Primär behandling
Val av behandling
Rekommendationer
- Kirurgi, i första hand minimalinvasiv, bör vara den första terapeutiska åtgärden för majoriteten av patienter med livmoderkroppscancer. Den ska minst omfatta hysterektomi och bilateral salpingooforektomi (SOEB). (++++) Omentresektion/större omentbiopsi bör utföras vid icke-endometrioid subtyp.
- I utvalda fall kan fertilitetsbevarande behandling (avsnitt 12.4 Fertilitetsbevarande handläggning) eller sparande av äggstockar (avsnitt 12.2.1 Bevarande av äggstockar) övervägas.
- Portvaktskörteldiagnostik kan med stor säkerhet detektera lymfkörtelmetastasering i bäckenet. (+++) Metoden bör användas för alla patienter som bedöms klara postoperativ behandling.
- Omfattningen av kirurgi och eventuell postoperativ behandling avgörs med stor hänsyn till ålder och samsjuklighet.
- Vid avancerad sjukdom är behandlingen individuell och patienten bör diskuteras vid MDK.
- De flesta patienter med endometrioid subtyp och avsaknad av p53-mutation och stadium I–II är färdigbehandlade efter det kirurgiska ingreppet. (++)
- Patienter med stadium I–II och icke-endometrioid subtyp eller p53-muterad/abnormal rekommenderas postoperativ adjuvant cytostatikabehandling liksom patienter med stadium II och höggradig endometrioid subtyp med djupväxt. (+)
- Patienter med stadium I–II och POLE-muterad tumör, oavsett histologi och djupväxt, rekommenderas inte adjuvant onkologisk behandling. (++)
- Patienter med stadium III och dMMR/MSI-H, med eller utan kvarvarande sjukdom efter operation, rekommenderas cytostatikabehandling med tillägg av PD (L)-1-hämmare samt tillägg av strålbehandling i stadium III B och III C. (+++)
- Patienter med sjukdom i stadium IV rekommenderas vanligen cytostatikabehandling med tillägg av PD (L)-1-hämmare oavsett MMR-status, och i vissa fall strålbehandling beroende på eventuell kvarvarande tumör eller primär tumörutbredning. (++)
- När cytostatikabehandling rekommenderas är det i första hand en kombination av karboplatin (AUC 5) och paklitaxel (175 mg/m2), 4–6 cykler utifrån stadium med 3 veckors intervall. (++)
- Patienter med stadium III med kvarvarande sjukdom efter operation eller stadium IV oavsett operationsresultat rekommenderas cytostatikabehandling med tillägg av PD (L)-1-hämmare oavsett MMR-status.
- PD-(L)-1-hämmare ges i kombination med karboplatin och paklitaxel föjt av underhållsbehandling med PD-(L)-1-hämmare till progress eller intolerabel toxicitet, dock maximalt 2 år. (++++)
- Av kostnadsskäl rekommenderas f.n. PD-1-hämmaren dostarlimab.
- Det finns ingen säker evidens för preoperativ cytostatikabehandling varför detta inte rekommenderas annat än i selekterade fall efter diskussion på MDK.
Kirurgi är grundpelaren vid behandling av livmoderkroppscancer, eftersom den i flertalet fall är botande som enda åtgärd. Kirurgi bör om möjligt även ligga till grund för stadieindelning och planläggning av postoperativ icke-kirurgisk behandling eller fortsatt omhändertagande. I flertalet fall med disseminerad cancer är hysterektomi även viktig ur palliativ synvinkel för att minska blödningar och besvärande lokalsymtom.
En del patienter är olämpliga för kirurgi, till följd av allmäntillstånd eller samsjuklighet. Kurativt syftande intrakavitär brachyterapi eller palliativ extern strålbehandling kan då vara ett alternativ. De europeiska riktlinjerna år 2021 66 avspeglar fortfarande brist på solida data gällande adjuvant behandling. Som tidigare varierar riktlinjerna utifrån behandlingstraditioner i de olika europeiska länderna.
Preoperativ bedömning
I och med implementeringen av portvaktskörteldiagnostik som rutin på alla livmoderkroppscancerpatienter som bedöms tåla postoperativ onkologisk behandling, bortfaller behovet av rutinmässig hög–lågriskgruppering baserat på myometrieinvasion eller cervixengagemang.
Vid utredning inför eventuell fertilitetsbevarande behandling krävs en mer utförlig preoperativ bedömning av myometrieinvasion med både ultraljud och MR, vilket även är aktuellt om ovarialsparande kirurgi är påtänkt.
Postoperativ riskbedömning och prognostiska faktorer
Den postoperativa riskbedömningen syftar till att hitta de patienter som har ökad risk för återfall och avgöra om postoperativ behandling är indicerad. Ställningstagandet till postoperativ behandling bör baseras på traditionella riskfaktorer såsom stadium, icke-endometrioid samt höggradig endometrioid histopatologi, och djupväxt ≥ 50 % i myometriet, men molekylär klassificering ger också ytterligare information som kan styra val av behandling.
Utöver ovanstående riskfaktorer finns ytterligare prognostiska faktorer såsom ålder, tumörstorlek, lymfovaskulär invasion (LVSI), och förekomst av hormonreceptorer.
LVSI som innebär tumörinväxt i lymf-/blodkärl, har i en studie baserad på data från Svenska kvalitetsregistret för gynekologisk cancer visat sig vara den starkaste faktorn för lymfkörtelmetastasering hos kvinnor med endometrioid livmoderkroppscancer (justerat för ålder, differentieringsgrad, DNA-ploidi och myometrieväxt). Det fanns även ett samband mellan LVSI och försämrad överlevnad hos kvinnor utan lymfkörtelmetastasering 111 . I en studie baserad på ett sammanslaget material från de båda randomiserade PORTEC-studierna inkluderande kvinnor med endometrioid livmoderkroppscancer i stadium I, var signifikant LVSI den starkaste oberoende riskfaktorn för bäckenåterfall, distansmetastaser och försämrad totalöverlevnad. Extern adjuvant strålbehandling minskade risken för bäckenåterfall i denna studie 112 . LVSI kan vara en faktor som vägs in i bedömningen om en patient som inte genomgått lymkörteldiagnostik bör reopereras.
Behandlingsprediktiva faktorer är sådana som kan förutse effekt av behandling. Patienter med tumörer med defekta MMR-proteiner/MSI-H har en högre sannolikhet att svara på behandling med immunterapi. Tumörens hormonreceptorstatus (ER och PgR) kan ge stöd för hormonell behandling vid återfall 111.
