Kategorisering av tumören
Sammanfattning och rekommendationer
- Kompletta molor är diploida androgenetiska graviditeter.
- Partiella molor är triploida biparentala graviditeter.
- Komplementära analyser med immunhistokemi för p57, ploidianalys och STR genotypning bör utföras för säker diagnostik, riskskattning och uppföljning.
- Genotypning kan användas för att skilja en gestationell trofoblasttumör från övriga maligniteter.
Patologi
För utförlig beskrivning av histologisk diagnostik och immunhistokemiska profiler för respektive diagnos, liksom tolkning av tilläggsanalyser, se KVAST-dokument Gestationella trofoblastsjukdomar.
Tabell 10. SNOMED-koder.
|
Snomed-koder |
Lokaler/topografi |
|
T88 |
Placenta |
|
T82 |
Uterus |
|
T83 |
Myometriet |
|
T84 |
Endometriet |
|
T87 |
Tuba |
Tabell 11. Morfologiska koder.
|
Morfologiska koder |
|
|
M91000 |
Komplett mola |
|
M91030 / M91010 |
Partiell mola |
|
M91001 / M91002 |
Invasiv mola |
|
M91003 |
Koriokarcinom |
|
M91043 |
Placental site trophoblastic tumor |
|
M91053 |
Epitelioid trofoblastisk tumör |
Saknas uppgift om molan är komplett eller partiell kodas den under M91000 (komplett mola).
Snomed-koderna är identiska med ICD O/3-koderna med tillägg av ett M först i koden (t.ex. M91000).
Samtliga dessa diagnoser ska anmälas till Cancerregistret.
Anvisningar för provtagarens hantering av provet
Biopsier och skrapmaterial kan med fördel skickas färskt alternativt fixeras omedelbart i 10 % neutral buffrad formalin (4 % formaldehyd).
Det är bra om det finns lokala rutiner för transport av färska operationspreparat från operationssalen till patologlaboratorium med särskild kompetens inom gynekologisk patologi, för optimal identifiering av provets olika delar enligt beskrivningen i KVAST-bilagan. Om transport kan ske i god tid under operationsdagen så bör provet skickas direkt och ofixerat. Om operationen pågår efter laboratoriets öppettider kan preparatet placeras i kylskåp +4 °C under natten och sedan transporteras till patologlaboratoriet nästa morgon. Det är viktigt att ett preparat inte står ofixerat i rumstemperatur. Ett preparat bör inte heller stå i kylskåpstemperatur (+4 °C) i mer än 12 timmar.
När det gäller operationspreparat som inte lämnas direkt till patologen bör t.ex. uterus öppnas för att möjliggöra bra fixering med formalin. Om preparatet är tjockt alternativt tumören är stor (> 2 cm) bör man snitta in i vävnaden så att formalinet kan tränga in i preparatet. Detta bör göras utan att radikalitetsbedömningen försämras.
Anamnestisk remissinformation
Informationen på remissen bör vara läslig och rätt placerad enligt lokala bestämmelser.
För optimal morfologisk bedömning krävs i anamnesdelen:
- Preoperativ diagnos och frågeställning.
- Sjukhistoria.
- Tidigare graviditeter (årtal) inkl. tidigare abort.
- Eventuell nuvarande graviditet med uppskattad gestationsålder.
- Eventuella röntgenfynd.
- Beskrivning av vilken typ av preparat som medföljer inklusive operationsmetod och preparatmärkning.
- Patologiska laboratorieprover, t.ex. beta-hCG-värden.
Vid molamisstanke, ange eventuell förekomst av makroskopisk blåsbildning vid ultraljud eller i färskt skrapmaterial.
Figur 4. Normala villi HE.

Figur 5. Normala villi p57KIP.

Mola hydatidosa
När ett prov inlämnas till patologen med frågeställningen att ”utesluta mola” är det mycket viktigt att uppskattad gestationsålder anges i anamnesen på PAD-remissen.
Tidigare debuterade majoriteten av kvinnor med komplett mola hydatidosa under andra trimestern med vaginal blödning. Vid den tidpunkten ses en ”klassisk” morfologisk bild vid mola, såväl makro- som mikroskopiskt, med karaktäristiskt svullna (blåsor eller druvklaseliknande) villi.
