronisk inflammation. Ännu har ingen biomarkör eller immunhistokemisk analys visat tillräcklig säkerhet för att rekommenderas i kliniskt bruk. Vid misstänkt invasivt fokus rekommenderas i stället nedsnittning med hematoxylin- och eosinfärgning samt diskussion med kollegor för att nå konsensus. Ytterligare hjälp i diagnostik av invasion: då gravt atypiska körtlar ligger nära tjockväggiga blodkärl, och där avståndet mellan kärlväggen och den gravt dysplastiska körteln är mindre än kärlväggens tjocklek.

Det finns tre typer av invasion:

  • Infiltrativt mönster – små utbuktningar i omgivande stroma med eller utan inflammatorisk reaktion i stromat. Tumörcellerna är ofta större än AIS-celler och cytoplasman eosinofil. Större cellkärnor med nukleoler. Även enskilda ”hypereosinofila” celler eller inkompletta körtlar i stromat.
  • Expansiv typ av invasion: välavgränsade AIS-liknande körtlar växer ner djupt i stromat som en sammanhållen enhet – djupväxten är då svår att avgränsa. En användbar definition är: djupet bör vara ≥ 1 mm djupare än de närliggande benigna körtlarna.
  • Exofytisk typ av invasion: polypoitt eller papillärt växtsätt – oftast villoglandulärt adenocarcinom – en högt differentierad typ av adenocarcinomen.

 

Superficiellt invasiv skivepitelcancer alt. adenocarcinom

Synonym: ”Mikroinvasiv”

Allmänna kommentar om termen ”mikroinvasiv”: Begreppet ”mikroinvasion” har egentligen inte definierats internationellt. I vissa länder är det synonymt med tumörer som är stadium T1a1, i andra länder ingår också T1a2, och i ytterligare några länder exkluderas tumörer med intravaskulär växt. För att få en gemensam internationell definition har LAST-projektet föreslaget nedanstående 4 kriterium för skivepitelcancer. De har också föreslaget ett nytt namn, ”superficiellt invasiv skivepitelcancer”, för att markera att det finns en ny, fastställd, definition.

En invasiv skivepitelcancer får diagnostiseras som superficiell om den uppfyller samtliga fyra kriterier. Kriterium 2−4 ska rapporteras. Tumören ska

  • inte vara makroskopiskt synlig (t.ex. kliniskt vid kolposkopi) (Detta kan inte patologen ta ställning till, men diagnosen bygger på en samlad klinisk och patologisk bedömning.)
  • ha ett invasionsdjup ≤ 3 mm från basalmembranet där tumören har sitt ursprung
  • ha en invasionsbredd ≤ 7 mm i maximal utsträckning. Bredden mäts antingen i en och samma vävnadsbit, men om fokuset sträcker sig över flera vävnadsbitar bör man dessutom mäta över dessa bitar.
  • vara radikalt exciderad (dvs. inte nå resektionsytan). Ange avståndet till endocervikala och ektocervikala resektionsränder i mm*.


Vid superficiellt invasiv skivepitelcancer bör eventuell lymfovaskulär växt och multifokalitet rapporteras (med angivande av antal foci och storlek).

Mätning av invasion − samtliga cancerformer

Invasionsutbredning bör rapporteras i alla tre riktningar (invasionsdjupet, invasionsbredden i snitt, samt invasionsbredden över flera bitar) (Skivepitelcancer, var god se Fig PAT-3. Adenocarcinom, var god se Fig PAT-4).

  • Invasionsdjupet: Invasionsdjupet mäts från basalmembranet där tumören har sitt ursprung. I adenocarcinom kan det vara särskilt svårt att identifiera ursprungligt basalmembran (vilket innebär att det kan vara omöjligt att skilja mellan AIS och invasiva körtlar). Då får tjocklek anges i stället.
  • Invasionbredden i snitt: Mäts i snitt med största utbredning.
  • Invasionsbredden över flera bitar: Om en invasiv tumör återfinnas i flera konsekutiva bitar bör detta mått också anges [7]. För att beräkna detta summerar man tjockleken av alla bitar som visar invasiv tumör. Det finns inget fastställt sätt att bestämma tjocklek på en bit, och en rutin bör utvecklas lokalt. Dock bör det framgå av utlåtandet hur uträkningen är gjord. Här finns två tänkbara sätt att beräkna invasionsbredden över flera bitar:
    1. Bitens tjocklek tas som 3 mm. Detta rekommenderas i Storbritannien. Om tumör påvisas i två bitar så är invasionsbredden över flera bitar: 2 bitar * 3 mm = 6 mm.
    2. Bitens tjocklek beräknas från konens storlek. En kon som är 15 mm i total bredd har delats i 6 bitar. Varje bit har en tjocklek av ungefär 15 mm / 6 bitar = 2,5 mm. Om tumör påvisas i två bitar så är invasionsbredden över flera bitar: 2 bitar * 2,5 mm = 5 mm.

 

Multifokalitet − samtliga cancerformer

Multifokal tumör vid såväl skivepitelcancer som adenocarcinom bör diskuteras på multidisciplinär konferens. Denna diagnos sätts om [7]:

  1. Invasiva foci är separerade av klossar (vävnadsbitar) utan invasiv cancer.
  2. Invasiva foci hittas i separata portioläppar.
  3. Flera invasiva foci ligger på avstånd från varandra i ett och samma snitt. OBS! Det här kriteriet är dåligt definierat. I en artikel visade forskarna att sådan multifokal tumör kan behandlas konservativt varför diskussion på multidisciplinär konferens är ett krav [8].

