Bilaga 1 – Kvalitetsdokument för patologi (KVAST)
Svensk Förening för Patologi – Svensk Förening för Klinisk Cytologi |
|||
|
Dokumentnamn: Gynekologisk patologi – Gestationella trofoblastsjukdomar |
Dok.nr: |
||
|
Framtaget av: GYN-KVAST |
Utgåva: Version 1 |
Fastställt: Maj 2021 |
Sidor: 1() |
Riktlinjer för omhändertagande och besvarande av gestationella trofoblastsjukdomar utformade av KVAST (Kvalitets- och standardiseringsgruppen inom Svensk förening för Patologi).
I. Innehållsförteckning
I. Innehållsförteckning
II. Klinisk bakgrundsinformation
III. Anvisningar för provtagarens hantering av prover
IV. Anamnestisk remissinformation
V. Hantering av prover på patologlaboratoriet/Utskärningsanvisningar
VI. Analyser
VII. Rekommenderade klassifikationssystem
VIII. Information i remissens svarsdel
IX. Administrativt
a. SNOMED-koder
b. Förslag på kvalitetsindikatorer
c. Nationell högspecialiserad vård inkl. eftergranskning av patologi
X. Övrigt
a. KVAST-gruppens medlemmar
b. Klinisk organisation som granskat och godkänt dokumentet
c. Länk till nationellt vårdprogram
d. Multidisciplinär konferens (MDK)
XI. Referenser
Appendix
II. Klinisk bakgrundsinformation
Förkortningar:
|
GTD |
Gestationella trofoblastsjukdomar |
|
GTN |
Gestationella trofoblastneoplasier (tumörer) |
|
CHM |
Komplett hydatiform mola |
|
PHM |
Partiell hydatiform mola |
|
PSTT |
Placental site trofoblastic tumor |
|
ETT |
Epiteloid trofoblasttumör |
|
PSN |
Placental site nodule |
|
APSN |
Atypisk placental site nodule |
|
EPS |
Exaggerated placental site |
|
STR |
Short tandem repeat |
Gestationella trofoblastsjukdomar (GTD) består av ett spektrum av sjukdomar som beror på abnorm proliferation av trofoblastvävnad i placenta. De kan uppstå relativt snart, men även upp till många år, efter patologiska eller normala graviditeter, eller abort.
Kliniskt kan GTD indelas i benigna förändringar (exaggerated placental site (ESP) och placental site nodule (PSN)), molor (komplett hydatiform mola och partiell hydatiform mola) samt gestationella trofoblastneoplasier (GTN) (invasiv mola, koriocarcinom, placental site trophoblastic tumor (PSTT) och epiteloid trofoblasttumör (ETT)). Det har också nyligen beskrivits ett par intermediära (atypisk plancental site nodule (APSN)) och tidiga (intramolara/intraplacentala koriocarcinom) former.
De maligna formerna metastaserar framför allt till lungor följt av vagina (3,3% i Holländska registret; Vree 2013), hjärna (ca 2% i brittiska register; Savage, 2013) och lever [1]. I Holländska databasen hade 61% av patienterna med metastatisk sjukdom enbart lungmetastaser. De övriga 39% hade metastaser i andra organ eller multipla metastaser (Vree 2013, Vree 2016).
III. Anvisningar för provtagarens hantering av provet
När det gäller biopsier och skrapmaterial är det bra om det finns lokala rutiner för färskt omhändertagande av dessa vilket inkluderar omedelbar transport till patologavdelning. Detta kan möjliggöra biobankning av vävnad såväl som lättare separering av olika komponenter vid mola-frågeställning, vg se beskrivning nedan i kapitel V. Om detta inte är möjligt fixeras biopsier och skrapmaterial omedelbart i 10% neutral buffrad formalin (4% formaldehyd).
Det är bra om det på samma sätt finns rutiner för transport av färska operationspreparat från operationssalen till patologlab med särskild kompetens inom gynekologisk patologi. Om transport kan ske i god tid under samma dag då bör prov skickas direkt och ofixerat. Om operationen pågår efter labbets öppettider kan preparatet placeras i kylskåp +4 C under natten och sedan transporteras till patologlab nästa dag. Viktig är att ett preparat inte står ofixerat i rumstemperatur. Ett preparat bör inte heller stå i kylskåpstemperatur (+4 C) i mer än 12 timmar.
När det gäller operationspreparat som inte lämnas direkt till patologen bör uterus öppnas för att möjliggöra bra fixering med formalin. Om preparatet är tjockt alternativt tumören är stor (>2 cm) bör man göra snitta in i vävnaden så att formalinet kan tränga in i preparatet. Detta bör göras utan att radikalitetsbedömningen försämras.
IV. Anamnestisk remissinformation
Informationen på remissen bör vara läslig och rätt placerad enligt lokala bestämmelser.
För optimal morfologisk bedömning krävs i anamnesdelen:
- Preoperativ diagnos och frågeställning.
- Sjukhistoria
- Tidigare graviditeter (årtal) inkl. tidigare abort
- Eventuell nuvarande graviditet med uppskattad gestationsålder
- Eventuella rtg-fynd.
- Beskrivning av vilken typ av preparat som medföljer inklusive operationsmetod och preparatmärkning.
- Patologiska laboratorieprover, som t ex beta-hcg-värden
- För mola ev förekomst av blåsiga villi vid ultraljud eller i färskt skrapmaterial.
V. Hantering av prover på patologlaboratoriet/Utskärningsanvisningar
Omhändertagande av små preparat (biopsier, skrap o dyl.)
Om material inkommer färskt kan man överväga biobankning av vävnad om mängden material är tillräcklig.
Inbäddning sker enligt gängse rutiner. Materialet som bäddas bör vara fixerat i minst 24 timmar. Mycket sparsamt eller svåridentifierbart material kan centrifugeras för analys enligt cytologiska metoder (pellet, cellblock o dyl.).
Biopsi: allt fixerat material bäddas. Vid sparsamt material kan man snitta i två nivåer, därutöver är skillnader i histopatologisk bedömning viktigare än ytterligare snittning.
Skrapmaterial och hysteroskopimaterial (kodas T84): ger vanligen mer material än biopsier. Materialet kan vägas som en indikation på mängden vävnad, men då det ofta är blodigt ger det inte så mycket information.