Graviditeter där hela eller större delen av villipopulationen är uppsvullen benämndes kompletta molor och visade sig i större utsträckning ge efterföljande trofoblastmaligniteter, framför allt koriokarcinom. Molagraviditeter med mindre uttalad molaomvandling visades vara mindre benägna att utveckla maligniteter och har kallats partiella molor. Baserat på enbart histologisk diagnos har kompletta molor gett GTN i 15–20 % och partiella molor i 0–4 % 121.
Vid mola ses proliferation i villösa trofoblaster och i extravillösa trofoblaster, dock inte i implantationsceller. Proliferationsnivån ger ingen skillnad i prognos 122.
Numera, tack vare serum-hCG och ultraljud, misstänks mola allt tidigare, och när abortmaterial kommer från tidiga graviditeter (första trimestern) är de histologiska förändringarna inte lika uttalade. Diagnosen har därmed blivit svårare att reproducera 123124. Även vid missed abortion kan man se svullna villi på grund av hydrop degeneration, liksom i graviditeter med andra genetiska avvikelser. Detta, tillsammans med trofoblastproliferationen i en tidig graviditet, kan imitera molaomvandling 125.
DNA-undersökningar har visat att vävnad med bild av komplett mola vanligen har en diploid kromosomuppsättning, medan graviditeter med bild av partiell mola vanligen har varit triploida, ibland även innehållande ett triploitt och gravt missbildat foster 126.
I dag vet man också att den bakomliggande genetiken skiljer sig mellan dessa två grupper, där DNA i kompletta molor har ett enbart androgenetiskt (paternellt) ursprung (undantag ärftliga molor, se avsnitt 7.1) medan partiella molor har ett biparentalt ursprung (en maternell och två paternella alleler).
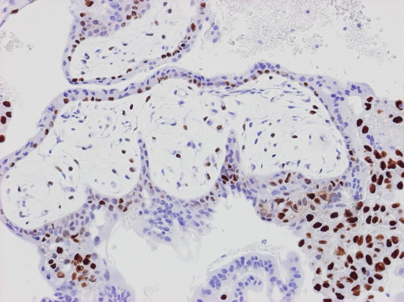
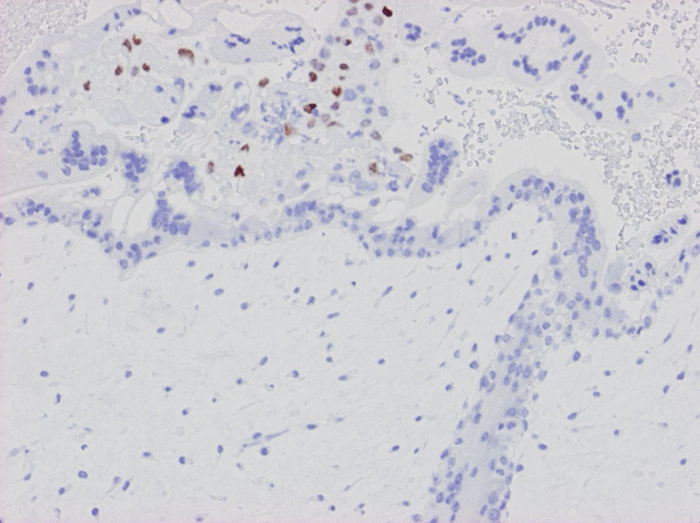
Eftersom immunhistokemisk färgning för cellcykelinhibitorn och tumörsuppressorn P57KIP2 (känd sedan millennieskiftet) är underuttryckt i cytotrofoblaster och stromala celler i villi som endast innehåller paternellt genom (kompletta molor), kan denna färgning hjälpa till att skilja kompletta molor från partiella molor och hydropa aborter vilka båda har biparental kromosomuppsättning. Infärgning i villis yttersta cellager med syncytiotrofoblaster är dock alltid negativt medan implantationstrofoblaster, intervillösa trofoblastproliferationer och decidua alltid är infärgade och fungerar som positiva interna kontroller 124127128.