 

Kärlinvasion (lymfovaskulär invasion – LVSI)

Kärlinvasion kan i vissa fall vara behandlingsgrundande och till exempel leda till lymfkörtelutrymning. Därför rekommenderas strikta kriterier enligt nedan.

Kriterier för diagnostik:

  • Fokuset bör ligga perifert om tumören.
  • Fokuset kan ha endotelceller på ytan av tumörtromben
  • Tumörcellsgrupper bör ligga i endotelbeklätt spatium (OBS! Viktigt att undvika överdiagnostik genom att tumörrester sprids via skalpellen)
  • Ofta förekommer multipla foci på flera snittnivåer.


Övrigt:

  • Konsultera gärna kollegor för att nå konsensus.
  • Ses ett misstänkt fokus, leta efter flera!


Vid misstänkt lymfovaskulär invasion bör man i första hand snitta ned ytterligare. Eventuellt kan immunhistokemisk färgning med CD31, CD34 eller D2-40 hjälpa.

Figur PAT-3: Exempel på mätning av invasion för skivepitelcancer i alla tre dimensioner.

Här visas två bitar (”Block 1” och ”Block 2”) som är bredvid varandra. Största invasiva tumören ”1” har invasionsdjupet = a mm, invasionsbredden = b mm, och ett horisontellt mått (där måttet inkluderas i både bitarna) =2 * c, där c=klossens tjocklek. I bilden finns ytterligare två mindre foci av invasion ”2” och ”3” med maximala mått=e och g, och invasionsdjupet=d och f. Bild är © RCPA 2013

Bilaga 7. 4.3 Figur 1.png

Bilaga 7. 4.3 Figur 2.png

Figur PAT-4: Exempel på invasionsdjupet för adenocarcinom.

Tumörer ”1”− ”5” har invasionsdjupet a−e. Om invasionens ursprung är tydligt (tumörer 2 och 5) mäts invasionsdjupet från basalmembranet där tumören har sitt ursprung. I tumör ”1” är ursprunget osäkert varför man mäter från ovanliggande basalmembran. Tumör 3 har en ulcererad yta varför djupet är lika med tjocklek. Bild är © RCPA 2013

Bilaga 7. 4.3 Figur 3.png

4.4 Invasiv skivepitelcancer

Gradering av skivepitelcancer: Enligt WHO kan man gradera utifrån grad av kärnpleomorfism, storlek av nucleoli, mitosfrekvens och förekomst av nekros [2]. Gradering är i princip kvalitativ och verkar inte ha prognostikst betydelse.

Skivepitelcancer, NOS

Lymfoepiteliom-lika

Glassy-cell carcinoma (adenoskvamös)

4.5 Invasiva adenocarcinom – subtyper

Gradering av adenocarcinom: Gradering har inte visat sig vara av prognostiskt signifigans. Adenocarinom graderas utifrån andel solid och glandulär växt samt kärn atypi grad www.rcpa.edu.au/Library/Practising-Pathology/Structured-Pathology-Reporting-of-Cancer/Cancer-Protocols/Gynaecological/Protocol-Cervical-cancer.aspx[9].

Högt diff tumörer: < 10 % solidväxt, körtlar är välformad och regelbunden, kärnor är regelbunden med minimal startifiering ocgh mitoser är sällsynta.

Lågt diff tumörer: > 50 % solid växt och cellerna är stor med pleomorfism.

Medelhögt diff tumörer: Tumörer med växtsätt och atypi som ligger mitt i mellan högt och lågt differentierad.

Endocervicalt adenocarcinom, vanlig typ

Mucinös cancer, NOS

Mucinös cancer, gastrisk typ

Mucinös cancer, intestinal typ

Mucinös cancer, signet-ring cell typ

Villoglandulär cancer

Endometrioid cancer

Klarcellig cancer

Serös cancer

Mesonefrisk cancer

Minimal deviation adenocarcinom

 

Endometrioid cancer

Histopatologi: Ett adenocarcinom vars utseende motsvarar endometrioid typ av cancer från corpus.

En del studier har påvisat bättre prognos än andra typer.

Adenoskvamös cancer

Histopatologi: Den adenomatösa komponenten ska vara tydligt differentierad och klart identifierbar på HE-färgade snitt. Enstaka mucin-producerande celler kan ses i skivepitelcancer, men det är otillräckligt för diagnos av adenoskvamös cancer. Speciell och immunhistokemisk färgning för att påvisa mucin kan därför vara svårtolkad och rekommenderas inte.

Prognosen i avancerade stadier och i HPV-negativa tumörer anses vara sämre än för adenocarcinom av vanlig typ.

Glassy cell cancer (GCC)

Enligt WHO 2014, en lågdifferentierad variant av adenoskvamös cancer. Ovanlig, utgör 1–2  av all cervixcancer, ofta hos yngre patienter. Medelålder vid debut är 31–41 år. HPV 18 har påvisats i dessa tumörer.

Makroskopiskt presenterar sig tumören ofta som en exofytiskt växande tumörmassa i cervix. Mikroskopiskt kännetecknas tumören av celler med skarpa cytoplasmatiska gränser, ”slipat glas” (”ground glass”), eosinofil cytoplasma och en stor, rund till oval kärna med prominenta nukleoler. Till skillnad från icke-keratiniserande skivepitelcancer, som är den viktigaste differentialdiagnosen, ses ett prominent eosinofilt/plasmacellsrikt infiltrat i stromat. Vanligtvis ses ingen preinvasiv komponent i tumören. Det är mycket sällsynt att GCC presenteras som en ”ren” GCC. Oftast är det frågan om en lågt differentierad cancer med GCC-tumörkomponent.