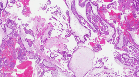
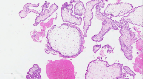
Exeresmaterial inkommer oftast med frågeställning att utesluta/bekräfta mola. Vanligen inkommer detta i formalin. Ofta är materialet tillblandat med blod/koagler. Tre olika delar av graviditetsmaterial kan försöka särskiljas: decidua, placentadelar med villi samt delar av eller fullständig gestationssäck (hinnor samt ev foster) (Fig 3 A-E). För mikroskopisk bedömning och eventuellt följande undersökningar rekommenderas att dessa i möjligaste mån bäddas separat, en kloss från varje. Om vävnaden är tillblandad med mycket blod kan materialet spolas i vatten och därefter dissekeras i vattnet i separata delar. Vanligtvis sjunker decidua ner i vattnet medan villi och gestationssäck flyter upp.
FIGUR 1: (A) Graviditetsrester, (B) Separata delar, (C) Gestationssäck, (D) Decidua, (E) Implantationsbädd
Om materialet inkommer färskt kan det läggas i koksalt för att på så sätt skilja ut villi från decidua mha ett dissektionsmikroskop. Villi är vanligen vita (kan vara rosa) med skarpt vinklade förgreningar. Om de trycks ihop försiktigt med en pincett expanderar de igen när trycket släpper. Decidua är är vanligen rosa och mindre genomskinlig än villi. Endometrievävnad/decidua kan ha glandulära och vaskulära strukturer som kan likna villi, men dessa går parallellt (inte förgrenade) och är inte lika fjädrande som villi [2].
Notera eventuell förekomst av fetal vävnad.
Vid rikligt material bäddas initialt 3 kassetter. Om frågeställning om malignitet finns och detta inte kan besvaras på enbart tre kassetter, bäddas resten av materialet. Likaså om det uppstår frågetecken kring förekomst av korionvilli eller inte bör man överväga att bädda allt material.
Omhändertagande av hysterektomipreparat (kodas T82)
Omhändertagande av hysterektomipreparat sker enligt samma principer som beskrivs i KVAST-dokumentet ”Endometriecancer”.
Vid färskt omhändertagande överväg möjligheten till biobankning om lokala rutiner för detta finns.
Ta gärna makrofoto.
Tag bitar som representerar:
- Portio /endocervix (1-2 bitar)
- 1 bit från den mest kaudala tumörväxten mot endocervix, alternativt från isthmus
- Övergång mellan tumör och omgivande endometrium samt transmuralt bit (dvs vävnadsbit omfattande serosa/parametrier) för bedömning av tumörens djupaste växt. Detsamma gäller för ex. invasiv mola och placenta creta.
- Tumör – minst tre bitar. Om misstanke om koriokarcinom bädda rikligt med bitar från tumörens periferi då centrala delar ofta består av blödning och nekros.
- Vid behov en bit med riklig tumörväxt samt intilliggande benign slemhinna, för specialanalyser (t.ex. IHC, STR-genotypning).
- Om tumör inte identifieras i uterus trots tidigare tumör i skrap – bädda hela slemhinna alt. ta bitar åt olika riktningar.
- Övriga förändringar (polyp, myom, endometrios m.m.).
- Tuba tvärsnitt nära uterus och hela fimbriedelen.
- Parametrievävnad, 1 bit per sida i avskand av avviaknde fynd eller annan extrauterin tumörspridning.
- Ovarium 1-2 bitar om makroskopiskt icke tumörengagerat.
- Vid helt omentresektat 1-2 bitar vid makroskopisk tumör, annars 4 bitar vilket räcker för att identifiera icke makroskopisk tumörspridning (Usubütün A - 2007). Från omentbiopsi tages 2 bitar.
Lymfkörtlar (separat insända); om mindre än 5 mm bäddas lymfkörteln hel, 5-10 mm bäddas minst halva lymfkörteln och från större lymfkörtlar skivas i 3 mm tjocka skivor och den mest metastassuspekta skivan bäddas. Materialet uppdelas så att antalet benigna resp. metastasbärande lymfkörtlar per insänd station kan redovisas. Om inga lymfkörtlar hittas bäddas 1-4 bitar ffa grundat på palpatoriska förändringar.
VI. Analyser
Rekommenderade rutin- och specialfärgningar
Bedömningen börjar med HE-färgning. Vid misstanke om mola rekommenderas tilläggsanalyser i form av p57 och STR genotypning samt eventuellt ploidianalys [3].
|
P57 immunohistokemi |
En analys som kan bekräfta komplett mola, men inte skilja mellan partiell mola och normal graviditet. |
|
Ploidi |
En analys som kan bekräfta en triploid graviditet, dock inte skilja mellan paternell och maternell triploidi, dvs mellan partiell mola och liknande kromosomavvikelser. |
|
STR genotypning |
En molekylär analys som kan skilja mellan paternellt och maternellt DNA, och kan ge ett definitivt svar angående andel av maternell och paternell uppsättning. Kan också skilja mellan gestationellt och icke-gestationellt koriocarcinom. |
Tidigare debuterade majoriteten av kvinnorna med mola med vaginal blödning under andra trimestern varvid en mer klassisk morfologisk bild av mola ses. Numera, tack vara serum hCG och mer utbredd användning av tidiga ultraljud, misstänks mola allt tidigare och när exeresmaterial kommer från första trimestern är de histologiska förändringarna inte lika uttalade. Diagnosen har därmed blivit svårare att reproducera [4, 5]. Såväl ”missed abortion” som olika genetiska avvikelser (bl.a. trisomier) kan ha svullna villi till följd av hydrop degeneration. Detta tillsammans med trofoblastproliferationen i en tidig graviditet kan imitera molaomvandling [6].
Baserat på histologisk diagnos har kompletta molor givit upphov till GTN i 15-20% och partiella molor i 0-4%. I ett danskt material där samtliga molamisstänkta graviditeter undersöktes såväl histologiskt som genetiskt identifierades inga triploida molor som upphov till GTN [7]. Därför rekommenderas kortare uppföljning för triploida molor än för kompletta molor, förutsatt att den patologiska diagnosen utförts lege artis.
Såväl partiella som kompletta molor kan ytterligare delas in i monospermatiska eller dispermatiska beroende på om en eller två spermier har befruktat ägget. Senare studier har visat att risken för efterföljande GTN skiljer sig mellan de olika subgrupperna av komplett mola [8-10].
Med hänsyn till ovanstående bör därför tilläggsanalyser inklusive genetisk analys inkorporeras i rutindiagnostiken.
Sedan juli 2020 har Karolinska Universitetssjukhuset i Solna uppdrag att bedriva nationell högspecialiserad vård inom området trofoblastsjukdomar. Som en del av det uppdraget kommer diagnoserna eftergranskas där och vid behov kompletteras med tilläggsanalyser såsom STR-genotypning som inte finns uppsatt på så många ställen i landet.
