Kvalitetsdokument för patologi
Förkortningar
|
Förkortning |
Förklaring |
|
dVIN |
Differentierad vulva in situ-neoplasi |
|
DEVIL |
Differentiated exophytic vulvar intraepithelial lesion |
|
H&E |
Hematoxylin-Eosin |
|
HPV |
Humant papillomvirus |
|
HSIL |
Höggradig skivepitellesion |
|
LSIL |
Låggradig skivepitellesion |
|
SLN |
Sentinel node, portvaktskörtel |
|
VAAD |
Vulvar acanthosis with altered differentiation |
|
VAM |
Vulvar aberrant maturation |
Klinisk bakgrundsinformation
Den nationella cancerstrategin från 2009 understryker patientens perspektiv och fokuserar på den totala patientprocessen. Vulvacancerpatienten handläggs i multidisciplinära team med kirurger, röntgenläkare, patologer, onkologer, sjuksköterskor och andra berörda yrkeskategorier.
Patologens uppgift är att utifrån insänt material komma fram till en histopatologisk diagnos som klinikerna kan använda till att bedöma prognos och därmed vidare handläggning av patienten. Patologen gör en sammantagen morfologisk bedömning av förändringarnas utbredning och gradering, vilket förutsätter kliniska data på remissen samt tillräcklig mängd och kvalitet på det insända materialet. I den diagnostiska processen är därför kommunikation mellan klinikerna och patologen av största vikt.
Detta kan uppnås med standardisering av remisser och svar, men också genom att kvalitetssäkra bedömningen av morfologiska, prognostiska och prediktiva parametrar. Standardiserade svar garanterar att all relevant information finns med i utlåtandet och är lättläst. Detta bidrar till att fler patienter behandlas enligt vårdprogrammet.
Anvisningar för provtagarens hantering av provet
Cytologi
Cytologiprover från vulva i form av smear, swab, eller liknande rekommenderas inte. Borstprov för diagnostik av humant papillomvirus (HPV) kan tas från vulva [1, 2]. Vid cytologisk provtagning från misstänkt metastas, exempelvis i ljumske, kan direktutstryk och/eller vätskebaserad cytologi användas i enlighet med de rutiner som gäller för respektive patologavdelning.
Biopsi
Biopsier bör omedelbart fixeras i 10 % neutral buffrad formalin (4 % formaldehyd). Skicka helst materialet orienterat på papper. Vid allt för små biopsier kan det annars bli svårt att orientera materialet på labb, och det kan ha negativ påverkan på bedömningen av eventuell invasion.
Excisioner och partiell/total vulvektomi
Om inte preparatet kan levereras färskt till laboratoriet rekommenderas att det monteras på korkplatta vid operationsavdelningen före formalinfixering. Formalinvolymen bör motsvara 10 gånger preparatets volym för optimal fixering. Det är viktigt att ett preparat inte står ofixerat i rumstemperatur. Ett preparat bör inte heller stå i +4° C mer än 24 timmar (3). Hanteringen utformas i dialog mellan respektive laboratorium och kvinnosjukvården.
En skiss eller foto som visar anatomiskt varifrån excisionen kommer, samt orientering och markering av kritiska resektionsränder, underlättar hantering på labb. Om preparatet inkluderar anatomiska strukturer såsom labia minora, labia majora, clitoris, o.s.v. bör detta anges och gärna markeras ut. Om preparatet någonstans har delats så att kanter som inte är äkta resektionsränder bildats, bör detta anges i remissen och gärna markeras ut på preparatet.
A.
B.
C.
Figur 1: Mindre excisionspreparat uppnålat på korkplatta (A), medelstort excisionspreparat uppnålat på korkplatta (B) och posterior partiell vulvektomi (C). Om vissa anatomiska strukturer eller resektionsränder är av intresse kan dessa med fördel markeras med särskild färg på nålen eller med tusch.
Sentinel lymph node
Sentinel lymph node (SLN) bör inte skickas för fryssnitt utom vid undantagsfall t ex när man misstänker metastasering i SLN. Intraoperativ undersökning bör omfatta maximalt 4 sentinel nodes. För fryssnitt och/eller imprint måste körteln skickas färsk. Annars läggs den i 4 % buffrad formaldehydlösning. Dessa läggs i separata markerade burkar i ordning som bestäms av kirurgen, som också avgör vad som är sentinel nodes och non-sentinel nodes. Molekylära metoder används för närvarande endast i studier.