Denna tumörtyp är mycket sällsynt och diagnosen är svår att reproducera. Därför är det enligt litteraturen svårt att få en uppfattning om prognosen och terapieffekterna.

Klarcellig cancer

Växer i solida, tubulära/tubulocystiska och papillära formationer. Tumörceller i klarcellscancer är rika på glykogen. Dock löses glykogenet upp av formalinet, vilket accentueras vid lång fixeringstid, och är då svårare att visualisera med specialfärgning. (Se även avsnittet för Vaginalcancer.)

Prognosen anses vara samma som för adenocarcinom av vanlig typ.

Adenoid basalcellscancer

Histopatologi: Tumören kännetecknas av små, högt differentierade, runda nästen av basaloida celler med minimal mängd cytoplasma. I nästena ses cystiska spatier med nekrotiskt material och en glandulär- eller skivepitel-differentiering. Tumören påminner om basalcellscarcinom i huden och i spottkörtlar. Hela tumören måste undersökas för en definitiv diagnos, för att utesluta en mer aggressiv tumörkomponent.

En tumör som består av enbart adenoid basalcellscancer utan en mer aggressiv komponent anses ha en bättre prognos än övriga adenocarcinomtyper.

Adenoidcystisk cancer

Histopatologi: En tumör som kännetecknas av pseudoglandulärt, kribriformt och tubulärt växtsätt.

Både adenoid basalcellscarcinom och adenoidcystiskt carcinom förekommer postmenopausalt. Båda är HPV-relaterade.

Prognosen anses vara samma som för adenocarcinom av vanlig typ.

Adenocarcinom med neuroendokrin differentiering

Enligt WHO 2014 används samma terminologi som för NE-tumörer i ventrikel, tarm och pankreas: Låggradiga NE-tumörer (NET) och höggradiga NE-carcinom (NEC).

Låggradiga NET indelas i:
Grad 1 = carcinoid-tumör
Grad 2 = atypisk carcinoid-tumör

Höggradiga NEC indelas i storcellig resp. småcellig typ, båda grad 3.

I cervix är höggradig NEC av småcellig typ (SCNEC) den vanligaste NE-tumören.

Låggradiga NE-tumörer är mycket ovanliga i cervix.

Höggradigt NE-carcinom av småcellig typ är en extremt aggressiv cancer även i stadium I. Denna ses i 0,5-1 % av cervikala cancrar och har sämre prognos än övriga icke-skivepitelcancrar. Termen småcellig bör endast användas för denna neuroendokrina typ av tumör som har karakteristisk mikroskopisk bild och speciellt växtmönster. Små områden med adenocarcinom eller skivepitelcancer kan existera i småcellig cancer. (10,11). SCNEC i cervix är associerat med högrisk-HPV. HPV 18 är vanligare än i cervical skivepitelcancer.

Höggradigt NE-carcinom av storcellig typ (LCNEC) kan förekomma som ett begränsat område i en småcellig cancer. Denna typ är sällsynt i sin rena form och har enligt WHO lika dålig prognos som småcellig neuroendokrin cancer.

Immunhistokemi: Synaptofysin, Chromgranin A, TTF1, CK, CD56. En del SCNEC uttrycker inte neuroendokrina markörer. LCNEC kan uttrycka p63.

Differentialdiagnoser: Lymfom, granulocytsarkom, embryonalt rhabdomyosarkom, stromasarkom, metastas från endokrina tumörer, och för LCNEC lågt differentierad skivepitelcancer och adenocarcinom. Isolerade NE-celler kan ses i skivepitel- respektive adenocarcinom, men dessa cancrar ska inte diagnostiseras som en höggradig NE-cancer om de saknar typisk morfologi för LCNEC.

Mucinöst adenocarcinom av gastrisk typ

Synonym: Adenoma malignum, Minimal Deviation Adenocarcinoma

Histopatologi: Extremt högt differentierat adenocarcinom som dock ofta visar lägre differentierade områden – ta många bitar! Vid lägre differentierade områden diagnostiseras dessa som adenocarcinom av gastrisk typ. Utgör cirka 1 % av adenocarcinomen. Har en association till Peutz-Jeghers syndrom.

Ej HPV-relaterad, följaktligen p16-negativ eller fokalt positiv infärgning. Djupt infiltrerande trots den ofta högt differentierade morfologin.

Studier tyder på att ”lobular endocervical gland hyperplasia”/ gastrisk typ av mucinös metaplasi utvecklas till invasiv adenocarcinom av gastrisk typ/adenoma malignum.

Ytterligare mucinösa typer

Adenocarcinom av intestinal typ och signetringcell-typ.

Villoglandulärt adenocarcinom

En sällsynt högt differentierad tumör som vanligen drabbar kvinnor 35−45 år. Den är HPV-associerad och orsakas oftare av typ 16 än 18.

Epitelet är pallissaderande eller cylindriskt (av endocervikal, endometrioid eller intestinal typ) med lätt eller måttlig atypi och få mitoser. Papillstromat är ofta spolcelligt och inflammerat. Papillerna övergår basalt mot elongerade, förgrenande körtlar med s.k. ”pushing border” mot stromat utan solida områden, men tumören kan även vara regelrätt invasiv och då begränsad till cervix inre tredjedel.