Således ska den primära diagnostiken ske lokalt och vid morfologisk misstanke om mola görs p57 och ploidianalys om detta finns tillgängligt, annars skickas materialet direkt till KS för utredning. Fynd som talar för mola är förlust av p57 (komplett mola) och triploid DNA-fördelning (partiell mola).
Rekommenderad immunhistokemi
P57: Cellcykel-inhibitorn och tumörsupressorn P57KIP2 är en “paternally imprinted, maternally expressed” gen som sitter på kromosom 11. Dess protein är därmed underuttryckt i cytotrofoblaster och stromala celler i villi som endast innehåller paternellt genom (kompletta molor). Färgningen kan därmed hjälpa till att skilja kompletta molor från partiella molor och hydropa aborter som har normal biparental genuppsättning. Infärgning i villis yttersta cellager med syncytiotrofoblaster är dock alltid negativ medan implantationstrofoblaster, intervillösa trofoblastproliferationer och decidua fungerar som positiva interna kontroller.
Sällsynta undantagsfall med svårtolkat p57-utfall finns:
- Enstaka villi med p57-positiva cytotrofoblaster (<10% i ett snitt) i ett i övrigt negativt utfall accepteras och ska bedömas som negativ.
- Morfologisk komplett mola men bibehållen (aberrant) p57-färgning. Ex på dessa är fall med trisomi av kromosom 11 med en bevarad maternell kromosom.
- Det finns även beskrivet diskordant p57-utfall med positivitet i stromala celler men inte cytotrofoblaster eller tvärtom, dessa kan vara utslag av mosaiscism och bör också utredas vidare med STR-genotypning.
- Divergent p57-mönster innebär en p57+ och en p57-negativ komponent vilket ex kan utgöra en tvillinggraviditet med en komplett mola och en icke-molar konception, men kan också ses tillsammans med diskordant mönster vid mosaicism.
Tveksam morfologi, svårbedömbar immunhistokemi och även avvikande infärgningsmönster med p57 bör undersökas vidare med STR-genotyping.
Trofoblastmarkörer: Inhibin, calretinin, CD146 (Mel-Cam) är generella trofoblastmarkörer. Inhibin är en av de känsligaste. Utöver ovanstående är trofoblaster positiva för keratiner, GATA3 och EMA. Trofoblaster kan ytterligare indelas i specifika typer enligt följande tabell:
|
|
hCG |
hPL |
P63 |
CK18 |
CD146 |
CyclinE |
MUC-4 |
|
Cytotrofoblast |
- |
- |
++++ |
+++ |
- |
++ |
- |
|
Syncitiotrofoblast |
++++ |
++++ |
- |
+++ |
- |
- |
+ |
|
Villös intermediär trofoblast |
- |
+ |
- |
? |
++ |
+++ |
++++ |
|
Implantation intermediär trofoblast |
+/- |
+++ |
- |
+++ |
++++ |
++++ |
++++ |
|
Chorionic laeve intermediate trophoblast |
+/- |
+ |
++++ |
+++ |
+ |
+ |
- |
Table 2.1 (Hui 2012)
Specialanalyser
Ploidianalys
Kan göras genom bildanalys, flödescytometri eller FISH-analys. Bland dessa rekommenderas i första hand bild- eller flödescytometri där man får översikt över den totala mängden DNA.
Kompletta molor har vanligen en diploid DNA-uppsättning, medan partiell mola har en triploid uppsättning. Det finns dock även histologiskt mola-liknande graviditeter med avvikande kromosomuppsättning t ex trisomier och andra ploidier än de nämnda, bl a mosaiker med varierande kromosomuppsättning inom samma individ vilket kan komplicera tolkning av ploidi. Sällsynta fall av tetraploida partiella molor förekommer också.
Vävnadsgenotypning (STR-genotypning)
Som nämnts ovan kan, och bör, den genetiska profilen identifieras mha STR (short tandem repeats)-genotypning som går ut på att jämföra olika loci i DNA mellan två eller flera individer (i detta fall mellan maternell normalvävnad såsom decidua och villi/tumörvävnad). Short tandem repeats är mikrosatelliter, dvs DNA-sekvenser med repetitiva nukleotidsekvenser, vilka varierar mellan individer och kan därför användas för genotypning. Detta kan göras på paraffininbäddat material [11, 12] McFadden 2002).
STR-genotypning rekommenderas för alla mola-fall, dels för att bekräfta partiella molor och därmed utesluta andra orsaker till triploid bild såsom “digynic monoandric” (två maternella och en paternell allel) triploidi, trisomier och paternell UPD (uniparental isodisomi) av kromosom 11 och därmed undvika onödig uppföljning, men även för subtypning och bättre riskvärdering avseende persisterande trofoblastsjukdom/post-molar GTN.
STR används i följande fall:
- För att bekräfta triploid partiell mola.
- Subtypning av såväl partiell som komplett mola i homozygota (monospermatiska) respektive heterozygota (dispermatiska).
- Svårvärderad ploidianalys ex bred/spretig kurva, ”mittemellanvärde” ex 2,5 där mola inte kan uteslutas.
- Skilja gestationell trofoblasttumör från icke-gestationell tumör.
- Identifiera misstänkt ärftlig komplett mola (p57- och biparental).
- Skilja återfall av CHM från en ny CHM.
- Utvärdera avvikande p57-infärgningsmönster
Felkällor: Svårigheter med dissektion av ren villös vävnad [13].
Figur 2: STR-genotypning icke-mola.
Överst ses maternella alleler och underst villösa alleler. I detta exempel ses i samtliga loci en villös allel som matchar den maternella och i två loci (vänster och höger) en allel som inte matchar = paternell. I mitten-locit ses i villi både den maternella och den paternella allelen slumpmässigt på varandra (en anledning till varför det är viktigt att jämföra flera loci!). Liknande utfall skulle ses i ett gestationellt koriokarcinom som uppkommit efter fullgången icke-molar gestation, medan ett icke-gestationellt koriokarcinom inte skulle uppvisa några paternella alleler.
Figur 3: STR-genotypning partiell mola.
Överst ses maternella alleler och underst villösa alleler. I samtliga loci ses en villös allel som matchar en av de maternella. I två loci (vänster och mitten) ses till synes en paternell allel. Denna är dock dubbelt så hög som den maternella och utgörs av två paternella alleler på varandra. Hade det bara funnits dessa skulle bilden vara förenlig med monospermatisk partiell mola (ovanligt!). I det här fallet finns det dock i det högra locit två paternella alleler (matchar inte de maternella) och dessa utgör bevis för dispermatisk konception.
Figur 4: STR-genotypning komplett mola.