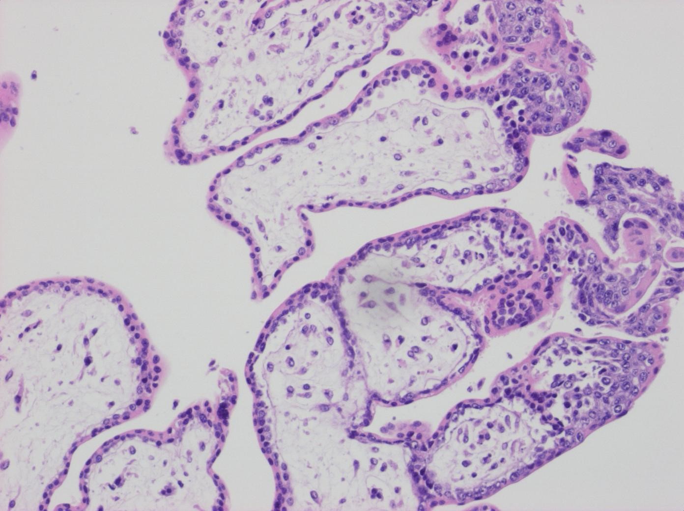
Figur 6. Komplett mola HE.

Figur 7. Komplett mola p57KIP

Med dessa resurser kan en tämligen säker diagnos sättas enligt principen:
Tabell 12. Primär diagnostik av mola
|
Komplett mola |
Partiell mola |
Missed abortion |
|
Diploid |
Triploid |
Diploid |
|
p57-negativ |
p57-positiv |
p57-positiv |
|
Ofostrig |
Fostrig |
Fostrig |
I ett danskt material där samtliga molamisstänkta graviditeter har undersökts såväl histologiskt som genetiskt identifierades inga triploida molor som upphov till GTN 129. Ett flertal studier har påvisat liknande resultat med mycket liten risk att utveckla en trofoblastmalignitet efter en partiell mola 130. Man rekommenderar därför en betydligt kortare uppföljning efter en partiell triploid mola än för en komplett diploid diandrisk mola förutsatt att den patologiska diagnosen utförts korrekt.
Eftersom det även finns andra histologiskt molaliknande graviditeter med avvikande kromosomuppsättning, t.ex. trisomier och andra ploidier än de nämnda (bl.a. mosaiker med varierande kromosomuppsättning inom samma individ, se avsnitt 4.3 Etiologi och genetik) varav en del också uppvisar triploid DNA-fördelning, bör en genetisk analys inkorporeras i svaret parallellt med den histologiska diagnostiken för säkrare diagnostik 123.
Såväl partiella som kompletta molor kan delas in i monospermatiska eller dispermatiska beroende på om en eller två spermier har befruktat ägget. Senare studier har visat att risken för efterföljande GTN skiljer sig mellan dessa olika subgrupper av komplett mola 131132133. varför det också av denna anledning är viktigt att driva diagnostiken så långt som möjligt.
Den genetiska profilen identifieras med hjälp av STR (short tandem repeats)-genotypning som går ut på att jämföra olika loci i DNA mellan två eller flera individer (i detta fall mellan maternell vävnad och villi). Short tandem repeats är mikrosatelliter, dvs. DNA-sekvenser med repetitiva nukleotidsekvenser, vilka varierar mellan individer, och kan därför användas för genotypning. Denna analys kan göras på paraffininbäddat material 121134. STR-genotypning bör utföras på alla molafall för att bekräfta partiella molor och därmed utesluta andra orsaker till triploid bild eller avvikande morfologisk bild såsom ”digynic monoandric” (två maternella och en paternell allel) triploidi, trisomier och paternell UPD (uniparental isodisomi) av kromosom 11 125135 och därmed undvika onödig uppföljning. Analysen ger även en säkrare subtypning och riskvärdering avseende persisterande trofoblastsjukdom eller postmolär GTN.
Histologi vid mola hydatidosa
- Hydropa förändringar med svullna villi.
- Cisternformationer (acellulära) i en del villi.