Ett invasivt adenocarcinom av annan subtyp kan ytligt ha villoglandulär arkitektur, men då är cellatypin mer uttalad och mitoserna fler. Om det samtidigt finns serös eller småcellig cancer ska en exofytisk tumörkomponent INTE klassas som villoglandulär.

Villoglandulär cancer är p53-, ER- och PR-negativ.

Villoglandulär cancer utan destruktiv stromainvasion har mycket god prognos.

Benigna differentialdiagnoser är papillär cervicit, Müllerskt papillom och Müllerskt adenofibrom.

5. Utskärningsanvisningar

Metoden för utskärning beror på preparatets tillstånd när det ankommer till labb, särskilt vid större preparat som slyngkon, trakelektomi och hysterektomi. Vilken metod man väljer beror också på olika vanor och rutiner på labben. Med tanke på denna variation är det inte möjligt att fastställa utskärningsrutiner som passar alla omständigheter. Nedan anges vilka parametrar man bör ta hänsyn till vid valet av metod.

  1. Standardisering: Det finns många fördelar med standardisering inom ett labb och mellan labb och operatör, även om ”standard” kan variera mellan olika labb. Bland annat kan standardisering förbättra kommunikationen, förbättra utbildningen, möjliggöra standardiserad fraktionering och mätning och möjliggöra svarsmallar. Dessa kan i sin tur underlätta förberedelsen av den slutliga rapporten.
  2. Fixering: När och hur man öppnar ett preparat, och vem som gör det, kan variera. Dock måste det betonas att fixeringen måste vara adekvat, och att en del av kvalitetssäkringen på labb bör vara en regelbunden bedömning av andelen preparat som drabbats av autolys. Om ett labb har många prover med autolys bör rutinerna förbättras. Fixering är en balans mellan tre faktorer(12):
    1. penetration av formalin in i vävnad: 1 mm per timme
    2. autolys, som är temperaturberoende
    3. volymen av formalin: det krävs 10 gånger så mycket formalin som vävnad. Formalin är förbrukat under fixering.

Med tanke på dessa tre punkter ser man att

  • en oöppnad uterus i formalin i rumstemperatur inte kommer att fixeras eftersom formalinet inte hinner komma in
  • otillräcklig volym inte kan kompenseras av ökad fixeringstid
  • det kan vara bättre att spara ett preparat i kylskåp över natten så att det kan öppnas ordenligt av patologen än att sätta det oöppnat i formalin i rumstemperatur.

Biopsier:

  1. Mäta: Antalet biopsier och deras storlek noteras.
  2. Allt bäddas till diagnostik. Biopsier > 5 mm kan skäras på längden vinkelrätt mot den mukosala ytan.

Slyngkon:

  1. Mät: Slyngkonen mäts. Antal fragment anges.
  2. Inspektera: Synliga förändringar noteras.
  3. Öppna för fixering: Fixering och utskärning beror mycket på konens storlek och hur den har ankommit till labb. Optimalt är om slyngkonen öppnas i färskt tillstånd och nålas på en korkplatta (Se figur PAT-5). Mindre optimalt är om slyngkonen fixeras intakt (Se figur PAT-6). Oavsett hur konen ankommer till labb bör den skäras ut på ett sätt så att samtliga önskade parametrar kan rapporteras.
  4. Tuschmarkering: De flesta slyngkoner kommer från diatermi, och resektionsytan är brännskadad. Därför behövs ingen ytterligare tuschmarkering för radikalitet. Däremot kan tuschmarkering göras för orientering, där den endocervikala änden markers så att den kan identifieras i samtliga bitar (vissa bitar kan sakna endocervikala körtlar). En ”cold knife”-slyngkon, där operatören använder skalpel och inte diatermi, kräver tuschmarkering av resektionsytorna. Det är vanligt att trakelektomi tas med ”cold knife”.
  5. Fraktionering: Hela konen bäddas. Vissa labb bäddar endast en vävnadsbit per fraktion. Bäddning bör ske konsekutivt. OBS: Biobanking är inte möjligt på en kon.

Figur PAT-5: En slyngkon som öppnas färsk och nålas ut.

KVAST-gruppen är enig om att det är ett bättre sätt att hantera sådana preparat. Bild är © RCPA 2013 (9).

Bilaga 7. 5. Figur1.png

Figur PAT-6: En slyngkon som fixeras oöppnad. KVAST-gruppen är enig om att detta är mindre optimalt. Det finns många acceptabla sätt att skära ut ett sådan preparat. Ett tänkbart sätt är ”tårtbitar” eller ”cruciate”.

Bilaga 7. 5. Figur2.png

Hysterektomi:

  1. Mät: Patologiska lesioner ska beskrivas och mätas. Valfritt: På vissa labb mäts och beskrivs allt inkommet material. Mått på uterus anges kraniocaudalt, coronart och sagittalt. I motsats till enkel hysterektomi inkluderas radikal hysterektomi a lá Wertheims resektion av parametreivävnad och vagnialmanchette. Parametriebredden mäts. Vaginalmanschettens bredd mäts. Ovariernas storlek anges i två dimensioner, liksom tubornas längd. Ev. makroskopiska avvikelser noteras.
  2. Inspektera: Noggrann inspektion av serosaytan samt vaginal manchette och cervix/portio rekommenderas.
  3. Palpera: Parametrier bör palperas för att identifiera lymfkörtlar eller tumörväxt.
  4. Tuschmarkering: Resektionsytorna tuschmarkeras. Valfritt: På vissa labb tuschmarkeras cervix och parametrier med olika färger ventralt, höger, dorsalt och vänster.
  5. Öppna för fixering: Uterus bör öppnas för att möjliggöra bra fixering. Hur och när den öppnas är valfritt. Exempelvis kan cervix skäras av i isthmushöjd före öppnandet, eller så öppnas gynkanalen medan preparatet är helt (se Fig PAT-7). Om cervix separeras från uterus, öppnas den kl.12 eller vid annat klockslag, beroende på tumörens läge, och nålas upp på korkplatta. Använd inte frigolit eftersom formalinet då penetrerar sämre.
  6. Mäta och inspektera tumören: Tumören mäts i två dimensioner och beskrivs före fixering. Corpus öppnas före fixering och eventuella avvikelser noteras.
  7. Biobankning: Material till biobank tillvaratas om möjligt, men grundprincipen är att diagnosen/PAD inte får riskeras med biobankning. Exempelvis kan en makroskopiskt synlig tumör som växer exofytiskt och som överstiger 1 cm i diameter lämpa sig för biobankning.
  8. Uppskivande av preparat: Efter fixering i 10 % buffrad formalin i 24–48 timmar skivas hela circumferensen i cervix och vagina inklusive parametrier (helst som storsnitt) i konsekutiva skivor för inbäddning. Ange första skivans lokal.
  9. Fraktionering: Bitar tas från hela cervix vid osynliga tumörer och åtminstone från hela tumören vid synliga tumörer. Bitar tas från isthmus, endometrium, tubor och ovarier enligt skissen samt ev. ytterligare bitar från makroskopiskt avvikande områden (se Figur). Insända lymfkörtlar omhändertas enligt kirurgens fraktionering. All lymfoid vävnad bör tillvaratas och nivåsnittas, utom då uppenbara metastaser ses. Då kan det räcka med en skiva. Om lymfkörtlar inte palperas, bäddar man allt fett.

Figur PAT-7: Diagram som visar exempel på utskärning av radikal hysterektomi-preparat a lá Wertheim för cervixcancer.

Det finns många acceptabla varianter på hur utskärning av en radikal hysterektomi går till. Här visas bara ett av dem (12).

Bilaga 7. 5. Figur3.png

6. Analyser

6.1 Rekommenderade rutin- och specialfärgningar

Som rutin rekommenderas hematoxylin-eosin-färgning.

Mucin-färgning: Varken mucin-färgning eller immunhistokemi har en bevisad roll i differentialdiagnostiken mellan skivepitel och adenocarcinom. Keratinocyter i cervix kan innehålla intracytoplasmiskt slem utan att tumören behöver vara ett adenocarcinom eller en adenoskvamös tumör.

Mucin-färgning och PAS-D: Endocervikalt adenocarcinom av gastrisk typ innehåller neutralt slem som är klart i rutin-H&E. Tumören kan därför felaktigt uppfattas som en klarcellig cancer. Endocervikalt adenocarcinom av gastrisk typ är positivt med mucin och PAS-D. Däremot är klarcellig cancer negativ med mucin och PAS-D.

Maligna adenocancerceller innehåller neutralt slem som färgas rӧtt med AB/PAS, medan normala/hyperplastiska endocervikala kӧrtlar innehåller surt och neutralt slem som färgas lilla till blått [11].

6.2 Rekommenderad immunhistokemi

p16: I LAST-projektet finns en stor internationell litteraturgenomgång där det fastställs att p16 har ett värde som diagnostisk biomarkör i följande differentialdiagnos [1].

Tolkning av p16-färgning: I LAST-projektet fastställs att endast stark och utbredd ”block”-p16-färgning bör betraktas som ”positiv”. I skivepitel definieras detta som en sammanhängande stark kärna plus cytoplasmisk färgning av basalcellsskikt med förlängning uppåt som inbegriper minst en tredjedel av den epiteliala tjockleken. Denna höjdbegränsning är något godtycklig men tillför specificitet. Observera alltså att ett prov kan kallas positivt utan färgning av hela tjockleken och utan förlängning i den övre tredjedelen eller övre halvan (Fig PAT-8). I glandulärara lesioner definieras positiv färgning som stark, kontinuerlig färgning (Fig PAT-9). Alla övriga mönster ska tolkas som negativa, inklusive fläckvis mosaikfärgning som inte är kontinuerlig.

Figur PAT-8: Positiv p16 i skivepitel är definerad som stark, utbredd ”block”-färgning (1).

Bilaga 7. 6.2 Figur1.png

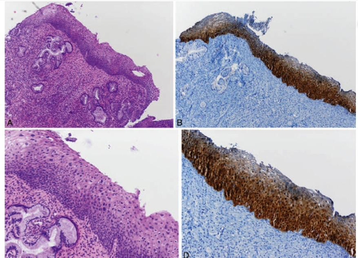
Figur PAT-9: Positiv p16-färgning i adenocarcinom in-situ(6).

Bilaga 7. 6.2 Figur2.png

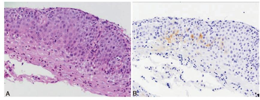
Fokal eller ojämn kärnfärgning är ospecifik och kan ses med reaktiv skivepitelmetaplasi, liksom låggradig lesion (LSIL, CIN 1). Alla andra färgningsmönster definieras som negativa, t.ex. enbart cytoplasma, stripig, ”blob”-liknande, puddled, utspridda celler och singel-celler. (Fig PAT-10).

Figur PAT-10: Negativ p16 är alla andra färgningsmönster(1).