Överst ses maternella alleler och underst villösa alleler. I samtliga tre villösa loci ses en allel som inte matchar den maternella och som utgör en paternell allel. Således ses enbart paternellt genom och bilden är förenlig med en monospermatisk komplett mola. En dispermatisk komplett mola skulle åtminstone i något loci uppvisa två separata paternella alleler.
VII. Rekommenderade klassifikationssystem
1.1 Benigna förändringar
Placental site nodule and plaque
Benign, väl-avgränsad härd eller plaque bestående av hyaliniserad stromavävnad med intermediära trofoblaster av korionbladtyp. Oftast bifynd i endometrie- eller endocervikalt skrap. Storlek <5 mm. Histologiskt kan man se central nekros. Fokal atypi kan påvisas, dock är kromatinet ofta oskarpt. Kan vara multipla.
Immunhistokemi:
- Ki67: Låg proliferativ aktivitet <8%.
- Positiv reaktion med antikroppar mot p63.
- Till skillnad från epitelioid trofoblasttumör ser man negativ cyklin E reaktion samt negativ CD146 (Mel-CAM) [13].
- Positivitet för GATA3, Inhibin, hPL, CK, CD10 och EMA.
Atypisk PSN (APSN)
Nyligen beskriven trofoblastlesion som morfologiskt ligger mellan PSN och ETT.
Mikroskopiskt 5-10 mm stora nodulära välavgränsade härdar. Jämfört med PSN ses ökad cellularitet, mer uttalad atypi, ökad mitotisk aktivitet och Ki67 index mellan 8-10%. Ännu finns dock inga fastställda diagnostiska kriterier för APSN.
Då denna lesion har beskrivits som en prekursorlesion till ETT och då det finns dokumenterade fall av transformering till malign tumör bör dessa patienter utredas med radiologi samt följas kliniskt med s-hCG.
Immunhistokemisk profil som för PSN. Dock har ett fåtal fall rapporterats positiva för Cyklin E.
Exaggerated placental (implantation) site (EPS)
Icke-neoplastisk reaktiv och överdriven implantationsprocess som kan ses såväl vid normal graviditet som vid mola. Den kan ffa i skrap vara svår att skilja från PSTT då de uppvisar likartad histologisk bild inklusive infiltrativt mönster, atypi och kärlinvasion. EPS syns sällan makroskopiskt.
Mikroskopiskt ses intermediära implantationstrofoblaster i endometriet och ytliga myometriet. Dessa kan vara uttalat atypiska med riklig eosinofil cytoplasma. De växer runt endometriekörtlar och muskelfibrer, men destruerar ej vävnaden och normal endo-/myometriearkitektur bibehålls. Vanligen ses jämnt distribuerade multinukleära celler. Det ses även inflammatoriska celler, glatt muskelceller, decidua, fibrinoitt material samt villi.
Immunhistokemi:
- Implantationstrofoblasterna ses positiva för GATA3, hPL och CD146 (Mel-CAM)
- Låg/ingen proliferation med Ki67 <1% (viktigt att inte räkna prolifererande lymfocyter!).
VII.I Komplett mola hydatidosa
Komplett mola är genetiskt diploid med allt kärn-DNA av paternellt ursprung (undantag ärftliga molor som är biparentala).
Mikroskopiskt ses i typiska fall en väl utvecklad hydatiform omvandlig av samtliga villi med ödem och cisternbildning samt cirkumferent trofoblasthyperplasi med cytologisk atypi. (Jeffers 1996)
Tidig komplett mola (första trimestern) kan ha mindre uttalade förändringar:
- Klubbformade/klumpiga villi av normal storlek
- Cellulärt myxoitt stroma med karyorrhexis
- Apoptoser av stromala celler
- Lätt-måttlig trofoblasthyperplasi, vanligen åtminstone ställvis cirkumferent
Foster, navelsträng och amnionhinna förekommer ej. Vaskulära korionvilli kan återfinnas i tidiga fall eftersom kapillära kärl i korionvilli utvecklas oberoende av fetal blodcirkulation, men fostret går under före etablering av fungerande cirkulation.
Vid CHM ses proliferation i villösa trofoblaster och (framför allt) i extravillösa trofoblaster, men ej i implantationsceller eller syncytiotrofoblaster. Proliferationsnivån resp. grad av pleomorfism ger ingen skillnad i prognos [14].
Kompletta molor uppkommer vanligen (80% av fallen) genom att en äggcell som förlorat sitt nukleära DNA befruktas med en spermie vilken sedan dubblerar sitt kromosomtal (endoreplikation), varför dessa molor är homozygota (karyotyp 46,XX). Cirka 20% av diploida androgenetiska molor är i stället heterozygota och anses ha uppkommit genom att en äggcell utan kärn DNA befruktas av två spermier (karyotyp 46,XX eller 46,XY (celler med 46,YY är inte viabla)). Allt DNA i kärnan kommer från fadern, medan DNA beläget cytoplasmatiskt och i mitokondrierna kommer från modern [15].
Bristen på maternellt kärn-DNA gör att p57 är underuttryckt (negativ) i kompletta molor [4].
Representativa bilder av morfologi och p57 utfall visas i Figur 1A-C.
Morfologiskt och immunhistokemiskt kan homozygota och heterozygota kompletta molor inte särskiljas. Som tidigare nämnts skiljer sig dock risken för persisterande trofoblastsjukdom för de olika subgrupperna åt varför dessa bör kartläggas med STR-genotypning.
Hereditär mola: Man har iakttagit att det i vissa familjer finns en överrepresentation av molor. Detta har lett till att man har kunnat identifiera en ny typ av mola. Den är komplett, diploid, med både paternellt och maternellt kromosomalt DNA (biparental). Hos en del kvinnor kan ansamlingen bero på en autosomalt recessiv predisposition, där kvinnan är bärare av mutationer i genen NLRP7 [16]. Några fall med mutationer i KHDC3L har även identifierats [17]. Resultatet tycks bli att huvudsakligen gener från paternellt DNA uttrycks (Williams 2010). Dock är den exakta mekanismen ofullständigt känd, och det finns sannolikt fler, ännu ej identifierade, gener som orsakar hereditär mola, varför dessa patienter bör diskuteras med klinisk genetiker inför ställningstagande till eventuell molekylärgenetisk utredning.
FIGUR 5. (A) Komplett mola, (B) Trofoblastproliferation kring korionvilli, (C) Ingen infärgning av p57 i korinovillis stroma och trofoblaster



VII.II Partiell mola hydatidosa
Partiella molor är i stort sett alltid genetiskt triploida (Niemann 2007) med fokal hydatiform omvandling av placentavilli och spår av eller förekomst av foster, som dock oftast går under i tidig graviditet. Vid partiell mola förekommer en fungerande villös cirkulation med förekomst av kärnförande erythrocyter [4, 18, 19].