Kirurgi
Minimalinvasiv kirurgi är förstahandsvalet för det stora flertalet kvinnor med livmoderkroppscancer 113. Undantag utgör kvinnor med kirurgisk eller anestesiologisk kontraindikation till minimalinvasiv kirurgi och kvinnor med spridd cancer som opereras med kurativ intention där öppen bukkirurgi bör utföras. Patienter med misstänkt avancerad tumörstatus, samsjuklighet eller funktionsstatus (performance status) som utgör kontraindikation för all typ av kirurgi ska diskuteras på MDK.
Operation av livmoderkroppscancer börjar med en undersökning av hela bukhålan inklusive oment, diafragma, lever, tarmpaket och peritoneum. Resultatet av denna undersökning ska framgå av operationsberättelsen.
Tumörmisstänkta peritoneala förändringar biopseras för fryssnitt. Om det i detta skede föreligger en intraabdominellt spridd sjukdom bör laparotomi övervägas.
En infracolisk omentresektion alternativt en stor omentbiopsi bör utföras vid icke-endometrioid histologi (dit räknas inte mucinös tumör) och kan övervägas i de fall där tumören visar genomväxt till uterusserosan. Buksköljvätska till cytologi behöver inte tas.
Operationen ska omfatta en total hysterektomi och SOEB. Hysterektomin bör utföras på ett sådant sätt att fria marginaler åstadkoms och radikalitet uppnås.
Operation vid spridd tumör. Vid spridd tumör i bukhålan kan primärkirurgi utföras med målet att uppnå makroskopisk tumörfrihet innefattande makroskopiskt förstorade körtlar 114.
Bevarande av äggstockar
Bevarande av äggstockar hos premenopausala kvinnor kan övervägas vid EIN eller låggradig livmoderkroppscancer med ytlig myometrieinvasion 115. Förutsättningen är att äggstockarna är av normalt utseende vid transvaginalt ultraljud och peroperativ inspektion. Salpingektomi bör utföras. Stadieindelning med portvaktskörteldiagnostik utförs enligt avsnitt 12.2.2 Portvaktskörteldiagnostik även i de fall äggstockarna sparas. BRCA1–2-mutation, Lynchs syndrom eller annan relevant ärftlighet för cancer utgör kontraindikation för ovariesparande kirurgi 66.
Vid överraskande fynd av låggradig endometrioid cancer med ytlig invasion efter hysterektomi (vanligtvis på benign indikation) behöver inte äggstockar med normalt utseende avlägsnas. Vid djup myometrieinvasion eller icke-endometrioid histologi tar man ställning till kompletterande ooforektomi, restaging och/eller postoperativ onkologisk behandling enligt 12.2.2.5 Restaging kirurgi.
Portvaktskörteldiagnostik
Detektion av portvaktslymfkörtlar (Sentinel Lymph Nodes, SLN) vid livmoderkroppscancer som alternativ till preoperativ riskgruppering och full körtelutrymning vid förmodad högriskcancer har flera avgörande fördelar:
- Samtliga kvinnor med livmoderkroppscancer kan erbjudas tillförlitlig kirurgisk stadieindelning.
- Konsekvenserna av en felaktig preoperativ riskgruppering minskar.
- Den preoperativa utredningen förenklas när rutinmässig bedömning av myometrieinvasion eller eftergranskning av endometriebiopsier inte längre behöver utföras.
- Andelen patienter med sant isolerade paraaortala metastaser minskar eftersom mikroskopisk metastasering till bäckenkörtlar upptäcks via ultrasnittning och immunhistokemi av SLN.
Bakgrund
Den traditionella riskgrupperingen av livmoderkroppscancer har motiverats av att sjukligheten vid lymfkörtelutrymning ansetts överstiga vinsterna med att identifiera en relativt låg andel metastaser i lågriskgruppen. Detta har emellertid inneburit att spridning till lymfkörtlar har förblivit odiagnostiserad i lågriskgruppen. Lymfkörtelmetastaser har ansetts ovanligt i lågriskgruppen men senare studier som inkluderat ultrasnittning av lymfkörtlar har visat en förekomst på upp till 12 % 116 117.
Den tidigare preoperativa riskgruppsindelningen baserades på mätning av myometrieinfiltration med ultraljud eller MRT och på histologisk tumörtyp. I en svensk populationsbaserad studie uppvisade ultraljud/MRT en sensitivitet på 62–77 % och en specificitet på 72–81 % för att detektera myometrieinfiltration större än 50 % 111. Således både över- och underdiagnostiseras myometrieinfiltrationen i betydande grad. Vidare har ett flertal studier visat att preoperativt diagnostiserad låggradig endometrioid cancer ändras i cirka 8–10 % av fallen till högriskhistologier i operationspreparatet 59 118 119. Sammantaget kommer i storleksordningen 25 % av preoperativt förmodade lågriskpatienter att postoperativt visa sig vara felaktigt riskgrupperade.
Ett flertal prospektiva studier har varit avgörande för införandet av portvaktskörteldiagnostik vid livmoderkroppscancer. I den randomiserade FILM-studien visade sig indocyaningrönt (ICG) vara överlägset isosulfanblått för detektion av portvaktskörtlar och konkluderar att ICG bör vara förstahandsval av tracer 120 . I den första prospektiva studien som utvärderade den diagnostiska säkerheten av SLN (FIRES-studien) uppnådde man en sensitivitet på 97 % för detektion av körtelmetastaser och ett negativt prediktivt värde på närmare 100 %. Dock definierade och inkluderade studien paraaortala SLN:er, vilket från ett lymfanatomiskt och kirurgiskt morbiditetsperspektiv är tveksamt. Räknat på pelvina SLN:er sjönk sensitiviteten till 92 % 121. Svagheten i studien var dock huvudsakligen att bilateral detektion av portvaktslymfkörtlar endast uppnåddes i drygt 50 %, vilket innebar att en stor andel kvinnor ändå fick genomgå någon form av lymfkörtelutrymning.
I den svenska studien SHREC studerades SLN i bäckenet som ett alternativ till komplett körtelutrymning bland 257 kvinnor med högrisklivmoderkroppscancer 122. Sensitiviteten för detektion av pelvina metastaser för hela algoritmen var 100 % och andelen isolerade paraaortala metastaser var endast 3,5 % (vilket motsvarar mindre än 1 % i den totala gruppen). Det sistnämnda var ett resultat av ultrastaging där 16 % kvinnor med enbart mikrometastaser eller ITC visade sig ha paraaortal spridning. Utan ultrastaging av portvaktslymfkörtlarna hade dessa paraaortala metastaser betraktats som isolerade. I SHREC-studien, där kirurgin utfördes av ett litet antal erfarna kirurger, uppnåddes vidare en bilateral kartläggning av portvaktslymfkörtlar på 95 %. Skillnaden i graden av kartläggning av portvaktslymfkörtlar mellan de två studierna FIRES och SHREC understryker vikten av kirurgisk vana 123 124. Risken för symtomgivande lymfödem har visat sig minska från cirka 20 % till cirka 1 %, och risken för lymfcystor i bäckenet från 12 % till 2,5 % vid enbart SLN jämfört med full körtelutrymning 125 126.