- Trofoblastproliferation (circumferentiell).
- Trofoblastinklusioner.
Komplett mola hydatidosa
Kompletta molor är genetiskt diploida med allt kärn-DNA av paternellt ursprung (undantag ärftliga molor enl. ovan).
Mikroskopiskt ses i typiska fall en väl utvecklad hydatiform omvandling av alla villi med ödem och cisternbildning samt circumferent trofoblasthyperplasi med cytologisk atypi 136. Tidig komplett mola kan ha mindre uttalade förändringar. Foster och amnionhinna förekommer inte, men vaskulära korionvilli kan återfinnas i tidiga fall. Dessa kärlstrukturer är dock vanligen tomma 137.
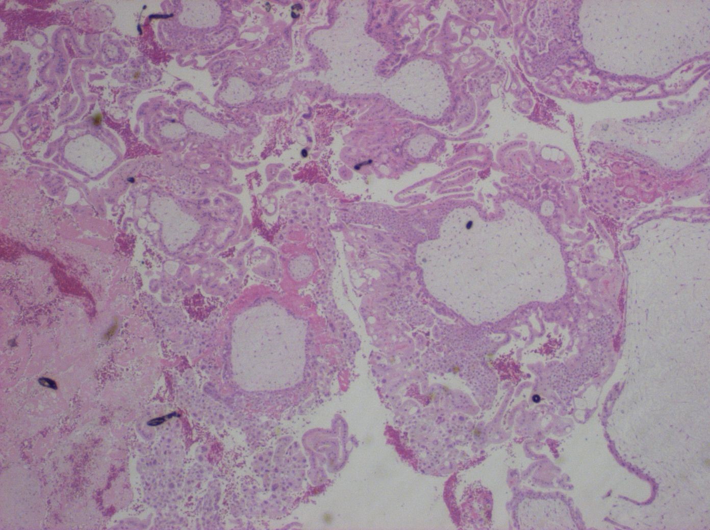
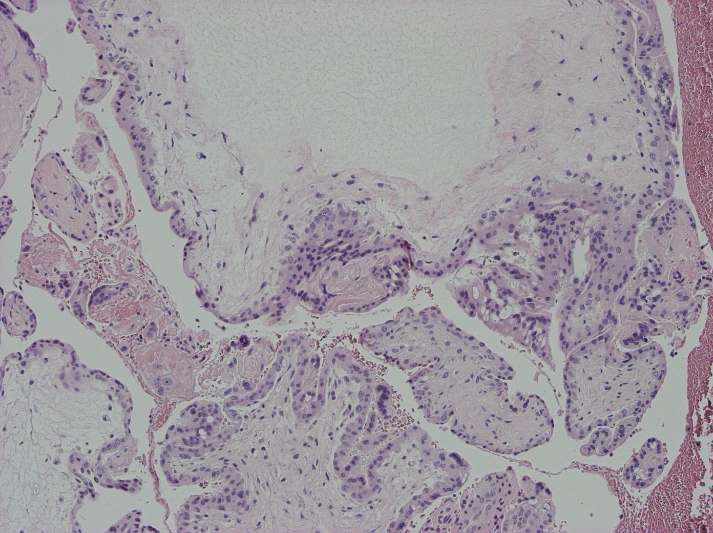
Partiell mola hydatidosa
Partiella molor är genetiskt triploida 138, med fokal hydatidiform omvandling av placentavilli. Spår av foster (såsom kärnförande erytrocyter) eller förekomst av fosterdelar kan ses, men fostret går oftast under i tidig graviditet. Vid partiella molor förekommer en fungerande villös cirkulation 139. Mikroskopiskt ses i typfallet två populationer av villi, med dels ödematöst förstorade villi med oregelbunden kontur, och dels små, ofta fibröst omvandlade villi. Inklusioner och cisterner kan förekomma. Trofoblasthyperplasin är generellt mindre uttalad jämfört med komplett mola.
Figur 8. Partiell mola HE.

