Radioterapi för esofaguscancer
Utdrag ur NEEDS-studiens protokoll.
Fractionation schedule
Neoadjuvant chemoradiotherapy
41.4 Gy will be given in 23 fractions of 1.8 Gy, 5 fractions a week (once daily), starting the first day of the first cycle of chemotherapy. The overall treatment time should not exceed 39 days (five and a half weeks).
Definitive chemoradiotherapy
50.4 Gy will be given in 28 fractions of 1.8 Gy, 5 fractions a week (once daily), starting the first day of the first cycle of chemotherapy. The overall treatment time should not exceed 46 days (six and a half weeks).
OR alternatively: 50 Gy will be given in 25 fractions of 2 Gy, 5 fractions a week (once daily), starting the first day of the first cycle of chemotherapy. The overall treatment time should not exceed 42 days (six weeks).
Simulation
Patients should undergo CT simulation in treatment position with a slice thickness of maximum 3 mm. The upper level of the scan will include the neck up to the level of the hyoid bone. The lower level is defined by the top of the hip bones. A 4D-CT can be used according to local routines.
The use of intravenous contrast is recommended.
The gastric filling should be standardized at simulation and at each treatment according to local routines. This can be accomplished for example by not letting the patient eat or drink for at least 2 hours prior to simulation or treatment.
Positioning of the patient
Positioning of the patient will be according to local routines. Commonly the patient will be positioned in supine position with arms above the head. However, positioning with arms next to the body may be done according to local routines.
Immobilisation devices should be in accordance with the departmental policy.
Definition of target volumes
Neoadjuvant chemoradiotherapy
- Gross tumor volume (GTV)
- GTVT (primary tumor) + GTVN (involved nodes): delineated on planning CT, taking all clinical, endoscopic, and radiological information (CT thorax/abdomen, PET/CT) into account. The GTV-T include the entire circumference of the esophagus at the level of the tumor.
- Clinical target volume (CTV)
- CTVT (primary tumor) = GTVT + 3 cm cranio-caudal and 1 cm radial margin, with corrections for natural anatomic boundaries (such as the heart, lungs, skeletal structures, kidneys, and liver). This margin should be oriented along the esophageal mucosa (and not just a simple geometric expansion). In case of the tumor being located in the gastro-esophageal junction, a 2-cm distal margin of clinically uninvolved gastric mucosa is sufficient.
- CTVN (involved nodes) = GTVN + 0.5 cm in all directions, with corrections for natural anatomic boundaries.
- CTV (total) = CTVT + CTVN. Patchwork radiotherapy should be avoided, and the different target volumes should be joined together via the most probable lymphatic drainage.
- Margins for motion management based on 4D-CT is estimated according to local routines. In case 4D-CT or other robust motion management techniques are not available, the margins for motion management can be estimated to be 10 mm in the cranial and caudal direction and 3 mm in the radial directions, although the vertebral bodies should be entirely excluded. For proximal tumors, the cranial level of the CTV will not extend above the cricoid cartilage. Margins for motion management is to be included in the CTV (total).
- Planning target volume (PTV)
- According to local routines (typically 5-10 mm).
Definitive chemoradiotherapy
The same volumes are used as in neoadjuvant chemoradiotherapy with the addition of elective lymph node irradiation (ENI) (1) as described below.
- CTV (total) = CTVT + CTVN + ENI + margins for motion management in case robust motion management techniques are not used (note that the cranial level does not extend above the cricoid cartilage as described above).
- Elective lymph nodes include the following regions (see appendix “Contouring atlas: the elective lymph nodes” for details)
- Proximal tumors and tumors located in the middle of esophagus mainly above the carina:
- Supraclavicular (analogous to level 4 in head and neck-cancers) (2)
- Levels 2-4 according to IASLC staging atlas (3) at the same levels as CTVT and CTVN: Paratracheal, pretracheal, mediastinal (anterior, retrotracheal, posterior mediastinal and trachea-bronchial), paraesophageal.
- Tumors located in the middle of esophagus mainly below the carina:
- Mediastinal, paratracheal, pretracheal and para-esophageal at the same levels as CTVT and CTVN.