Det vetenskapliga stödet för SLN baseras främst på kvinnor med högrisklivmoderkroppscancer, men är rimligen applicerbart även på lågriskgruppen. För denna grupp är dock avvägningen mellan potentiellt ökad kirurgiskt orsakad sjuklighet och förbättrad diagnostik viktig. I SHREC-studien noterades inga intraoperativa komplikationer relaterade till detektion eller extirpation av SLN. En nyligen publicerad studie från Sverige ger stöd för att anatomisk kartläggning av de lymfkörtlar som vanligen identifieras som portvaktslymfkörtlar i kombination med mycket hög lyckandegrad minimerar behovet av kompletterande full körtelutrymning vid utebliven kartläggning 116.
Implementering
Sammantaget rekommenderas att den absoluta majoriteten av kvinnor med livmoderkroppscancer erbjuds detektion av portvaktslymfkörtlar. Det finns stark evidens för att detektion av SLN ska centraliseras till universitetskliniker och att det utförs av ett begränsat antal kirurger som speciellt utbildats i tekniken. Patienter som av ålders- eller samsjuklighetsskäl inte bedöms vara betjänta av adjuvant onkologisk behandling eller med lokalt avancerad eller metastaserad cancer ska också undantas. Vid anestesiologisk kontraindikation till minimalinvasiv kirurgi bör detektion av SLN med anpassad öppen teknik eftersträvas. Om sådan saknas kan anatomiskt baserad körteldiagnostik tillämpas (se nedan). Högt BMI är inte en kontraindikation till SLN eller minimalinvasiv teknik utan bör snarast betraktas som en tilläggsindikation.
I de fall det råder tveksamhet bör patienter diskuteras på MDK. En studie har visat att cirka 85 % av patienter med livmoderkroppscancer uppfyller kriterierna för SLN med minimalinvasiv kirurgi 125.
En fortlöpande nationell kvalitetssäkring av SLN-konceptet bör inkludera:
- analys av andelen patienter med livmoderkroppscancer som genomgått adekvat SLN-diagnostik
- analys av frekvensen av faktiskt erhållna/förväntade lymfkörtelmetastaser i förhållande till histologi
- frekvensen av intraoperativa och postoperativa komplikationer associerade med detektion och borttagande av SLN
- nationellt samarbete rörande utbildning i SLN-teknik
- underlag för nationellt forskningssamarbete.
Kirurgisk teknik för att detektera portvaktskörtlar
Detektion av portvaktslymfkörtlar ska ske längs de övre paracervikala banorna medan detektion av portvaktslymfkörtlar längs de nedre paracervikala, presakrala banorna, vilket också är tekniskt mera komplicerat, kan undvaras då risken för isolerade körtelmetastaser presakralt är mindre än 3 % (avvakta publikation).
Detektion av portvaktskörtlar ska utföras innan hysterektomin och inleds med injektion av 4 x 0,25 ml, 2,5 mg/ml indocyaningrönt (ICG) klockan 2, 4, 8 och 10 långsamt submuköst i cervix. Därefter öppnas de pararektala och paravesikala avaskulära spatierna på sådant sätt att den parauterina lymfovaskulära vävnaden med lymfbanor från uterus till bäckenväggarna behålls intakt. Därefter bedöms ICG-upptaget i lymfbanor och lymfkörtlar. Ipsilateral reinjektion av ICG rekommenderas vid uteblivet ICG-upptag.
Två typer av ICG-baserade portvaktskörtlar kan definieras: typ 1 utgörs av ICG-positiv körtel med en afferent ICG-positiv lymfbana, medan typ 2 definieras som en ICG-negativ lymfkörtel med en afferent lymfbana i avsaknad av andra ICG-positiva ipsilaterala körtlar. Parallella lymfbanor förekommer frekvent och en detektion av portvaktslymfkörtlar ska alltid innefatta bedömning av körtlar i obturatorlogen (den vanligaste lokalisationen för isolerade körtelmetastaser) och körtlar medialt och lateralt om a. iliaca externa. I tillägg ska makroskopiskt misstänkta körtlar oavsett ovanstående alltid avlägsnas.
Den parauterina lymfovaskulära vävnaden (PULT) förbinder uterus med körtlar mera lateralt och innehåller körtlar i upp till 40% av patienterna. Om körtlar identifieras makroskopisk bör dessa avlägsnas och histologiskt behandlas som SLNs.
I avsaknad av portvaktskörtlar typ 1–2 definierade enligt ovan, kan lymfkörtlar på anatomiskt typiska lokalisationer utföras (portvaktskörtel ”anatomi”). Detta bör alltid omfatta körtel i proximala obturatorlogen, körtel interiliacalt och körtel lateral om a. iliaca externa i nivå-bifurkation av a. iliaca communis (de typiska lokalisationerna). Se figur 5.
Samtliga portvaktskörtlar ska genomgå ultrasnittning och immunhistokemi.
Figur 5. Schematisk beskrivning av typiska positioner för portvaktskörtlar vid livmoderkroppscancer

Luhrs Bollino Persson Gynecol Oncol 2022 Jun;165(3).
Adekvat portvaktskörteldetektion
För att betraktas som en fullgod ersättning för en körtelutrymning i bäckenet ska enligt beskrivning ovan 2 portvaktskörtlar/bäckenvägg typ 1–2 eftersträvas eller minst 3 portvaktskörtel ”anatomi” detekteras per bäckenvägg.
Figur 6. Algoritm för sentinel node

Restaging kirurgi
Behov av restaging kan uppstå vid överraskande fynd av livmoderkroppscancer efter hysterektomi eller vid överraskande histopatologiska fynd efter operation med enbart hysterektomi +/- SOEB på grund av EIN.
Restaging vid livmoderkroppscancer ska utföras på universitetsklinik och i första hand med minimalinvasiv kirurgi.
Om portvaktskörteldiagnostik inte har utförts vid primärkirurgi bör restaging utföras i följande fall:
- vid upptäckt av icke-endometrioid adenokarcinom
- vid fynd av endometrioid adenokarcinom med någon av följande riskfaktorer:
– invasion i cervixstroma
– myometrieinvasion > 50 %
– höggradig endometrioid tumör
– LVSI
– p53-abnormal
Som alternativ till full pelvin körtelutrymning kan portvaktskörteldiagnostik (inklusive ultrastaging) utföras med anatomisk portvaktskörtelteknik 116. (Se avsnitt 12.2.2.3 Kirurgisk teknik för att detektera portvaktskörtlar.)