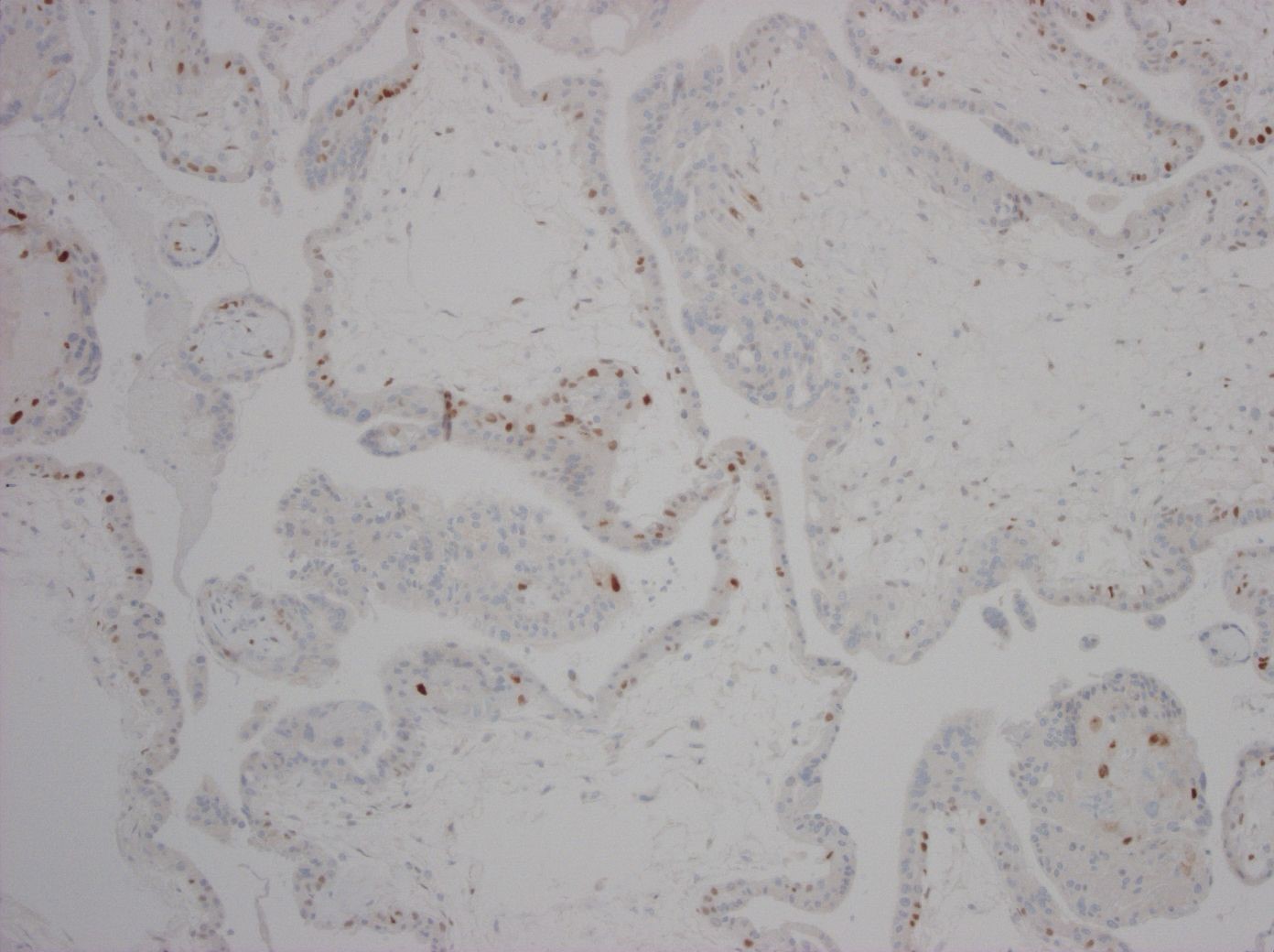
Figur 9. Partiell mola p57KIP.

Kompletterande analyser
Svårigheterna att skilja en komplett mola från en partiell med enbart mikroskopi illustreras av en tidig studie som gjordes av patologer som var specialintresserade av trofoblastsjukdomar. Diagnoserna överensstämde helt enbart i 35 av 50 fall (70 %) 140.