Bilaga 7. 6.2 Figur3.png

Bilaga 7. 6.2 Figur4.png

Ki-67, Pro-ExC och övriga färgningar inom HSIL/LSIL: Många markörer visar likartade resultat som p16, dock finns det inte tillräcklig litteratur för att rekommendera dessa.

p16-färgning rekommenderas i följande differentialdiagnoser [1]:

  • Differentialdiagnos mellan precancer (HSIL) och icke precancer (reaktiv eller atrofisk slemhinna).
  • Om man övervägar HSIL(CIN2), som differentialdiagnos till LSIL, talar positiv p16 för HSIL(CIN2) och negativ p16 för LSIL.
  • Om flera patologer inte är överens om en diagnos, och HSIL är en möjlig differentialdiagnos, talar positiv p16 för HSIL.
  • P16 bör inte användas rutinmässigt om diagnosen är: normal morfologi, tydlig LSIL alternativt HSIL (HSIL(CIN3)). Undantaget är biopsier där det finns en hög risk för oupptäckt HSIL (vid föregående cytologi med diagnos HSIL, ASC-H, ASC-US/HPV16 +, eller AGC(NOS)).
  • P16 kan användas i differentialdiagnos mellan ACIS och mimics av ACIS, som till exempel reaktiv atypi och tubarmetaplasi.


Kvalitetssäkring: Med tanke på p16:s centrala roll i diagnostiken bör p16-färgning kvalitetssäkras genom ett externt program. LAST-projektets rekommendationer, baserade på publicerade litteratur, utgår ifrån en viss klon och ibland även ett viss kit. Ett av de mest använda p16-kitten är Ventana CINtec (klon E6H4). Ytterligare kloner och kit finns, men att införa andra kloner och kit kräver validering (som visar att utfallet är detsamma som förväntas i litteraturen).

Kärlmarkörer: I utredning av LVSI kan immunfärgning med kärlmarkörer D2-40, CD31 eller CD34 vara till hjälp. I samband med immunfärgning kan en ny H&E-nivå tas för att relatera immunfärgningen till morfologi. Färgning av LVSI är inte obligatorisk, och det behövs inte heller någon indelning mellan lymfatiska och vaskulära spatier.

Immunhistokemisk färgning för Bcl 2, Ki67, ER, Vim, CEA och p16 kan hjälpa till vid differentiering mot såväl tubal metaplasi som endometrios. [3].

CD10: Immunhistokemi med CD10 har sina begränsningar då detta färgar många stromala celler, inte enbart cytogent stroma. Nivåsnittning och intern/extern konsultation kan därför vara att föredra.

Immunfärgningar i tidig invasion beträffande skivepitelcancer och adenocarcinom:

Tidig invasion diagnostiseras på rutin-hematoxylin-eosin-snitt. Ingen immunhistokemisk färgning har visat sig ha diagnostiskt värde för att påvisa invasion. Därför är ytterligare H&E-nivåer och intern konsultation förstahandsval för undersökning av misstänkt invasivt fokus.

Synaptophysin, chromogranin, CD56 och NSE: Dessa markörer kan vara användbara om man misstänker neuroendokrin differentiering, som kan förekomma i cervixcarcinom. Många av dessa tumörer har beskrivits i gammal litteratur när immunhistokemi var ovanligt. Terminologin bör vara densamma som för gastro-entero-pankreativa neuroendokrina tumörer, och immunfärgningen bör också vara densamma.

Chromogranin A, synaptophysin och Ki-67 är obligatoriskt, och man förvänta sig positiv reaktion med chromogranin A och synaptophysin. De flesta tumörer i cervix är höggradigt neuroendokrin carcinom, en grad 3-tumör.

6.3 Antal snitt

Biopsi: 1−2 snitt. Som rutin bör man inte snitta igenom en kloss med H&E. Materialet bör reservas för eventuell färgning med p16.

Kon: 1−3 snitt.

Trakelektomi: 1 snitt

Hysterektomi: 1 snitt.

7. Information i remissens svarsdel

Här anges minimikrav för utlåtandet. För en mer fullständig diskussion av utskärning hänvisas till referenser i referenslistan.

7.1 Allmänna kommentar kring rapportering

  1. ”Radikalitet”: Begreppet ”radikalitet” syftar på att excisionen är ”tillräcklig”. Detta är svårdefinierat i cervix, och är en samlad patologisk och klinisk bedömning. Förekomst av HSIL/AIS i den brännskadade resektionsytan (som de flesta koner har) bör rapporteras. Om preparat har icke brännskadade ytor (trakelektomi och hysterektomi) är det förekomst i tuschade resektionsytor som rapporteras. För invasiv cancer bör dessutom minsta fria marginal rapporteras. På många labb är förekomst av HSIL/AIS/invasiv cancer i den äkta resektionsytan synonymt med ”icke radikalt”.
  2. Invasionsdjup och multifokalitet: Se ”att mäta tidig skivepitelcancer” respektive ”att mäta tidigt adenocarcinom” i ”rekommenderade klassifikationssystem” nedan.