Onkologisk behandling
Figur 7. Postoperativ behandling för patienter med kirurgiskt stadium I–III, radikalt opererade. Figuren gäller under förutsättning att adekvat lymfkörteldiagnostik genomförts. Figuren finns i större format i bilaga 2 Postoperativ behandling. Kirurgiskt stadium I-III. Radikalt opererade.


I de fall patienten inte har genomgått lymfkörteldiagnostik och har stadium IB–IIIA, p53-abnormal eller icke-endometrioid histologi bör diskussion angående reoperation med lymfkörteldiagnostik ske på MDK. Om lymfkörteldiagnostik sker och detta ger ett högre stadium behandlas patienten utifrån detta. Om patienten inte genomgår lymfkörteldiagnostik ändras inte den onkologiska handläggningen som rekommenderas utifrån övriga riskfaktorer som stadium och histologi och molekylära subtyper.
Primär läkemedelsbehandling
Cytostatikabehandling
Kombinationen av karboplatin och paklitaxel (KarPak) betraktas som första linjens behandling vid livmoderkroppscancer.
Cisplatin, karboplatin, doxorubicin och paklitaxel har alla uppvisat aktivitet i ett flertal fas II-studier. I en fas III-studie från år 2004 påvisades att kombinationen cisplatin, doxorubicin och paklitaxel gav en högre totalöverlevnad (OS) än kombinationen cisplatin och doxorubicin men till priset av oacceptabel toxicitet 127. I en senare studie presenterade Miller et al. På ASCO 2012 att kombinationen karboplatin och paklitaxel (KarPak) inte var sämre än trippelbehandlingen 128. KarPak betraktas efter detta som förstahandsvalet vid livmoderkroppscancer.
Preoperativ cytostatikabehandling (NACT)
Vid avancerad äggstockscancer har flera RCT visat likvärdig överlevnad med neoadjuvant cytostatika följt av fördröjd primäroperation (NACT + IDS) som med primäroperation följt av kemoterapi.
När det gäller avancerad livmodercancer saknas evidens från randomiserade studier som stöd för riktlinjer. Primär kirurgi med optimal tumörreduktion är standardbehandling, och ger en överlevnadsvinst även vid fjärrmetastasering 129.
I två översiktsartiklar har man analyserat retrospektiva studier och en liten prospektiv studie om NACT + IDS vid livmodercancer. De ingående studierna är heterogena, ofta med små kohorter och skillnader i cytostatikaregimer, histologi och adjuvant behandling 129130.
Man konstaterar sammanfattningsvis att NACT+IDS kan övervägas vid primärt icke-resektabel sjukdom eller icke-operabel patient med nedsatt allmäntillstånd, oavsett histologi. Enligt nya ESGO/ESTRO/ESP riktlinjerna för livmoderkroppscancer rekommenderas tillägg med PD-(L)-1- hämmare till cytostatika vid NACT, framför allt vid dMMR/MSI-H (presenterat på ESGO kongress 2025).
Man finner hög andel respons på neoadjuvant kemoterapi (60-70%), god chans till optimal fördröjd kirurgi för de som opereras (50-80%), och jämförbar överlevnad med primärt opererade.
Fördelar med NACT är minskad kirurgisk morbiditet, samt tidig upptäckt av cytostatikaresistens och därmed övergång till palliativ vård 131132.
I dagsläget finns inte tillräcklig evidens för att rekommendera NACT, men det kan övervägas i utvalda fall 66.
Adjuvant (postoperativ) cytostatikabehandling
Ett flertal studier har utförts för att klargöra om cytostatika ger en förlängd överlevnad i ett postoperativt skede. Dessvärre har många studier inkluderat patienter med både hög och låg risk, ofta i kombination med strålbehandling i ena eller båda armarna, vilket försvårat bedömningen av resultatet. De flesta studierna har varit negativa.
Vid tumörsjukdom begränsad till uterus (stadium I–II) saknas idag evidens för nytta av adjuvant cytostatikabehandling. ENGOT EN 2-studien inkluderade patienter med högriskhistologi i stadium I–II där man randomiserade till KarPak x 6 eller enbart kontroller. Inklusionen är avslutad men uppföljningsfasen pågår. Den enda studie med relativt stor andel patienter i tidigt stadium som visat fördel för tillägg av cytostatika är en randomiserad studie som inkluderade patienter med stadium I–II, samt med positiv buksköljvätska (då klassificerat som stadium IIIA) med i huvudsak högriskhistologi. Patienterna fick postoperativ extern strålbehandling +/- vaginal brachyterapi och randomiserades till 4 kurer cytostatika (växlande regimer, i början mest cisplatin/doxorubicin och senare KarPak), eller ingen ytterligare behandling. Man fann att de som fått tillägg av cytostatika hade en signifikant längre progressionsfri överlevnad 133 . När dessa data poolades med en italiensk studie med liknande design kunde även en signifikant förlängd cancerspecifik överlevnad och en trend till förbättrad totalöverlevnad konstateras i gruppen som fått postoperativa cytostatika 134.
Internationellt varierar det hur gruppen i stadium I–II med icke-endometrioid histologi behandlas i brist på bra evidens. I Sverige liksom i andra länder styr förekomst av icke-endometrioid tumörcellskomponent (helt eller blandtumör) val av behandling. I många länder inklusive Sverige ges adjuvant cytostatikabehandling med KarPak, hos oss 4 cykler, i avvaktan på resultatet från ENGOT EN 2-studien. Även vid höggradig endometrioid cancer med djupväxt i stadium II rekommenderas denna behandling. Med tanke på svag evidens för adjuvant behandling i tidiga stadier får man alltid överväga nytta/vinst för den enskilda patienten baserat på allmäntillstånd, samsjuklighet och patientens önskemål.
Seröst endometrialt intraepitelialt karcinom (SEIC) är en prekursor till serös livmoderkroppscancer. I de flesta fall uppkommer de i endometriepolyper och växer vanligtvis inte in i myometriet. De bör opereras som en serös livmoderkroppscancer. Om SEIC är ett postoperativt fynd bör patienten genomgå restaging som en serös livmoderkroppscancer. Rekommendationen är i dagsläget att avstå från adjuvant behandling 52. De bör dock följas som livmoderkroppscancer, eftersom återfallsrisken är 12,5–40 % 48 49 50 .