Mikroskopiskt ses
- Två storlekspopulationer av villi. Omväxlande förstorade ödematösa (inte så rundade som vid komplett mola) resp. små, ofta fibröst omvandlade villi som vid ”missed abortion”.
- En del av villi har cisterner, dock mindre prominenta än vid komplett mola.
- Vågiga, oregelbundna villiformer, ibland med trofoblastiska invaginationer som bildar körtelrörslikande formationer/pseudoinklusioner i tvärsnitt.
- Trofoblasthyperplasin är mindre uttalad och ibland multifokalt distribuerad snarare än äkta cirkumferentiell med lite eller ingen atypi jämfört med komplett mola.
- Ofta påvisas flertalet villösa kärlstrukturer vilka ibland ses dilaterade “angiomatoida”.
- Ev. foster/fosterdelar kvar, kärnförande erythrocyter kan ses under v. 8-12.
Liksom vid komplett mola kan de histologiska förändringarna vara mindre uttalade vid tidig graviditet (första trimestern). Vid tidiga fall kan följande fynd ses [20, 21]:
- oregelbundna korionvilli
- ibland diffus fibros av villi-stroma snarare än cisternbildning
- pseudoinklusioner
>95% av alla partiella molor uppkommer genom att en äggcell befruktas av två spermier (dispermatisk/heterozygot). Resterande fall uppkommer genom reduplikering av den paternella kromosomuppsättningen pga misslyckad meios I eller II efter fertilisering av ett ägg med en spermie (monospermatisk/homozygot). I båda fallen finns således en maternell och två paternella haploida kromosomuppsättningar. Sällsynta fall med tetraploida partiella molor med tre paternella haploida kromosomuppsättningar har beskrivits.
Då partiella molor innehåller såväl maternellt som paternellt genom utfaller p57 positiv i villösa stromala celler och villösa cytotrofoblaster.
Som tidigare beskrivits under kapitlet Specialanalyser bör diagnosen partiell mola bekräftas med STR-genotypning för att utesluta andra orsaker till mola-liknande histologi och/eller triploid DNA-fördelning.
FIGUR 6. (A) PM med varierande korionvilli, (B) Trofoblastproliferation kring korionvilli och cisternbildning, (C) Positiv p57 i stromat och trofoblaster i korionvilli.



FIGUR 7: Bildcytometrisk flödescytometri vid partiell mola med triploid kromosomuppsättning.

Differentialdiagnostik: Tvillinggraviditeter med en komplett mola och en normal konception kan likna partiell mola morfologiskt med två populationer av villi. Även aneuploid placenta eller placenta med strukturell kromosomavvikelse inkluderande trisomier kan mikroskopiskt likna partiell mola, men saknar trofoblastproliferation. Placentär mesenkymal dysplasi är ett ovanligt tillstånd av mesenkymal vaskulär missbildning som drabbar stamvilli men saknar den partiella molans oregelbundna villi med trofoblastinklusioner [13].
VII.III Invasiv mola
Makroskopiskt ter sig detta oftast som ett invasivt hemorragiskt nodulus och perforationsrisk finns. Hydropa villi (blåsor) kan ses. Histologisk diagnos kan inte ställas på endometrieskrap enbart, utan material från hysterektomi alt. material från extrauterin spridning, t.ex. lungbiopsi, behövs för att verifiera den invasiva tendensen. Detta är den näst vanligaste formen av GTN och ses efter komplett mola i 10-15% [22].
Majoriteten av fallen inträffar inom 6 månader efter utrymning av en mola. I 20-40% ses extrauterin spridning, ex vaginala metastaser. Enstaka lungmetastaser på upp till 2 cm kan förekomma, men andra metastaslokaler är sällsynta. Cellerna har således metastatisk kompetens, men tillväxtregleringen fungerar fortfarande. En invasiv mola är ofta självläkande, men 3-4% har rapporterats utvecklas till koriocarcinom.
Mikroskopiskt karaktäriseras den invasiva molan av myometrieinvasion och/eller kärlinvasion alt. extrauterin lokalisation av villi uppvisande molara förändringar beskrivna ovan. Den bibehåller villösa strukturer både i primärtumör och eventuella metastaser till skillnad från andra gestationella maligniteter. Den hydropa svullnaden är mindre uttalad. Vid sparsam förekomst av villi finns risk för felaktig koriocarcinomdiagnos, varför det kan vara indicerat att bädda allt material. Andra histologiska differentialdiagnoser är placenta increta eller percreta.
VII:IV Koriocarcinom
Gestationellt koriocarcinom ses ofta makroskopiskt som relativt välavgränsade hemorragiska noduli i myometriet, ev ut i kaviteten. Dessa uppvisar en mörkröd snittyta med varierande mängd nekros. Tumören kan även uppstå i cervix eller tuba samt infiltrera djupt och orsaka perforation. Cellerna är högmaligna med snabb tillväxt och mycket uttalad metastaseringstendens varför patienten kan debutera med blödning i metastaslokal.
Mikroskopiskt ses ofta extensiv central blödning och nekros med ett bräm av tumörceller runt om. Tumören bildar inget eget stroma eller egna kärl (saknar autoangiogenes), därför ses i stället prominent destruktiv kärlinvasion, ofta med tumörtromber och blodfyllda lakuner som följd. Många bitar kan behövas från den perifera kanten p.g.a. den dominerande blödningen.
Tumörcellerna uppvisar ett bifasiskt mönster bestående av såväl cyto- som syncytiotrofoblaster (måste finnas) samt varierande, men oftast lågt, antal intermediära trofoblaster (närvaro av dessa medför ibland beskrivning av trifasiskt mönster). Den ena komponenten kan dominera och vid mer monomorf bild med dominerande mononukleära celler kan dessa simulera lågt differentierad cancer. Vanligen signifikant cellatypi, ibland uttalad/bisarr sådan med klumpigt, ojämnt kromatin och tydliga nukleoler samt många mitoser, ofta atypiska sådana.
P.g.a. hypersekretion av hCG ses ofta i bakgrunden deciduaomvandling och Aria Stella-fenomen samt förstorade ovarier med theca-luteincystor.
Koriocarcinom saknar till skillnad från invasiv mola villösa strukturer, se dock undantag nedan.
Diagnosen kan vara svår i skrapmaterial och endast ca 40% av fallen kan diagnosticeras i den typen av material.