Flera tilläggsanalyser kan, och bör, därför användas för att bekräfta en misstanke på mola hydatidosa:
Tabell 13. Tilläggsanalyser
|
P57 immunhistokemi |
En analys som kan konfirmera komplett mola, men inte skilja mellan partiell mola och normal graviditet. |
|
Ploidi |
En analys som kan konfirmera en triploid graviditet, dock inte skilja mellan paternell eller maternell triploidi. |
|
STR-genotypning |
En molekylär analys som kan skilja mellan paternellt och maternellt DNA, och kan ge ett definitivt svar angående andel av maternell och paternell uppsättning. Kan också skilja mellan gestationellt och icke-gestationellt koriokarcinom (förekomst eller frånvaro av paternellt DNA). |
Figur A. STR-genotypning icke-mola.

Överst ses maternella alleler och underst villösa alleler. I detta exempel ses i samtliga loci en villös allel som matchar den maternella och i två loci (vänster och höger) en allel som inte matchar = paternell. I mitten-locuset ses i villi både den maternella och den paternella allelen slumpmässigt på varandra (en anledning till varför det är viktigt att jämföra flera loci!). Liknande utfall skulle ses i ett gestationellt koriokarcinom som uppkommit efter fullgången icke-molar gestation, medan ett icke-gestationellt koriokarcinom inte skulle uppvisa några paternella alleler.
Figur B. STR-genotypning partiell mola.

Överst ses maternella alleler och underst villösa alleler. I samtliga loci ses en villös allel som matchar en av de maternella. I två loci (vänster och mitten) ses till synes en paternell allel. Denna är dock dubbelt så hög som den maternella och utgörs av två paternella alleler på varandra. Hade det bara funnits dessa skulle bilden vara förenlig med monospermatisk partiell mola (ovanligt!). I det här fallet finns det dock i det högra locuset två paternella alleler (matchar inte de maternella) och dessa utgör bevis för dispermatisk konception.
Figur C. STR-genotypning komplett mola.

Överst ses maternella alleler och underst villösa alleler. I samtliga tre villösa loci ses en allel som inte matchar den maternella och som utgör en paternell allel. Således ses enbart paternellt genom och bilden är förenlig med en monospermatisk komplett mola. En dispermatisk komplett mola skulle åtminstone i något locus uppvisa två separata paternella alleler.
Invasiv mola
Makroskopiskt ter sig detta oftast som ett invasivt hemorragiskt nodulus och perforationsrisk finns. Hydropa villi (blåsor) kan ses. Histologisk diagnos kan inte ställas på endometrieskrap enbart, utan material från hysterektomi eller material från extrauterin spridning, t.ex. lungbiopsi, behövs för att verifiera den invasiva tendensen. Detta är den vanligaste formen av GTN och den ses efter komplett mola i 10–15 % 141.
Majoriteten av fallen inträffar inom 6 månader efter utrymningen av en mola. I 20–40 % ses extrauterin spridning, där bland annat vaginala metastaser och enstaka lungmetastaser på upp till 2 cm kan förekomma. Andra metastaslokaler är sällsynta. Cellerna har således metastatisk kompetens, men tillväxtregleringen fungerar till skillnad från maligniteter. En invasiv mola kan vara självläkande, men 3–4 % har rapporterats utveckla sig till koriokarcinom.
Mikroskopiskt karaktäriseras den invasiva molan av myometrieinvasion och/eller eventuell kärlinvasion alternativt extrauterin lokalisation av villi uppvisande molära förändringar. Den bibehåller villösa strukturer i både primärtumör och eventuella metastaser. Vid sparsam förekomst av villi finns risk för en felaktig koriokarcinomdiagnos, varför det kan vara indicerat att bädda allt material. Andra histologiska differentialdiagnoser är placenta increta eller percreta 142143144.
Koriokarcinom
Gestationellt koriokarcinom
Gestationellt koriokarcinom uppkommer efter eller från 2:
- Komplett mola (50 %).
- Partus (22,5 %), i enstaka fall efter mycket lång tid.