PORTEC 1 och -2 har visat att patienter med POLE-muterade tumörer har mycket god prognos, oavsett andra kliniska och patologiska variabler. Vidare visade en dansk studie med 367 patienter med höggradig endometrioid livmoderkroppscancer i stadium I-III att ingen av patienterna med POLE-mutation hade fått återfall efter 5 års uppföljning oberoende av lymfkörtelstaging eller om de erhållit adjuvant behandling eller inte 135 . Sammantaget anses patienter med stadium I-II och POLE-mutation (5–15 %) tillhöra lågriskgruppen och bedöms inte vinna på adjuvant cytostatikabehandling 136 137 138 . Vårdprogramgruppen rekommenderar därför att patienter med stadium I-II och POLE-mutation ska undantas från adjuvant behandling, vilket är i enlighet med europeiska riktlinjer 66 98 .
POLE-mutation är mindre vanligt vid avancerad sjukdom 137 147 . Hos patienter med POLE-muterad tumör i stadium III kan det vara ett alternativ att avstå från adjuvant behandling, med det finns inga data i nuläget på hur prognosen påverkas om de inte erhållit adjuvant behandling, och ytterligare studier inväntas innan nedtrappning av behandling vid avancerad sjukdom rekommenderas. I den randomiserade fas III-multicenterstudien PORTEC III randomiserades patienter med högriskcancer till adjuvant behandling med antingen kombination av radiokemoterapi följt av 4 cykler KarPak eller enbart strålbehandling. I efterhand har man genomfört molekylär klassificering av alla tumörer, och man kunde då se att patienter med POLE-mutation hade mycket god prognos oavsett adjuvant behandling (HR för recurrence free survival: 0,079; overall survival: 0,11 i multivariatanalys). Endast 1 av 51 patienter med POLE-mutation fick återfall och avled, trots att högriskpatienter ingick i gruppen POLE-muterade (23,5 % stadium III, 11,8 % serös, 11,8 % klarcellig, 56,9 % höggradigt endometrioida). I PORTEC-4a 141 utforskas de-eskalering av adjuvant behandling till patienter med POLE-muterad tumör.
Patienter med p53-muterade tumörer har sämst prognos, oberoende av riskgrupp, typ av adjuvant behandling, tumörtyp eller grad. Dessa patienter (majoriteten av serösa cancrar men även en signifikant andel av övriga histologiska subtyper) verkar ha störst nytta av adjuvant cytostatikabehandling 140 . I PORTEC III sågs ingen skillnad i prognos mellan patienter med serös cancer med p53-mutation och icke-serösa med p53-mutation, och man såg en tydligt förbättrad prognos bland patienterna som lottats till cytostatikaarmen (5-year recurrence free survival efter adjuvant strålbehandling och cytostatika: 59 % versus 36 % efter enbart strålbehandling). I enlighet med europeiska riktlinjer rekommenderas efterbehandling till alla patienter i stadium I och II med p53-muterad tumör, men undantag kan göras om tumören inte infiltrerar myometriet eller är begränsad till en polyp 66 98 . Patienter med dMMR och NSMP hade en intermediär prognos, med trend till fördel för kombination av cytostatika och strålbehandling i gruppen med NSMP, medan ingen skillnad sågs hos patienter med dMMR 140 . Molekylär klassificering har således potential att förbättra hanteringen av patienter och minska både över- och underbehandling 133.
Cytostatikabehandling vid avancerad sjukdom
Vid mer avancerad tumörsjukdom (stadium III–IV), oavsett om patienten är radikalt opererad eller inte, är evidensen för nytta av adjuvant cytostatikabehandling starkare.
I en Cochranerapport publicerad 2014 konkluderar man att postoperativ cytostatikabehandling tycks öka den progressionsfria överlevnaden (PFS) med cirka 25 % jämfört med postoperativ strålbehandling vid stadium III och IV. Data för OS var inte mogna 142 143 . Den största effekten såg man vid stadium III och för serös histologi. Vid återfall var fjärrmetastaser vanligast i båda grupperna och medianöverlevnaden endast 1,4 år. Biverkningarna var likartade i båda armarna men med mer neuropatier hos dem som fått cytostatika 144.
I GOG 258, också publicerad 2019 och även den en randomiserad fas III multicenterstudie, randomiserades 736 kvinnor med livmoderkroppscancer i stadium III och IVA (75 % IIIC) till att postoperativt få antingen enbart cytostatika eller kombinerad cytostatika- och strålbehandling. I cytostatikaarmen fick patienterna Kar (AUC 6)/Pak x 6. I kombinationsarmen gavs strålbehandling mot bäckenet 45 Gy med 2 cykler cisplatin följt av Kar (AUC 5–6)/Pak x 4 med benmärgsstöd. Bara 75 % klarade att få de 4 cyklerna KarPak. Som förväntat såg man fler lokala återfall i bäcken och vagina hos dem som inte strålbehandlats. Samtidigt noterades högre förekomst av distansåterfall i kombinationsarmen. Man fann ingen skillnad i PFS mellan armarna. Data på totalöverlevnad är inte mogna än 145 . I båda studierna rekommenderas fortsatt användande av strålbehandlingsmodaliteten.
Behandlingsupplägget i studierna PORTEC 3 och GOG 258 skiljer sig från behandlingspraxis i Sverige, där vi startar med cytostatikabehandling och därefter ger strålbehandling. Dessa två behandlingsupplägg är inte jämförda med varandra varför man inte kan säga vilket som är bäst. När det svenska behandlingsupplägget med cytostatikabehandling följt av strålbehandling infördes resonerade man att starta med cytostatikabehandling skulle vara gynnsamt för att behandla eventuell fjärrspridning först, och att cytostatikabehandling har sämre effekt i strålbehandlat område. I GOG 258 diskuterar man att man i kommande studier kanske också borde starta med cytostatikabehandlingen och ge strålbehandlingen efteråt 145 .
I Sverige har vi valt att ge kombinationen cytostatika och strålbehandling i första hand till patienter med känd körtelspridning, det vill säga i stadium IIIC, samt vid lokal spridning till vagina eller parametrier, i stadium IIIB. Patienterna får KarPak x 4 följt av strålbehandling mot bäckenet 45–46 Gy.