Koriocarcinom uppkommer vanligast från en komplett mola (50%), men kan också uppkomma efter normal graviditet (22,5%) (i enstaka fall efter mycket lång tid), spontan eller indicerad abort (25%) eller ektopisk graviditet (2,5%).
Immunhistokemi: Alla celler är strikt cytokeratin+. Diffus hCG+ (ses sällan eller aldrig i andra tumörer än koriocarcinom). Ca 50% av cellerna är PLAP+. Ibland EMA+ till skillnad från embryonal cancer, seminom och gulesäckstumör. Proliferationen är vanligen hög (>90%).
Intraplacentala koriocarcinom finns beskrivna i fullgångna placentor och kan makroskopiskt se ut som hemorragiska infarkter. Dessa uppvisar annorlunda genetik med biparental profil.
Det finns också tidiga koriocarcinom i form av intramolara koriocarcinom som kan återfinnas i skrapmaterial i vilket det ses bild som vid komplett mola tillsammans med en atypisk bi-/trifasisk intervillös trofoblastproliferation som simulerar koriocarcinom.
I mycket sällsynta fall bildas koriocarcinom ”de novo” i ovariet och möjligen i andra lokaler; sk icke-gestationellt koriocarcinom [23, 24]. Dessa differentierar från somatiska celler och kan inte morfologiskt skiljas från gestationella koriocarcinom, men det innehåller inget paternellt genetiskt material vilket kan undersökas med STR-genotypning. Ofta ses också ett adenocarcinom eller en könscelltumörkomponent i samma tumörområde. Dessa är viktiga att särskilja, då de har betydligt sämre prognos och kan kräva annan behandling [25-27].
Övrigt: Syncytiotrofoblaster ses ibland i andra tumörer, ex. blandade icke-gestationella könscellstumörer.
VII:V Placental site trofoblastic tumör (PSTT)
PSST består huvudsakligen av trofoblaster som stammar från extravillösa intermediära implantationstrofoblaster. Denna tumörform innehåller, till skillnad från koriocarcinom, få multinukleära syncytiotrofoblaster vilket kan förklara den vanligen låga till obefintliga hCG-produktionen. Differentialdiagnosen kan ibland vara svår gentemot sarkom, särskilt leiomyosarkom. Om man med molekylärbiologiska metoder kan påvisa paternellt DNA kan sarkom uteslutas. De flesta fallen föregås av en fullgången graviditet som kan ligga några månader till många år tillbaka i tiden. 90% uppträder med benignt förlopp medan 10% är högmaligna och svårbehandlade. Hysterektomi bör göras tidigt i förloppet. De högmaligna varianterna förefaller mindre cytostatikakänsliga än koriocarcinomen. Oftast är diagnosen lätt i hysterektomipreparat, men svår i skrapmaterial.
Makroskopiskt involverar PSTT vanligen endomyometriet och ses som välavgränsad nodulär lesion med vitgul snittyta. Djup myometrieinvasion ses i ca 50%. Ca 50% uppvisar fokal blödning och nekros [28].
Mikroskopiskt uppvisar PSTT en monofasisk bild med aggregat av intermediära trofoblaster som infiltrerar mellan muskeltrådar (inte bara mellan buntar) i stråk liknande en normal implantation. Tumörcellerna uppvisar pleomorfism, ofta uttalad atypi. Vanligen ses mellan 2-4 mitoser/10 hpf. Spridda mångkärniga celler som kan likna syncytiotrofoblaster förekommer. Utbredd deposition av fibrinoitt material är karaktäristiskt liksom invasion av blodkärlsväggar i periferin av tumören där tumörceller kan ersätta hela blodkärlsväggen. Tumören är sällan hemorragisk. Vanligen finns inga villi, men deciduaomvandling och Aria-Stella fenomen kan ses.
Immunhistokemi: GATA3+, hPL+, MUC4+, MelCam (CD146)+, CK18+, pancytokeratin+. hCG och Inhibin fokalt + huvudsakligen i multinukleära celler. Proliferationen med Ki67 är <5%, ofta 10-30%[29].
Differentialdiagnoser:
- Exaggerated placental site reaction: se avsnitt benigna förändringar.
- ETT: se nedan. Delvis annorlunda morfologi och även olika immunprofiler.
- Koriocarcinom: den relativa proportionen av hCG och hPL kan hjälpa om morfologin inte är tillräcklig.
- Lågt differentierad cancer med trofoblastdifferentiering: åtskiljs genom identifiering av carcinomkomponent och påvisande av paternellt DNA.
- Epiteloitt leiomyosarkom: uttryck av hPL, CK och muskelmarkörer skiljer sig.
VII:VI Epitelioid trofoblasttumör (ETT)
Mest ovanliga formen av alla GTN. Utgår från intermediära trofoblaster i korionbladet (Shih 1998). Ca ⅔ uppkommer efter fullgången graviditet och ca 16% vardera från abort respektive mola. Latensen varierar mellan 1-15 år. Ca 50% uppstår i cervix eller nedre uterina segmentet. 25% metastaserar postoperativt. Ca 80% uppvisar låg-måttlig hCG-stegring.
Makroskopiskt nodulär tumör med fokal infiltration i periferin. Vitgul-brun snittyta med varierande grad av blödning och nekros.
Mikroskopiskt ses välavgränsad proliferation av uniforma/monomorfa mononukleära trofoblaster. Cellerna uppvisar fingranulerad eosinofil till klar cytoplasma, distinkta cellmembran och små nukleoler. 0-9 mitoser/10 hpf, medel 2. Apoptotiska celler diffust förekommande. Karaktäristiskt är påvisandet av eosinofilt, hyalinliknande material centralt i tumörnästen som kan simulera keratin samt geografisk, ofta utbredd nekros. I kanten av tumören ses ofta spridda decidualiserade stromaceller. I cervix kan tumörcellerna infiltrera epitelet och ge intryck av höggradig intraepitelial skivepitellesion. (Shih 1998)
Immunhistokemi: p63+, cyklinE+, GATA3+, EMA+, E-cadherin+, inhibin+ (20-80%). Trofoblastmarkörer som hPL, hCG och MelCam (CD146) är endast fokalt positiva. Ki67-index >10 [30].
Differentialdiagnoser:
- PSN; se avsnitt benigna förändringar.
- PSTT; ETT dock mindre celler, mindre atypi och mer nodulärt växtmönster. PSTT är diffust hPL och MelCAM+.
- Keratiniserande SCC; STR genotypning med påvisande av paternellt DNA hjälper.