Anamnestisk remissinformation
För optimal morfologisk bedömning krävs följande uppgifter i anamnesdelen:
- Klinisk frågeställning och indikation för åtgärden.
- Ev. tidigare behandling och provtagning.
- Relevanta tidigare patologiska anatomiska diagnoser (PAD)/cytologiska diagnoser (CD), röntgen-/labfynd.
- Ev. graviditet, smittsamma sjukdomar, hormonbehandling.
- Klinisk beskrivning av förändringen/förändringarna.
- Typ av operation/undersökning.
- Preparatbeskrivning inklusive märkningar. Eventuellt med standardskiss, foto eller stämpel.
- Fraktionsbeteckningar.
- Sentinel node:
- Antal sentinel nodes med uppgift om lokalisation och sida
- Önskad undersökning (frys, imprint eller svar efter formalinfixering)
Utskärningsanvisningar
Biopsier
Allt bör bäddas till diagnostik. Biopsier >5 mm kan skäras på längden vinkelrätt mot den mukosala ytan.
Operationspreparat
Preparatet bör mätas och orienteras. Det är viktigt att noggrant dokumentera hur bitarna tas, för att marginaler ska kunna anges i alla riktningar. Storsnitt och makrofoto kan med fördel användas.
Tumören bör samplas tillräckligt för adekvat morfologisk bedömning. Bitar som representerar största djupväxten bör bäddas. Tumörstorleken bör mätas.
Viktiga resektionsytor är såväl mot djupet som perifert och i förekommande fall mot uretra, vagina och anus eller andra angivna anatomiska strukturer.
Samtliga lymfkörtlar bör bäddas in och antalet lymfkörtlar anges. Vid tydlig metastas räcker det att bädda en skiva från lymfkörteln, i annat fall bör hela lymfkörteln bäddas.
Sentinel node
Allt material bör bäddas och delade lymfkörtlar bäddas för sig. Vid makroskopiskt metastasmisstänkta lymfkörtlar kan dock en representativ bit bäddas. Makroskopiskt tumörfria lymfkörtlar skärs i 2-3 mm tjocka skivor vinkelrätt mot den långa axeln.
Mätning av invasionsdjup
Begynnande och ytlig invasion är erkänt svårbedömt och här rekommenderas frikostig nivåsnittning och intern konsultation [3]. För stadiebedömning är invasionsdjupet avgörande (mer eller mindre än 1 mm). Metoden för mätning av invasionsdjupet har ändrats i revisionen av FIGO stadium 2021 (Figur 2)[4]. Om invasionsdjupet inte kan mätas, till exempel på grund av snedsnittning eller fragmenterad material, bör detta anges i svaret.

Figur 2. Invasionsdjupet mäts från botten av närmaste dysplastiska retetapp (röd). Om det inte är möjligt att mäta från närmaste dysplastiska retetapp kan mätning ske från toppen av närmaste dermala papill (blå). Bild från Skala et al [5].
Analyser
Rekommenderade rutin- och specialfärgning
Som rutin rekommenderas hematoxylin-eosin-färgning. Mucin-färgning och PAS kan användas för att undersöka Mb Paget. PAS kan användas för att påvisa svamphyfer.
Rekommenderad immunhistokemi
P16-färgning
I LAST-projektet finns en stor internationell litteraturgenomgång där det fastställs att p16 har ett värde som diagnostisk biomarkör i differentialdiagnostik[6].