7.2 Rapportering beroende av preparat

Biopsier:

  • Antal vävnadsbitar samt mått.
  • Ingen skivepitellesion, alternativt LSIL eller HSIL.
  • Hos kvinnor 27 år eller yngre bör HSIL vidare uppdelas i HSIL(CIN2) respektive HSIL(CIN3), där tillägget (CIN2) och (CIN3) motsvarar morfologi i det gamla systemet. Den kliniska handläggning av dessa unga kvinnor (val mellan behandling med slyngkon alt. exspektans) grundar sig delvis på morfologiska fynd.
  • Ingen körtelförändring, alternativt AIS.
  • Utfall av immunhistokemiska undersökningar/biomarkörer.
  • Eventuell invasion. Invasionsdjupet och bredden kan inte bedömas i biopsier. Vid invasiv tumörväxt i biopsi anges tumörtyp och om kärlinvasion påvisats. Frånvaro av invasion bör särskilt kommenteras vid HSIL och AIS.

 

Slyngbiopsi/slyngkon/kon

Makroskopi:

  • Hur kom preparat till labb? Öppnat? Uppnålat?
  • Tuschmarkering?
  • Preparatens mått. Hur har preparat fraktionerats?


Mikroskopi:

  • Ingen skivepitelförändring, alternativt LSIL eller HSIL.
  • Ingen körtelförändring, alternativt AIS.
  • Påvisas HSIL/AIS i resektionsytan?
  • Utfall av immunhistokemiska undersökningar/biomarkörer
  • Närvaro eller frånvaro av invasiv tumörväxt. Vid invasiv tumörväxt anges också följande:
    • Tumörtyp
    • Största infiltrationsdjup. Rapporteras enligt lokal överenskommelse. Alternativ inkluderas: måttet i mm, som % av cervixvägg, vilken ”tredjedel” av cervixväggen.
    • Tumörstorlek − anges så att tumörstadium kan beräknas
      – om mer än 7 mm: åtminstone största dimension (stadium är T1b eller mer).
      – om 7 mm eller mindre: tumörutbredning i mm i tre dimensioner (stadium är T1a1,
      T1a2). Se ”att mäta tidig skivepitelcancer” respektive ”att mäta tidigt adenocarcinom”
          i ”rekommenderade klassifikationssystem” nedan.
    • Avstånd i mm till närmaste resektionsytan.
    • Multifokal tumörväxt påvisad/ej påvisad.
    • Kärlinvasion påvisad/ej påvisad.

 

Hysterektomi

Makroskopi:

  • Hur har preparat inkommit? Färsk? Öppnat?
  • Har man gjort ett fryssnitt (till exempel vid trakelektomi)?
  • Beskrivning av preparat, särskilt patologiska och avvikande fynd.
  • Vaginalmanchett: mått i mm
  • Yta/serosa: intakt?
  • Övrigt: status post konisering?
  • Tumörlokalisation.
  • Vänster och höger parametrium: finns med? patologiska fynd?
  • Makrofoto taget?
  • Eventuell markering (tusch).
  • Fraktionering: Som minimikrav bör en cervixtumör bäddas helt, 1 fraktion från normala strukturer (endometrium, myometrium, ovarier, tubor, parametrier), ytterligare bitar vid behov beroende på makroskopisk bedömning.

 

Mikroskopi:

  • Ingen skivepitelförändring, alternativt LSIL eller HSIL.
  • Ingen körtelförändring, alternativt AIS.
  • Påvisas HSIL/AIS i resektionsytan? Se generella kommentarer ovan angående radikalitet.
  • Utfall av immunhistokemiska undersökningar/biomarkörer
  • Närvaro eller frånvaro av invasiv tumörväxt. Vid invasiv tumörväxt anges också följande:
    • Tumörtyp
    • Största infiltrationsdjup. Rapporteras enligt lokal överenskommelse. Alternativ inkluderas: mått i mm, som % av cervixvägg, vilken ”tredjedel” av cervixväggen.
    • Tumörstorlek − anges så att tumörstadium kan beräknas
      – om större än 7 mm: åtminstone största dimension (stadium är T2 eller mer).
      – om 7 mm eller mindre: tumörutbredning i mm i tre dimensioner (stadium är förmodat
      T1a1, T1a2). Se ”att mäta tidig skivepitelcancer” respektive ”att mäta tidigt
         adenocarcinom” i ”rekommenderade klassifikationssystem” nedan.
    • Avstånd i mm till närmaste resektionsytan.
    • Multifokal tumörväxt påvisad/ej påvisad.
    • Kärlinvasion påvisad/ej påvisad.

8. Koder och beteckningar

8.1 SNOMED

Fr.o.m. 2017-01-01 följer kodningen World Health Organization Classification of Tumours of Female Reproductive Organs, 2014 [2]. I kapitel 7, sidan 170, finns en fullständig lista över samtliga aktuella koder inom cervixdiagnostiken. Det är dessa koder som är aktuella, och om ett labb saknar en eller flera koder bör dessa införas.

Koderna i WHO anges som 5 siffror. Till exempel ”Adenocarcinom in-situ 8140/2”. I Svensk SNOMED-kodning är koden M81402. Dessa koder godkändes av IARC/WHO:s kommitté för kodning år 2013.

Koder som slutar med 2 och 3 bör canceranmälas. Även vissa koder som slutar med 0 och 1 bör canceranmälas.

I princip finns samtliga tänkbara tumörformer med i WHO boken, vilket gör att man kan följa utfallet av vanliga tumörer, men även utfallet av ovanliga tumörer (till exempel neuroendokrin cancer).

8.2 T-koder

T82000 Uterus (hysterektomi)

T83000 Cervix

8.3 Cervix M-koder

OBS: Endast en SNOMED-M-kod ska anges, den som motsvarar den värsta lesionen. Exempel: om både invasiv skivepitelcancer och HSIL finns ska endast kod M80703 anges.