Vid portvaktskörteldiagnostik får man mer detaljerat svar på spridning i lymfkörtlar i bäckenet i form av makrometastaser, mikrometastaser och isolerade tumörceller (ITC) jämfört med traditionell lymfkörtelutrymning. Patienter med makro- och mikrometastaser stadieindelas och behandlas som stadium IIIC, medan ITC inte påverkar stadieindelningen men noteras med N0(i+) efter. Evidens för hur patienter med ITC ska behandlas saknas, de fåtaliga studier som adresserar frågan har pekat på en god prognos, men samtidigt har de flesta fått postoperativ behandling 146 147 148 149 . I en studie av lågriskpatienter (låggradig endometrioid stadium IA) som inte erhållit adjuvant behandling, sågs en ökad risk för recidiv bland patienter med ITC jämfört med lymfkörtelnegativa patienter 150 . I Sverige har vi valt att rekommendera att patienter med ITC i en körtel behandlas efter övriga riskfaktorer, medan patienter med ITC i 2 eller flera körtlar betraktas som en mer spridd sjukdom och rekommenderas behandling som stadium IIIC i avvaktan på mer evidens. I de nya europeiska riktlinjerna nämner man ITC, men konstaterar att dess prognostiska värde är okänt och lämnar inga behandlingsrekommendationer 66 . Som alltid måste patientens allmäntillstånd och samsjuklighet vägas in i detta beslut.
Patienter med spridning till äggstockar eller annan spridning utanför uterus, där indikation för strålbehandling saknas, får i första hand 6 cykler KarPak.
Målriktad behandling
Till skillnad mot cytostatikabehandling, som är en generell behandling som påverkar snabbväxande celler, riktar sig målriktad behandling mot ett specifikt mål i cellen. Den mest beprövade målriktade behandlingen vid metastaserande livmoderkroppscancer är hormonbehandling.
Hormonbehandling
Adjuvant (postoperativ) hormonbehandling
Det finns ingen evidens för nytta av adjuvant hormonbehandling vid livmoderkroppscancer, till skillnad från exempelvis bröstcancer. I en Cochraneanalys från 2014 baserad på 7 studier med totalt 4 375 patienter fann man inga belägg för att postoperativ gestagenbehandling efter primär kirurgi förhindrar eller fördröjer återfall. Det sågs ingen överlevnadsvinst jämfört med enbart opererade patienter 151.
Behandling vid avancerad sjukdom
Se kapitel 13 Behandling av återfall, avsnitt 13.3.2.2 Hormonbehandling.
Angiogeneshämmare
Angiogeneshämmare i postoperativ situation bör bara ges inom ramen för kliniska studier.
I övrigt se kapitel 13 Behandling av återfall och avsnitt 13.3.2.3 Angiogeneshämmare.
Immunterapi
Under 2023 presenterades resultat från fyra stora randomiserade fas III-studier som utvärderade effekten av immunterapi i form av PD-(L)-1-hämmare som tillägg till cytostatika i första linjen vid primärt avancerad eller recidiverande sjukdom (ENGOT-en6/RUBY, NRG-GY018/KEYNOTE-868, ENGOT-en7/AtTEnd och GOG-3041/DUO-E). Samtliga studier har visat en tydligt förbättrad PFS för patienter som erhållit tillägg av immunterapi till KarPak, med störst förbättring i gruppen med dMMR/MSI-H. Mer utförlig beskrivning av studierna presenteras i kapitel 13 Behandling av återfall, avsnitt 13.3.2.1 Immunterapi.
Adjuvant behandling med pembrolizumab i tillägg till KarPak resulterade inte i förbättrad sjukdomsfri överlevnad i den randomiserade fas 3-studien ENGOT-En11/Keynote-B21, som inkluderade 1095 nydiagnostiserade patienter med vissa högriskfaktorer (stadium I-II med icke-endometrioid histologi eller p53 abnormal, samt stadium III och IVA oavsett histologi) som opererats radikalt. 152. En fjärdedel av patienterna tillhörde gruppen dMMR/MSI-H, och 65 % var diagnostiserade i stadium III. I en subanalys sågs en tydligt förbättrad sjukdomsfri överlevnad i gruppen med dMMR/MSI-H (HR 0,31).
Baserat på resultaten från ovanstående studier är kombinationsbehandling med KarPak och PD-(L)-1-hämmarna dostarlimab, durvalumab och pembrolizumab godkända till patienter med avancerad livmoderkroppscancer. Vårdprogramgruppen rekommenderar tillägg av PD (L)-1-hämmare till KarPak som adjuvant behandling till patienter med stadium III vid dMMR/MSI (och därtill strålbehandling vid stadium III B och III C). Vid stadium III med kvarvarande sjukdom efter operation och stadium IV oavsett operationsresultat rekommenderas tillägg av PD (L)-1-hämmare till KarPak oavsett MMR-status (dvs. både vid dMMR och pMMR). Av kostnadsskäl rekommenderas dostarlimab, som ges i dosen 500 mg i kombination med KarPak var 3:e vecka i 6 cykler, följt av dostarlimab 1 000 mg var 6:e vecka till progress eller intolerabel toxicitet, dock maximalt 2 år. Där man rekommenderar KarPak och dostarlimab och adjuvant strålbehandling ges dostarlimab (500 mg) i kombination med KarPak (DostarKarPak) var 3:e vecka i 4 cykler, följt av dostarlimab 1 000 mg var 6:e vecka med start 3 veckor efter sista given DostarKarPak. Dostarlimab 1000mg kan ges samtidigt som strålbehandling.
Övriga
Se kapitel 13 Behandling av återfall, avsnitt 13.3.2.4 Övriga läkemedel.
Strålbehandling
Primär extern strålbehandling (ERT)
Primär ERT kan ges som enda behandling i palliativt syfte till patienter som av någon anledning inte opererats och där annan behandling inte bedöms lämplig, exempelvis i dosen 4 Gy x 5–7 eller 3 Gy x 10.
Primär intrauterin brachyterapi
Intrauterin brachyterapi är ett alternativ till kirurgi för patienter i kliniskt stadium I–II med hög operationsrisk till följd av samsjuklighet. Behandlingen anses vara kurativ i 70–80 % av fallen 153 154 155 .
Dosplanering bör ske med hjälp av DT- eller MRT-bilder tagna med applikatorerna på plats. HR-CTV inritas som hela uterusvolymen. Enligt rekommendationer från GEC ESTRO 156 kan HDR-brachyterapi ges med dosen 6 x 7 Gy till HR-CTV. Enligt Clinical Practice Guidelines in Oncologys (NCCN) rekommendationer bör patienten få en total dos (EQD2) > 48 Gy till uterus, cervix och 1–2 cm av vagina när endast brachyterapi används 157 .