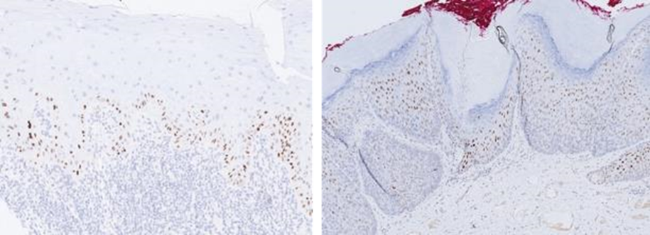
Tolkning av p16-färgning: I LAST-projektet fastställs att endast stark och utbredd "block"-p16-färgning bör betraktas som "positiv". I skivepitel definieras detta som en sammanhängande stark kärn- plus cytoplasmatisk färgning av basalcellsskiktet med förlängning uppåt som vanligen inbegriper minst en tredjedel av den epiteliala tjockleken. Denna höjdbegränsning är något godtycklig och framför allt i keratiniserande skivepitel kan positiviteten vara begränsad till de basala delarna (Fig. 3). Observera alltså att ett prov kan kallas positivt utan färgning av hela epitelets tjocklek. Alla övriga mönster tolkas som negativa, inklusive fläckvis mosaikfärgning. Fokal eller ojämn kärnfärgning är ospecifik och kan ses vid reaktiv skivepitelmetaplasi, liksom vid låggradig lesion (LSIL). För fler bildexempel på p16-färgning hänvisas till KVAST-dokumentet för cervixcancer.
Det finns fall av HPV-oberoende VIN/skivepitelcancer som uppvisar blockpositivitet i p16 samt mutationsinfärgning i p53 [7, 8]. Liknande fenomen med överuttryck av p16 i samband med TP53-mutation ses exempelvis även i höggradig serös ovarialcancer.


Figur 3. Positiv p16-färgning i skivepitel kan i vulva vara relativt begränsad till de basala delarna av epitelet.
p16-färgning rekommenderas vid följande differentialdiagnoser [6]:
- Differentialdiagnos mellan precancer (HSIL) och icke-precancer (reaktiv eller atrofisk slemhinna).
- Om man överväger HSIL (tidigare VIN2), som differentialdiagnos till LSIL, talar positiv p16 för HSIL (tidigare VIN2) och negativ p16 för LSIL.
- Om flera patologer inte är överens om en diagnos, och HSIL är en möjlig differentialdiagnos, talar positiv p16 för HSIL.
- P16 bör inte användas rutinmässigt om diagnosen är normal morfologi, tydlig LSIL eller tydlig HSIL.
Kvalitetssäkring: Med tanke på p16:s centrala roll i diagnostiken bör p16-färgning kvalitetssäkras genom ett externt kvalitetsprogram (t.ex. EQUALIS, NordiQC). LAST-projektets rekommendationer, baserade på publicerad litteratur, utgår ifrån en viss klon och ibland även ett visst kit. Införandet av en antikropp kräver validering som visar att utfallet är detsamma som förväntas enligt litteraturen.
Ki-67, Pro-ExC och övriga färgningar inom HSIL/LSIL
Många markörer visar likartade resultat som p16, dock finns det inte tillräcklig evidens för att rekommendera dessa. Ki67 kan t.ex. ses i övre halvan vid aktiv HPV-infektion som t.ex. kondylom.
P53-färgning
Sex olika infärgningsmönster i p53 har beskrivits både i intraepiteliala skivepitellesioner och i skivepitelcancer i vulva. Två av dessa är så kallade vildtyp (wild type) och vid dessa ses sällan TP53-mutation:
- Utspridd (scattered): Heterogen nukleär positivitet med varierande intensitet i basala och parabasala lagren.
- Mitt-epitelial (mid-epithelial) positivitet med basal negativitet: Heterogen stark nukleär infärgning i mitten av epitelet med klar negativitet basalt. Detta infärgningsmönster ses vid p16-positiva HPV-relaterade lesioner.
Fyra infärgningsmönster har identifierats vid TP53-mutation:
- Basalt överuttryck: Homogen stark nukleär infärgning i >80% av basala celler utan betydande infärgning parabasalt. Detta mönster eller liknande basalt överuttryck kan även ses vi reaktiva tillstånd och ischemi.
- Parabasalt/diffust överuttryck: Homogen stark nukleär infärgning >80% av basala celler med stark positivitet även parabasalt.
- Total negativitet (null): Total avsaknad av infärgning i epitelet med positivitet i intern kontroll (nukleär infärgning i inflammatoriska eller stromala celler).
- Cytoplasmatisk: Cytoplasmatisk infärgning med eller utan nukleär infärgning med positiv intern kontroll (nukleär infärgning i inflammatoriska eller stromala celler).