M80770           LSIL

M80772           HSIL (OBS! tidigare ”CIN2” kodas som HSIL, och canceranmälas)

Undantag från WHO/IARC:s kodningsprinciper: Vid klinisk önskan, i biopsier hos kvinnor 27 år eller yngre, används ”dubbelkoding” med både HSIL och CIN2/CIN3 för att möjliggöra uppföljning i Nationellt kvalitetsregister för cervixcancerprevention (NKCx). Hos dessa kvinnor anges tilläggskod M74007 för HSIL(CIN2) och M80702 för HSIL(CIN3). Detta görs under en övergångsperiod fram tills kvalitetsregistret kan utveckla ett bättre system för uppföljning.

M80703           Skivepitelcancer

M81402           Endocervical adenocarcinom in-situ

M81403           Endocervical adenocarcinom av vanlig typ

M83803           Endometioid carcinom

M82633           Villoglandulär carcinom

M84823           Mucinös carcinom av gastrisk typ

M84823           Mucinös carcinom av gastrisk typ

9. Kvalitetsindikatorer

  • Totalt antal cervix-prover
  • Antal LSIL
  • Antal HSIL
  • Antal invasiv skivepitelcancer
  • Antal invasivt adenocarcinom
  • Extern kvalitetssäkring av p16-immunhistokemi

10. KVAST-grupp gynekologisk patologi 2016

Uppdaterat adressuppgifter finns på Svensk Förening för Patologis webbplats, under KVAST och Gynekologisk patologi. http://svfp.se/node/219

Sammankallande:

Joseph Carlson, Karolinska universitetssjukhuset, Stockholm
joseph.carlson@ki.se

Medlemmar:

Julia Bak, Linköpings universitetssjukhus, Linköping
julia.bak@regionostergotland.se

Henrik Edvardsson, Centralsjukhuset Karlstad, Karlstad
henrik.edvardsson@liv.se

Anne-Marie Levin Jakobsen, Unilabs AB, Skövde
ann-marie.levinjacobsen@unilabs.com

Eva Lundin, Norrlands universitetssjukhus, Umeå
eva.lundin@medbio.umu.se

Constantina Mateoiu, Sahlgrenska universitetssjukhuset, Göteborg
constantina.mateoiu@vgregion.se

Anna Måsbäck, Skånes universitetssjukhus, Lund
Anna.Masback@skane.se

Husam Oda, Norrlands universitetssjukhus, Umeå
husam.oda@vll.se

Angeliki Papagiannopoulou, Linköpings universitetssjukhus, Linköping
Angeliki.Papagiannopoulou@regionostergotland.se

Diana Taslica, Akademiska sjukhuset, Uppsala
diana.lizuca.taslica@akademiska.

Anna Tolf, Akademiska sjukhuset, Uppsala
anna.tolf@akademiska.se

Sandra Wessman, Karolinska universitetssjukhuset, Stockholm
sandra.wessman@karolinska.se

Sofia Westbom-Fremer, Skånes universitetssjukhus, Lund
sofia.westbom-fremer@skane.se

11. Referenser

  1. Darragh TM, Colgan TJ, Thomas Cox J, Heller DS, Henry MR, Luff RD, et al. The Lower Anogenital Squamous Terminology Standardization project for HPV-associated lesions: background and consensus recommendations from the College of American Pathologists and the American Society for Colposcopy and Cervical Pathology. International journal of gynecological pathology : official journal of the International Society of Gynecological Pathologists. 2013;32(1):76-115.
  2. Kurman RJ, Carcangiu ML, Young RH, Herrington CS. WHO Classification of Tumours of Female Reproductive Organs: International Agency for Research on Cancer; 2014.
  3. Kurman RJ, Ellenson LH, Ronnett BM. Blaustein’s Pathology of the Female Genital Tract [Elektronisk resurs]. Boston, MA: Springer US; 2011.
  4. Galgano MT, Castle PE, Atkins KA, Brix WK, Nassau SR, Stoler MH. Using biomarkers as objective standards in the diagnosis of cervical biopsies. The American journal of surgical pathology. 2010;34(8):1077-87.
  5. Stoler MH, Vichnin MD, Ferenczy A, Ferris DG, Perez G, Paavonen J, et al. The accuracy of colposcopic biopsy: analyses from the placebo arm of the Gardasil clinical trials. International journal of cancer Journal international du cancer. 2011;128(6):1354-62.
  6. Mutter. Pathology of the Female Reproductive Tract [Elektronisk resurs]: Elsevier; 2014.
  7. Hirschowitz L, Nucci M, Zaino RJ. Problematic issues in the staging of endometrial, cervical and vulval carcinomas. Histopathology. 2013;62(1):176-202.
  8. McIlwaine P, Nagar H, McCluggage WG. Multifocal FIGO stage 1A1 cervical squamous carcinomas have an extremely good prognosis equivalent to unifocal lesions. International journal of gynecological pathology : official journal of the International Society of Gynecological Pathologists. 2014;33(3):213-7.
  9. RCPA. Cervical Cancer Structured Reporting 2013 [Available from: www.rcpa.edu.au/Library/Practising-Pathology/Structured-Pathology-Reporting-of-Cancer/Cancer-Protocols/Gynaecological/Protocol-Cervical-cancer.aspx.
  10. Lester SC. Manual of Surgical Pathology: Expert Consult - Online and Print: Elsevier Health Sciences; 2010.
  11. Clement PB, Stall JN, Young RH. Atlas of gynecologic surgical pathology. Amsterdam: Elsevier; 2020.