- Paraaortic, paracardial, commonhepatic, hepatogastric ligament, celiac.
- Distal tumors:
- Proximal tumors and tumors located in the middle of esophagus mainly above the carina:
- Paraesophageal at the same levels as CTV-T and CTV-N.
- Paraaortic, paracardial, common hepatic, hepatogastric ligament, celiac.
Normal tissue contouring
Outlining of the heart
For contouring guideline: see contouring atlas below.
Superiorly, the heart starts just inferior to the left pulmonary artery. For simplification, a round structure including the great vessels as well should be contoured. Inferiorly, the heart blends with the diaphragm. Since cardiac vessels run in the fatty tissue within the pericardium, they should be included in the contours, even if there is no heart muscle visible in that area (4).
Outlining of the lungs
The lung contours are limited to the air-inflated lung parenchyma without inclusion of the fluid and atelectasis visible on the CT image. The proximal bronchial tree should be excluded, and small sized vessels (<1 cm or vessels beyond the hilar region) should be included (5).
Outlining of the spinal cord
Only the spinal cord is to be outlined (not the spinal canal) at least 1 cm above and below the PTV or to the limit of the spinal cord.
Outlining of the kidneys
The renal pelvis is to be included.
Dose constraints
|
Structure |
Priority |
Constraints |
Description |
|
Spinal cord |
1 |
D0.1cc <45 Gy |
The dose given to 0.1 cm3 of the spinal cord should be less than 45 Gy. This constraint takes precedence over PTV coverage. |
|
Total kidneys |
2 |
V18Gy <30% Dmean <18 Gy |
The volume receiving 18 Gy should be less than 30%. The mean dose should be less than 18 Gy. Both constraints take precedence over PTV coverage. |
|
Total lungs |
3 |
Dmean <20 Gy |
The mean dose should be less than 20 Gy. This constraint takes precedence over PTV coverage. |
|
5 |
V20Gy <20% |
The volume receiving 20 Gy should be less than 20%. |
|
|
Heart |
4 |
V30Gy <30% |
The volume receiving 30 Gy should be less than 30%. |
|
Dmean <30 Gy |
The mean dose should be less than 30 Gy. |
Radiation technique
Radiotherapy will be delivered using 3D conformal radiotherapy (3DCRT), intensity modulated radiotherapy (IMRT) or volumetric arc therapy (VMAT).
Dose distribution
- 98% of the PTV should receive at least 95% of the prescribed dose. If this objective is unachievable, 95% of the PTV should receive at least 95% of the prescribed dose.
- The maximum dose within the PTV should not exceed 107% of the prescribed dose.
Treatment verification
Treatment position verification should be in accordance with individual departmental policy.
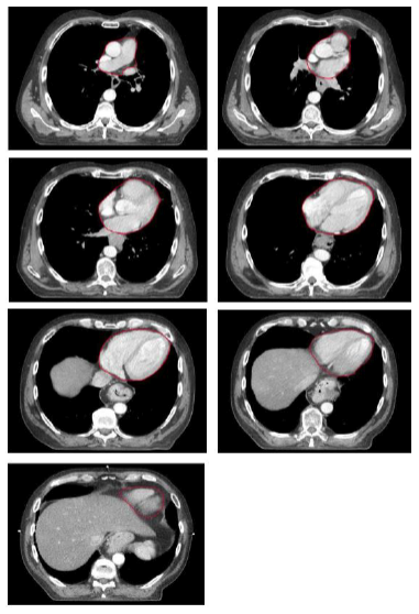
Contouring atlas: heart
Outlining of the heart
Superiorly, the heart starts just inferior to the left pulmonary artery. For simplification, a round structure to include the great vessels is contoured. Inferiorly, the heart blends with the diaphragm. Since cardiac vessels run in the fatty tissue within the pericardium, they should be included in the contours, even if there is no heart muscle visible in that area.