VIII. Information i remissens svarsdel
Förslag till svarsmall hysterektomi
MAKRO, uterus
Preparat – Ex. Hysterektomi med bilateral tubor och ovarier + mått
Tumör, utbredning - (storlek, polypös/infiltrerande/serosaengagemang)
Övriga makroskopiska fynd –
MIKRO, uterus
Tumörtyp
Omgivande endometrium -
Invasionsdjup -
Kärlinväxt -
Växt i cervixstromat – (vid uppenbar växt i rutinhistologi)
Växt i parametrier –
Övrigt – ev. ytterligare beskrivning, hyperplasi m.m.
Adnexae – ev. separat, makro + mikro
Lymfkörtlar - makro + mikro, antal metastasbärande lymförtlar resp. totalt antal lymfkörtlar per station.
Oment - makro + mikro
Px - makro + mikro
Övrigt – Fri text
|
Tabell: Stadieindelning för trofoblasttumörer (FIGO 2000) |
|
|
Stadium I |
Sjukdom begränsad till uterus. |
|
Stadium II |
Trofoblasttumören växer utanför uterus men är begränsad till genitalorganen (adnexa, vagina, breda ligamenten). |
|
Stadium III |
Trofoblasttumören utbredd till lungorna med eller utan utbredning till genitalorganen. |
|
Stadium IV |
Andra metastaslokaler. |
IX. Administrativt
a. SNOMED-koder
SNOMED
Kodningen följer World Health Organization Classification of Tumours of Female Genital Tract, 5:e utgåvan.
T-koder
T88000 Placenta
T82000 Uterus (hysterektomi)
T83000 Cervix
M-koder
M91000 Komplett mola (O01.0)
M91030 Partiell mola (O01.1)
M91001 Invasiv mola (D39.2A)
M91003 Koriokarcinom(C58.9)
M91041 Placental site trophoblastic tumor (D39.2C)
OBS! Trots att koden slutar med “1” bör den canceranmälas.
M91053 Trofoblastisk tumör, epiteloid (D39.2)
Molor där uppgift om subtyp saknas (komplett eller partiell) kodas under 91000 (O01.9).
b. Kvalitetsindikatorer:
- T SNOMED koder från ovanstående diagnoser.
- Antal fall som har bekräftats med tilläggsanalyser ( p57-färgning, ploidi, genotypning).
c. Nationell högspecialiserad vård inkl. eftergranskning av patologi
- Sedan 2020 har Karolinska Universitetssjukhuset, Solna, ett uppdrag att bedriva nationell högspecialiserad vård för trofoblastsjukdomar, ett sk NHV-uppdrag. Mer information om vad det innebär finns här:
- https://medlem.foreningssupport.se/foreningar/svfpse-20201201_nhv_trofoblastsjukdomar
- Eller
- https://www.karolinska.se/for-vardgivare/tema-cancer/backencancer/trofoblastsjukdomar/information---patologi/
- Trofoblastsjukdom - Karolinska Universitetssjukhuset
I det uppdraget ingår att alla vävnadspreparat som har diagnosticerats med en trofoblastsjukdom (molor, tumörer), eller fall där trofoblastsjukdom inte kan uteslutas av patolog på hemsjukhuset, ska eftergranskas vid Klinisk patologi och cancerdiagnostik, Karolinska Solna. Vid denna eftergranskning kommer diagnosen vid behov preciseras med tilläggsanalyser såsom STR som i dagsläget bara finns på ett fåtal ställen i landet. För att spara tid kan ansvarig patolog redan vid diagnos skicka fallet (alla glas + klossar) till KS Solna på följande adress:
Karolinska Universitetssjukhuset
Radiumhemmet P1:02
Klinisk patologi och cytologi
ATT: NHV-centrum för trofoblastsjukdom: patologienhet
171 76 Stockholm
X. Övrigt
a. KVAST-gruppens medlemmar
De som har framtagit och skrivit dokument markeras med (*).
Uppdaterat adressuppgifter finns på Svensk Förening för Patologis webbplats, under KVAST och Gynekologisk patologi.
Sammankallande:
Sofia Westbom Fremer, Lund (sofia.westbom-fremer@skane.se)
Övriga Gyn KVAST medlemmar (2021):
(*)Sandra Wessman, Solna, sandra.wessman@regionstockholm.se
Malin Båtsman, Norrlands universitetssjukhus, Umeå, malin.batsman@regionvasterbotten.se
Henrik Edvardsson, Centralsjukhuset, Karlstad, henrik.edvardsson@liv.se
Eva Lundin, Norrlands universitetssjukhus, Umeå
eva.lundin@medbio.umu.se
Constantina Mateoiu, Sahlgrenska universitetssjukhuset, Göteborg, constantina.mateoiu@vgregion.se
(*) Anna Måsbäck, Skånes universitetssjukhus, Lund, Anna.Masback@skane.se
Angeliki Papagiannopoulou, Linköpings universitetssjukhus, Linköping
Angeliki.Papagiannopoulou@regionostergotland.se
Annika Patthey, Norrlands universitetssjukhus, Umeå, annika.patthey@medbio.umu.se
Diana Taslica, Uppsala, diana.lizuca.taslica@akademiska.
Josefin Severin Karlsson, Solna, josefin.severin-karlsson@regionstockholm.se
b. Klinisk organisation som granskat och godkänt dokumentet
Svensk förening för patologi. Dokumentet är även förankrat i den nationella vårdprogramsgruppen och ingår som bilaga till vårdprogrammet Gestationella Trofoblastsjukdomar. Delar av texten utgör också själva vårdprogrammet.
c. Länk till nationellt vårdprogram
d. Multidisciplinär konferens (MDK)
Karolinska Universitetssjukhuset som ansvarar för den nationella högspecialiserade vården arrangerar multidisciplinära konferenser. Mer information samt möteslänkar finns på följande länk: https://www.karolinska.se/for-vardgivare/tema-cancer/backencancer/trofoblastsjukdomar/ under fliken "Aktuellt".
XI.
Artiklar:
Handböcker:
Appendix
VIKTIGA PUNKTER:
- Histopatologisk diagnos med komplett resp. partiell mola ska bekräftas med tilläggsanalyser (immunohistokemi mot p57 respektive ploidi/genetik) i samtliga fall, med undantag för fall där materialet inte räcker till. Diagnostik baserad enbart på morfologisk bedömning är ofta opålitlig.
- Histopatologisk diagnos av maligna trofoblastsjukdomar (choriocarcinom, PSTT, etc) bör göras i samarbete med lab inom klinisk patologi, med särskilt intresse för GTN.
Referenser
- Horowitz NS, Goldstein DP, Berkowitz RS. Management of gestational trophoblastic neoplasia. Seminars in oncology. 2009;36(2):181-9.
- Lester S. Manual of surgical pathology: expert consult2010.