- Fosterdöd eller spontanabort (22,5 %).
- Ektopisk graviditet (2,5 %).
- Diagnosen kan vara svår i skrapmaterial och endast ca 40 % av fallen kan diagnostiseras i sådant material.
Makroskopiskt ses ofta relativt välavgränsade noduli i myometriet med en mörkröd hemorragisk snittyta och varierande mängd nekros. Tumören kan även uppstå i cervix eller tuba samt infiltrera djupt och orsaka perforation. Vid koriokarcinom har man att göra med högmaligna celler med snabb tillväxt och mycket uttalad metastaseringstendens, varför patienten även kan debutera med blödning från en metastaslokal.
Mikroskopiskt ses ofta extensiv central blödning och nekros med ett bräm av tumörceller runt om. Tumören bildar inget eget stroma eller egna kärl (saknar autoangiogenes), därför ses i stället prominent destruktiv kärlinvasion.
Tumörcellerna uppvisar ett bifasiskt mönster bestående av såväl cyto- som syncytiotrofoblaster, vilket är ett krav för diagnosen, samt varierande, men oftast lågt, antal intermediära trofoblaster (därför ibland beskrivet som trifasiskt mönster). Det är vanligt med signifikant cellatypi, ibland uttalad eller bisarr sådan och rikligt med mitoser. På grund av hypersekretion av hCG ses ofta deciduaomvandling och Arias Stella-fenomen i bakgrunden, och förstorade ovarier med tekaluteincystor.
Koriokarcinom saknar till skillnad från invasiv mola villösa strukturer 134142 (se dock undantag nedan i avsnitt 10.4.2).
Intraplacentära eller tidiga koriokarcinom
Intraplacentära koriokarcinom finns beskrivna i fullgångna placentor 145146147 och kan makroskopiskt se ut som hemorragiska infarkter. Dessa uppvisar annorlunda genetik med biparental profil 148.
Det finns också tidiga koriokarcinom i form av intramolära koriokarcinom som kan återfinnas i skrapmaterial med bild som vid komplett mola tillsammans med en atypisk bi- eller trifasisk intervillös trofoblastproliferation som simulerar koriokarcinom 149.
Icke-gestationellt koriokarcinom
I mycket sällsynta fall bildas koriokarcinom ”de novo” i ovariet och möjligen i andra lokaler, s.k. icke-gestationellt koriokarcinom. Dessa differentierar från somatiska celler och kan inte morfologiskt skiljas från gestationella koriokarcinom, men eftersom de inte innehåller något paternellt genetiskt material 144150 kan de identifieras med STR-genotypning. Ofta ses en komponent av adenokarcinom eller könscellstumör i intilliggande vävnad 148. Det är viktigt att särskilja dessa fall, eftersom de har betydligt sämre prognos och kan kräva annan behandling 143151152.
Syncytiotrofoblaster ses ibland i andra tumörer, t.ex. blandade icke-gestationella könscellstumörer.
Placental site trophoblastic tumor (PSTT)
PSTT består huvudsakligen av trofoblaster som stammar från extravillösa intermediära implantationstrofoblaster. Denna tumörform innehåller, till skillnad från koriokarcinom, få multinukleära syncytiotrofoblaster och ses med låg, eller avsaknad av, hCG-produktion. Differentialdiagnostiken kan ibland vara svår gentemot sarkom, särskilt leiomyosarkom. Om man med molekylärbiologiska metoder kan påvisa paternellt DNA kan sarkom uteslutas. De flesta fallen föregås av en fullgången graviditet som kan ligga några månader till många år tillbaka i tiden. 90 % uppträder med benignt förlopp medan 10 % är högmaligna och svårbehandlade. Oftast är diagnosen lätt i hysterektomipreparat, men svår i skrapmaterial.
PSTT uppvisar en monofasisk bild med intermediära trofoblaster som infiltrerar mellan muskeltrådar i stråk liknande en normal implantation. Utbredd deposition av fibrinoitt material är karaktäristisk liksom invasion av blodkärlsväggar i periferin av tumören. Tumören är sällan hemorragisk. Vanligen finns inga villi men deciduaomvandling och Arias Stella-fenomen kan ses.