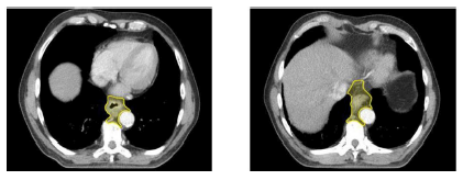
Contouring atlas: the elective lymph nodes
(Illustrated without margins for motion management)
Para-esophageal lymph nodes should be included at the levels of CTV- T and CTV-N (the upper and lower borders of the CTVT and CTVN define the cranio-caudal borders). 1-cm radial margin from the outer esophageal wall is recommended to encompass the para- esophageal lymph nodes.
Supraclavicular lymph nodes are analogous to level 4 in head and neck cancers2. The cranial border is defined by the cricoid cartilage. The anterior borders correspond to the sternocleidomastoid muscles. Cranially the posterior border is the posterior edge of the sternocleidomastoid muscle. Caudally the posterior border is the anterior edge of the scalenius muscles and the apex of the lungs. The medial limit is the medial edge of the common carotid artery. The lateral limit is defined by the lateral edge of the sternocleidomastoid muscle cranially and the lateral edge of the scalenius muscles caudally. The inferior border extends into the thoracic inlet.

Para-esophageal, paratracheal, pretracheal and mediastinal (anterior, retrotracheal, posterior mediastinal and trachea-bronchial) lymph nodes.
Above the carina, the CTV will encompass the entire trachea and extend radially to encompass the lower and upper paratracheal nodal stations which correspond to levels 2 and 4 in the IASLC staging atlas3). Above the aortic arch the anterior border of the CTV is defined by the sternum and clavicular heads to encompass pre-vascular nodes (IASLC level 3). Above the level of the thoracic inlet, the trachea should be excluded from the CTV (unless the 1 cm radial margin to the esophagus requires it).
For distal tumors in which the CTV extends superiorly to the mediastinum only to respect the cranial margin to the primary tumor or to para-esophageal lymph node metastases, the superior nodal stations except for the para-esophageal lymph nodes need not to be included.


Paraaortic, hepatogastric ligament, celiac lymph nodes.
Below the diaphragm the CTV should be extended inferiorly to the level of the origin of the celiac axis. The CTV will be bounded in the lateral aspect by the vertebral body on the right (usually Th12) and 0.5-1 cm beyond the lateral aspect of the aorta on the left, the vertebral body posteriorly and the pancreatic body anteriorly. Between the level of the gastro- esophageal junction and the celiac lymph
nodes the lesser curvature nodes will be included. In this region the liver will define the right border and the stomach will define the left border. Anteriorly the CTV includes the fatty space between the lesser curvature and the liver.

References
- Wu AJ, Bosch WR, Chang DT, Hong TS, Jabbour SK, Kleinberg LR, et al. Expert Consensus Contouring Guidelines for Intensity Modulated Radiation Therapy in Esophageal and Gastroesophageal Junction Cancer. Int J Radiat Oncol Biol Phys. 2015;92(4):911-20.
- Gregoire V, Ang K, Budach W, Grau C, Hamoir M, Langendijk JA, et al. Delineation of the neck node levels for head and neck tumors: a 2013 update. DAHANCA, EORTC, HKNPCSG, NCIC CTG, NCRI, RTOG, TROG consensus guidelines. Radiother Oncol. 2014;110(1):172-81.
- Rusch VW, Asamura H, Watanabe H, Giroux DJ, Rami-Porta R, Goldstraw P. The IASLC lung cancer staging project: a proposal for a new international lymph node map in the forthcoming seventh edition of the TNM classification for lung cancer. J Thorac Oncol. 2009;4(5):568-77.
- Feng M, Moran JM, Koelling T, Chughtai A, Chan JL, Freedman L, et al. Development and validation of a heart atlas to study cardiac exposure to radiation following treatment for breast cancer. Int J Radiat Oncol Biol Phys. 2011;79(1):10-8.
- Kong FM, Ritter T, Quint DJ, Senan S, Gaspar LE, Komaki RU, et al. Consideration of dose limits for organs at risk of thoracic radiotherapy: atlas for lung, proximal bronchial tree, esophagus, spinal cord, ribs, and brachial plexus. Int J Radiat Oncol Biol Phys. 2011;81(5):1442-57.