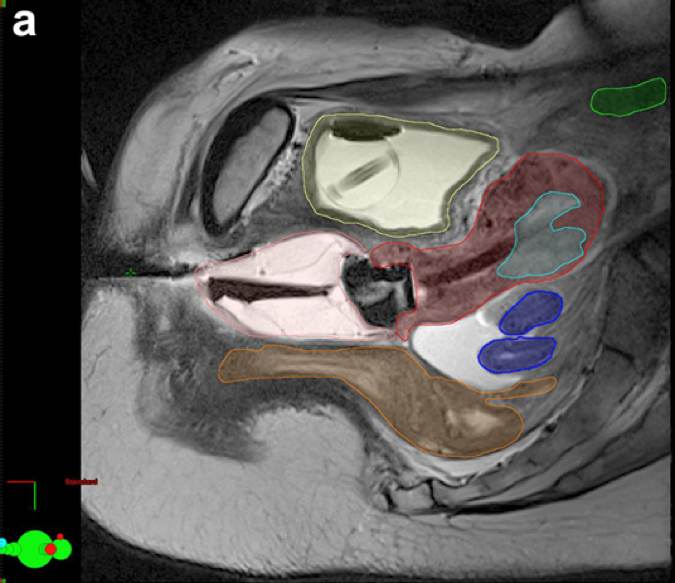
Figur 8. Contouring for medically inoperable endometrial cancer using intraoperative magnetic resonance imaging (MRI) or computer tomography (CT). (a) Sagittal slices of T2-weighted MRI showing gross tumor volume (light blue) and clinical target volume including uterus, cervix, and upper vagina (red) with adjacent sigmoid colon (dark blue), rectum (orange), bowel (green), and bladder (yellow) 157 .

Adjuvant (postoperativ) extern strålbehandling (ERT)
Adjuvant postoperativ ERT har använts i syfte att minska risken för lokala körtelåterfall i bäckenet och vaginala metastaser 158. Ett flertal randomiserade studier har dock samstämmigt visat att strålbehandlingen minskar risken för lokala återfall, men att den inte påverkar 5-årsöverlevnaden i stadium I–II 158159160161, varför man nu avstår strålbehandling i denna grupp.
I de uppdaterade europeiska riktlinjerna rekommenderar man vid stadium IIIB–IIIC postoperativ behandling med cytostatika och strålbehandling mot bäckenet 66.
Trots att evidensen för överlevnadsvinst vid postoperativ strålbehandling i stadium III är bristfällig, minskar risken för lokala återfall 145. Vid redan konstaterad lokal spridning förväntas en större andel lokala återfall jämfört med stadium I–II. Därför rekommenderas fortfarande postoperativ ERT vid stadium IIIB och IIIC. Vid ERT mot pelvina lymfkörtelstationer och tumörbädd rekommenderas behandling med 1,8–2 Gy/fraktion till en slutdos av 45–46 Gy.
I en studie av Aloisi et al. (2018)146 på sammanlagt 207 patienter med positiv portvaktskörtel kunde man visa att risken för återfall var 37,5 % hos de 8 patienter som fått både pelvin och paraaortal strålbehandling, jämfört med 30 % risk i hela gruppen (varav 95 fick pelvin strålbehandling + cytostatika) 146. Av de 8 patienter som fick paraaortal strålbehandling, drabbades 3 av återfall där spridningen var till fjärrlokaler, inte paraaortalt. Därför vet man ännu inte om paraaortal strålbehandling minskar risken för paraaortala återfall. Med stöd av Abu Rustums studier 146 148 rekommenderas idag att man avstår från paraaortal strålbehandling vid fynd av positiv portvaktskörtel på de vanligaste stationerna i obturatoriuslogen och vid iliaca externa och interna. Man anser att man kan lämna det paraaortala området obehandlat eftersom risken för återfall ännu inte har visat sig vara större för patienter som inte har fått paraaortal strålbehandling 146 148 .
Förekomst av isolerade paraaortala körtelmetastaser är ovanligt. Däremot är paraaortala körtelmetastaser oftast en del i en i övrigt spridd sjukdom där cytostatikabehandling förmodas göra störst nytta. Sammanfattningsvis förordas paraaortal strålbehandling endast i utvalda fall. Paraaortalt strålfält övervägs vid känd paraaortal spridning (till exempel bortopererad paraaortal makrometastas, bulky nodes paraaortalt) 146 .
Planering av adjuvant postoperativ ERT
Enligt gemensamma riktlinjer från RTOG, NCIC och ESTRO 162 163 vid adjuvant postoperativ strålbehandling av livmoderkroppscancer med IMRT/VMAT-teknik bör följande ingå i CTV:
Lymfkörtelstationerna vid iliaca communis, interna och externa. Inkluderande av misstänkta lymfkörtlar, lymfocele och eventuella metallmarkeringar.
Strålfältets övre gräns ska gå strax nedanför disken L4/L5.
CTV ska modifieras så att doser till skelettstrukturer, muskler, blåsa och tarm minimeras.
Presakrala körtlar ska inkluderas vid engagemang av cervix stroma och bör övervägas vid körtelmetastasering.
Tabell 4. Targetområde och targetdefinition (CTV)
|
Targetområde |
Targetdefinition – CTV |
|
Övre gräns – iliaca communis körtlar |
Från 7 mm nedanför L4/L5 ned till bifurkationen av a. iliaca communis, sedan till a. iliaca externa och interna med 7 mm marginal. Förläng bakre och laterala gränsen till psoasmuskeln och kotkroppen. CTV ska också omfatta ett |
|
Iliaca externa körtlar |
Från bifurkationsnivå av a. iliaca communis utefter till nivå med kraniala delen av caput femoris (då a. iliaca externa blir a. femoralis). 7 mm marginal. |
|
Iliaca interna körtlar |
Från bifurkationsnivå av a. iliaca communis, inkluderande dess grenar (obturatorius och hypogastricus) ned till paravaginal vävnad i nivå med vaginaltoppen. 7 mm marginal. I nivå med vaginaltoppen syns kärlen sämre, bakre gräns m. piriformis. Lateral gräns bäckenvägg. |
|
Övre vagina |
Från vaginaltoppen ned till 3 cm distalt, alternativt 1 cm ovan nedre begränsningen av foramen obturatorium (det som är mest distalt). CTV kan överlappa blåsa och rektum i medellinjen för att behålla minst 1,5 cm avstånd mellan främre och bakre CTV-gräns. |
|
Parametrier/paravaginal vävnad |
Från vaginaltoppen till mediala kanten av m. obturatorius interna/ramus ischii bilateralt. Bilda ”brygga” mellan iliaca interna-fälten med 0,5 cm marginal som kan sträcka sig in till perivesikulärt eller perirektalt fett. |
|
Presakrala körtlar |
Anteriort om S1- och S2-området (nedre gränsen S2 alternativt då m. piriformis syns väl). Rita 1,5 cm band över främre sakrum. Täck hela mesorektala området. |
|
Paraaortala körtlar |
CTV ska innefatta området från aortabifurkation till njurkärl, vilket oftast innebär att kraniala begränsningen ligger i höjd med L1–L2. CTV är kärlen med 7 mm marginal. |
Adjuvant postoperativ vaginal strålbehandling (VBT)
Postoperativ vaginal brachyterapi (VBT) har i studier visat sig förebygga isolerade vaginala återfall lika bra som extern strålbehandling men med mindre biverkningar. Dock har man inte kunnat påvisa någon förbättring av den totala överlevnaden 164. VBT kan övervägas vid vissa tillfällen, till exempel vid icke-fria resektionsränder. Behandlingen rekommenderas att starta inom 68 veckor postoperativt. Dosen ska ges till övre 2/3 delar av vagina med 0,5 cm dosspecifikationsdjup från vaginalytan. När den vaginala brachyterapin ges som singelbehandling är den rekommenderade dosen 3 Gy x 6. Vid kombinationsbehandling med ERT är den rekommenderade dosen 2,5 Gy x 4 eller 5 Gy x 2.