Hysterektomi bör göras tidigt i förloppet. De högmaligna varianterna förefaller mindre cytostatikakänsliga än koriokarcinomen 12153.
Differentialdiagnoser
Exaggerated placental site reaction; se avsnitt 10.7 Benigna förändringar.
ETT, se avsnitt 10.6, med delvis annorlunda morfologi och även annan immunprofil.
Koriokarcinom, där den relativa proportionen av hCG och hPL kan vara till hjälp, men blandningar kan förekomma.
Lågt differentierad cancer med trofoblastdifferentiering; åtskiljs genom identifiering av karcinomkomponent.
Epitelioitt leiomyosarkom; uttryck av hPL, CK samt muskelmarkörer skiljer sig.
Epitelioid trofoblasttumör (ETT)
ETT är den mest ovanliga formen av alla GTN och beskrevs först 1988 7. Den utgår från intermediära trofoblaster i korionbladet. Omkring två tredjedelar uppkommer efter en fullgången graviditet och ca 16 % vardera från missfall eller abort respektive mola med en latens varierande mellan 1 och 15 år 154. Uppskattningsvis hälften av alla fall av ETT uppstår i cervix eller nedre uterina segmentet.
Makroskopiskt ses ETT som en nodulär välavgränsad tumör med fokal infiltration i periferin. Mikroskopiskt ses en uniform eller monomorf population av mononukleära celler. Karaktäristiskt är påvisandet av eosinofilt, hyalinliknande material centralt i tumörnästen som kan simulera keratin och geografisk, ofta utbredd nekros. I kanten av tumören ses ofta spridda decidualiserade stromaceller.
Differentialdiagnoser
Placental site nodule (PSN), se avsnitt 10.7 Benigna förändringar.
I cervix kan tumörcellerna från ETT infiltrera epitelet och ge intryck av höggradig intraepitelial skivepitellesion. STR-genotypning kan hjälpa att särskilja dessa diagnoser.
Epitelioitt leiomyosarkom och andra glattmuskeltumörer åtskiljs med hjälp av immunhistokemi (trofoblastmarkörer och glattmuskelmarkörer).
Benigna förändringar
Placental site nodule (PSN) och plack
PSN är en benign, välavgränsad härd eller plack bestående av hyaliniserad stromavävnad med intermediära trofoblaster av korionbladtyp som oftast ses som bifynd i endometrieskrap eller endocervikalt skrap. Storleken på lesionen är vanligen < 5 mm men förändringarna kan vara multipla. Jämfört med ETT och APSN ses lägre proliferation och mindre storlek (se avsnitt 10.7.2 Atypisk PSN (APSN).
Atypisk PSN (APSN)
APSN är en nyligen beskriven trofoblastlesion som morfologiskt ligger mellan PSN och ETT och oftast ses som 5–10 mm stora nodulära välavgränsade härdar. Jämfört med PSN ses ökad cellularitet, mer uttalad atypi, ökad mitotisk aktivitet och Ki67-index på 8–10 % 149, men det finns inga etablerade diagnostiska kriterier för APSN ännu. APSN har beskrivits som en prekursorlesion till ETT, och eftersom det finns dokumenterade fall av transformering till malign tumör 155156 bör dessa patienter utredas med radiologi samt följas kliniskt och med hCG.
Exaggerated placental site reaction (EPS)
EPS är en icke-neoplastisk reaktiv och överdriven implantationsprocess som kan ses både vid normal graviditet och vid molagraviditet. Den kan framför allt i skrapmaterial vara svår att skilja från PSTT eftersom de har liknande histologisk bild. EPS syns sällan makroskopiskt. Histologiskt ses invasionstrofoblaster i endometriet och ytliga myometriet, och dessa kan vara uttalat atypiska men normal endo- eller myometriearkitektur bibehålls.
Det som talar för EPS jämfört med PSTT är avsaknad av makroskopisk lesion, närvaro av villi, mononukleära celler med jämnt distribuerade multinukleära celler 149 samt låg proliferation (MIB1/Ki67 < 1 %) 157.