- Xing D, Adams E, Huang J, Ronnett BM. Refined diagnosis of hydatidiform moles with p57 immunohistochemistry and molecular genotyping: updated analysis of a prospective series of 2217 cases. Modern pathology : an official journal of the United States and Canadian Academy of Pathology, Inc. 2021;34(5):961-82.
- Fukunaga M. Immunohistochemical characterization of p57(KIP2) expression in early hydatidiform moles. Human pathology. 2002;33(12):1188-92.
- Vang R, Gupta M, Wu LS, Yemelyanova AV, Kurman RJ, Murphy KM, et al. Diagnostic reproducibility of hydatidiform moles: ancillary techniques (p57 immunohistochemistry and molecular genotyping) improve morphologic diagnosis. The American journal of surgical pathology. 2012;36(3):443-53.
- Buza N, Hui P. Partial hydatidiform mole: histologic parameters in correlation with DNA genotyping. International journal of gynecological pathology : official journal of the International Society of Gynecological Pathologists. 2013;32(3):307-15.
- Niemann I, Hansen ES, Sunde L. The risk of persistent trophoblastic disease after hydatidiform mole classified by morphology and ploidy. Gynecologic oncology. 2007;104(2):411-5.
- Baasanjav B, Usui H, Kihara M, Kaku H, Nakada E, Tate S, et al. The risk of post-molar gestational trophoblastic neoplasia is higher in heterozygous than in homozygous complete hydatidiform moles. Human reproduction. 2010;25(5):1183-91.
- Khawajkie Y, Mechtouf N, Nguyen NMP, Rahimi K, Breguet M, Arseneau J, et al. Comprehensive analysis of 204 sporadic hydatidiform moles: revisiting risk factors and their correlations with the molar genotypes. Modern pathology : an official journal of the United States and Canadian Academy of Pathology, Inc. 2020;33(5):880-92.
- Zheng XZ, Qin XY, Chen SW, Wang P, Zhan Y, Zhong PP, et al. Heterozygous/dispermic complete mole confers a significantly higher risk for post-molar gestational trophoblastic disease. Modern pathology : an official journal of the United States and Canadian Academy of Pathology, Inc. 2020;33(10):1979-88.
- Furtado LV, Paxton CN, Jama MA, Tripp SR, Wilson AR, Lyon E, et al. Diagnostic utility of microsatellite genotyping for molar pregnancy testing. Archives of pathology & laboratory medicine. 2013;137(1):55-63.
- Szulman AE, Surti U. The syndromes of hydatidiform mole. II. Morphologic evolution of the complete and partial mole. American journal of obstetrics and gynecology. 1978;132(1):20-7.
- Mutter GL, Prat J. Pathology of the female reproductive tract (Expert consult). Third edition, Kindle Edition. Mutter GL, Prat J, editors2014.
- Jeffers MD, Richmond JA, Smith R. Trophoblast proliferation rate does not predict progression to persistent gestational trophoblastic disease in complete hydatidiform mole. International journal of gynecological pathology : official journal of the International Society of Gynecological Pathologists. 1996;15(1):34-8.
- Lawler SD, Pickthall VJ, Fisher RA, Povey S, Evans MW, Szulman AE. Genetic studies of complete and partial hydatidiform moles. Lancet. 1979;2(8142):580.
- Murdoch S, Djuric U, Mazhar B, Seoud M, Khan R, Kuick R, et al. Mutations in NALP7 cause recurrent hydatidiform moles and reproductive wastage in humans. Nature genetics. 2006;38(3):300-2.
- Parry DA, Logan CV, Hayward BE, Shires M, Landolsi H, Diggle C, et al. Mutations causing familial biparental hydatidiform mole implicate c6orf221 as a possible regulator of genomic imprinting in the human oocyte. American journal of human genetics. 2011;89(3):451-8.
- Paradinas FJ, Browne P, Fisher RA, Foskett M, Bagshawe KD, Newlands E. A clinical, histopathological and flow cytometric study of 149 complete moles, 146 partial moles and 107 non-molar hydropic abortions. Histopathology. 1996;28(2):101-10.
- WHO. WHO classification of tumour of female reproductive organs. 4th ed. Lyon: IARC; 2014.
- McConnell TG, Murphy KM, Hafez M, Vang R, Ronnett BM. Diagnosis and subclassification of hydatidiform moles using p57 immunohistochemistry and molecular genotyping: validation and prospective analysis in routine and consultation practice settings with development of an algorithmic approach. The American journal of surgical pathology. 2009;33(6):805-17.
- Sebire NJ, Makrydimas G, Agnantis NJ, Zagorianakou N, Rees H, Fisher RA. Updated diagnostic criteria for partial and complete hydatidiform moles in early pregnancy. Anticancer Res. 2003;23(2c):1723-8.
- Howat AJ, Beck S, Fox H, Harris SC, Hill AS, Nicholson CM, et al. Can histopathologists reliably diagnose molar pregnancy? Journal of clinical pathology. 1993;46(7):599-602.
- Kurman RJe. Blaustein’s Pathology of the Female Genital Tract: Springer Verlag; 2011.
- Oladipo A, Mathew J, Oriolowo A, Lindsay I, Fisher R, Seckl M, et al. Nongestational choriocarcinoma arising from a primary ovarian tumour. BJOG : an international journal of obstetrics and gynaecology. 2007;114(10):1298-300.
- Hui P. Gestational Trophoblastic Disease: Diagnostic and Molecular Genetic Pathology. Giordano A, editor: Humana press, New York; 2012.
- Mao TL, Kurman RJ, Huang CC, Lin MC, Shih Ie M. Immunohistochemistry of choriocarcinoma: an aid in differential diagnosis and in elucidating pathogenesis. The American journal of surgical pathology. 2007;31(11):1726-32.
- Soper JT, Mutch DG, Schink JC, American College of O, Gynecologists. Diagnosis and treatment of gestational trophoblastic disease: ACOG Practice Bulletin No. 53. Gynecologic oncology. 2004;93(3):575-85.
- Baergen RN, Rutgers JL, Young RH, Osann K, Scully RE. Placental site trophoblastic tumor: A study of 55 cases and review of the literature emphasizing factors of prognostic significance. Gynecologic oncology. 2006;100(3):511-20.
- Shih IM, Kurman RJ. The pathology of intermediate trophoblastic tumors and tumor-like lesions. International journal of gynecological pathology : official journal of the International Society of Gynecological Pathologists. 2001;20(1):31-47.
- Niehans GA, Manivel JC, Copland GT, Scheithauer BW, Wick MR. Immunohistochemistry of germ cell and trophoblastic neoplasms. Cancer. 1988;62(6):1113-23.