För närvarande rekommenderar vi endast VBT till patienter med snäva eller icke-fria resektionsränder. Tidigare given VBT kan ge upphov till svårigheter att ge kurativt syftande strålbehandling i ett senare skede om det skulle behövas.
Fertilitetsbevarande handläggning
Livmoderkroppscancer är ovanlig hos premenopausala kvinnor, endast 4 % är under 40 år 165 . Livmoderbevarande behandling i fertilitetssyfte kan i utvalda fall vara möjlig för kvinnor med EIN eller högt differentierad (grad 1) endometrioid livmoderkroppscancer utan myometrieinvasion 66 166 . Målet med livmoderbevarande behandling är att fördröja definitiv behandling med hysterektomi tills efter uppnådd graviditet och är ett avsteg från behandlingsriktlinjerna i detta vårdprogram, vilket patienten ska informeras om. Förutsättningarna är en välmotiverad patient som bedöms ha goda förutsättningar att uppnå en graviditet inom rimlig tid. Cirka 75 % svarar på behandlingen men återfallsrisken är stor (30–40 %) 167 168 . Mediantiden till återfall har angetts till 15 månader (range 4–61 månader) 168 och sannolikheten för återfall ökar kontinuerligt över tid så länge livmodern finns kvar 169.
Chansen att få barn efter fertilitetsbevarande behandling rapporteras till 21 % 170 . Assisterad reproduktion ökar chansen för graviditet (39 % vs 15 %) 167 utan att öka risken för återfall 171. Kontakt med reproduktionsmedicinskt centrum bör ske i ett inledande behandlingsskede för att bedöma och optimera patientens förutsättningar för, och typ av, sannolika reproduktionsfrämjande åtgärder. Övervikt är associerat med ett sämre behandlingssvar, en ökad återfallsrisk och ett sämre reproduktivt utfall, varför överviktiga patienter bör ges råd och hjälp till nödvändig viktnedgång 168 172 173.
Kvinnor aktuella för fertilitetsbevarande behandling bör handläggas på eller i samråd med en universitetsklinik. Den histopatologiska diagnosen ska bekräftas med hysteroskopi och granskas av referenspatolog, med angivande av grad enligt en tregradig skala. MRT eller TVS genom ultraljudsspecialist ska utföras för att utesluta myometrieinvasion. Det ska inte finnas tecken till extrauterin sjukdom, det vill säga inga förstorade lymfkörtlar eller ovariella förändringar. Portvaktskörteldiagnostik kan övervägas inför behandlingsbeslut.
Rekommenderad fertilitetsbevarande behandling är hysteroskopisk resektion följt av progesteronbehandling. Vid EIN rekommenderas progesteronbehandling i form av hormonspiral (Levonorgestrel-IUD 52 mg) 174 175 176 177.
Vid livmoderkroppscancer rekommenderas hormonspiral (Levonorgestrel-IUD 52 mg) i kombination med oralt progesteron i form av medroxyprogesteronacetat 400-600 mg/dag eller megastrolacetat 160–320 mg/dag 166 170 176 178 179, där det lägre dosintervallet kan övervägas vid kombinationsbehandling. För patienter som inte tolererar oral progesteronbehandling kan kombinationsbehandling med hormonspiral (Levonorgestrel-IUD 52 mg) och GnRH-analog utgöra ett alternativ 180. Behandlingseffekten utvärderas med hysteroskopi och riktade biopsier efter 6 månader. Om man finner ett tunt, välavgränsat endometrium vid vaginalt ultraljud kan enkel endometriebiopsi vara tillräckligt.
Målet med behandlingen är att uppnå komplett respons, definierat som frånvaro av sjukdom vid uppföljande biopsi. Vid partiell respons ses en nedgradering från EIN till hyperplasi utan atypi eller från livmoderkroppscancer till EIN 181 182. Vid partiell respons efter 6 månader kan behandlingen förlängas upp till 12 månader 166 181 183 . Därefter når sannolikheten att uppnå komplett respons en platå och längre behandling rekommenderas inte 169 181 . Efter uppnådd komplett respons rekommenderas uppföljning med TVS och endometriebiopsi var 6:e månad.
Försök att uppnå graviditet bör påbörjas så snart som möjligt efter avslutad gestagenbehandling. Underhållsbehandling med gestagen minskar risken för återfall och bör ges i de undantagsfall patienten önskar vänta med graviditet 168. Om graviditet inte uppnås på ett år (vanligen med reproduktionsfrämjande åtgärder), bör nytt samråd ske mellan patient, ansvarig tumörkirurg och reproduktionsmedicinsk specialist.
Definitiv kirurgi rekommenderas vid utebliven partiell respons efter 6 månaders behandling, vid utebliven komplett respons efter 12 månaders behandling, vid sjukdomsprogress, efter uppnådd graviditet eller när fertilitetsönskemålen inte längre kvarstår eller är rimliga.
Det saknas evidens angående säkerhet av fertilitetsbevarande behandling vid Lynchs syndrom, varför beslut om detta bör diskuteras på individuell nivå 166 .
Vid medelhögt differentierad (grad 2) endometrioid livmoderkroppscancer ses behandlingsrespons och återfallsfrekvens i nivå med högt differentierad livmoderkroppscancer, dock finns endast mycket sparsamma data 184 , varför beslut om fertilitetsbevarande behandling bör diskuteras på individuell nivå 166 . För kvinnor med stark önskan om bevarad fertilitet och goda förutsättningar för uppnådd graviditet kan möjligen en andra behandlingsomgång övervägas vid återfall, efter individuell diskussion 166 .
På grund av sämre prognos avråds från fertilitetsbevarande handläggning vid p53-muterad tumör 166.