Figur 4. Vildtyp-infärgningar i p53. Till vänster utspridd (scattered). Till höger mitt-epitelial (mid-epithelial), basalt negativ, vilken kan ses i HPV-relaterade lesioner.
Figur 5. P53-infärgningar som kan ses vid TP53-mutation. Uppe till vänster basalt överuttryck. Uppe till höger basalt och parabasalt överuttryck. Nere till vänster null, helt negativ. Nere till höger cytoplasmatisk infärgning.
I de flesta fall med skivepitelcancer där en kringliggande intraepitelial komponent identifieras ses samma typ av infärgningsmönster i p53 i båda komponenterna. P53-färgning kan ha ett värde vid bedömning av radikalitet på morfologiskt svårbedömda intraepiteliala HPV-oberoende lesioner. Det har dock rapporterats om avvikande p53-infärgning i morfologiskt normalt skivepitel i vulva, analogt med exempelvis p53-signatur i tuba [8-13].
Kärlmarkörer
I utredning av lymfovaskulär invasion (LVSI) kan immunfärgning med kärlmarkörer D2-40, ERG, CD31 eller CD34 vara till hjälp. I samband med immunfärgning kan en ny H&E-nivå tas för att relatera immunfärgningen till morfologin. Färgning av LVSI är inte obligatorisk, och det behövs inte heller någon indelning mellan lymfatiska och hematovaskulära spatier.
Immunfärgningar vid tidig invasion
Tidig invasion i skivepitelcancer och adenocarcinom diagnostiseras på rutin-H&E-snitt. Ingen immunhistokemisk färgning har visat sig ha diagnostiskt värde för att påvisa invasion. Därför är ytterligare H&E-nivåer och intern konsultation förstahandsval för undersökning av misstänkt invasivt fokus.
S-100, HMB-45, MelanA, SOX10
Dessa markörer kan vara användbara vid differentiering mot melanom.
Immunohistokemi vid misstänkt Mb Paget
Intraepitelial växt av maligna celler kan förekomma antingen primärt, som extramammar Morbus Paget, men även sekundärt till maligniteter t.ex i rektum eller urinblåsan. Även pagetoid växt av dysplastiska keratinocyter kan förekomma från en intilliggande HSIL. Detta kan undersökas närmare med en panel av immunohistokemiska färgningar, till exempel CDX2, CK7, GATA3 och CK20.
Sentinel Node
Sentinel nodes, eller portvaktskörtlar, från patienter med vulvacancer ska undersökas med ultrastaging. KVAST-gruppen i gynpatologi rekommenderar följande:
Samtliga sentinel nodes bäddas i sin helhet och på sådant sätt att man kan avgöra antal lymfkörtlar med eller utan metastas i respektive fraktion. Ultrastaging görs med följande protokoll som ett minimum:
- Makroskopiskt metastasmisstänkta lymfkörtlar: Körteln färgas med H&E.
- Makroskopiskt tumörfria lymfkörtlar: Initialt kan man göra ett H&E snitt och om detta är negativt gå vidare med immunfärgning och nivåsnittning enligt nedan. Alternativet är att genomföra nivåsnittningen direkt: H&E, nivåsnittning på 200-400 µm med H&E och cytokeratin (CKAE1/AE3), nivåsnittning på 200-400 µm med H&E och cytokeratin.
- Alternativt till direkt färgning med cytokeratin kan ofärgade glas sparas och färgas ifall H&E är negativ.
Motivering och diskussion
Diskussionen kring ultrastaging har varit komplicerad, inte minst pga vulvacancers sällsynta natur, vilket leder till brist på stora studier och evidensbaserade data [14]. Det finns ännu inga studier som jämför olika ultrastaging-protokoll med morbiditet (vanligtvis ljumskrecidiv) eller mortalitet som utfallsmått.
Tidigare försök med användning av protokollet från GROINSS-studierna [15, 16] har inneburit en betydande belastning för såväl rutin- som immunlaboratorier trots att det rör sig om relativt få fall. Jämförelser har gjorts med grannländerna, som inte använder ett så extensivt protokoll.
Sammantaget anser inte KVAST-gruppen det motiverat att fortsätta använda studieprotokollet utan förordar en återgång till ovanstående som rutin.
Information i remissens svarsdel
Makroskopisk beskrivning
- Preparatbeskrivning: Hur preparatet inkom (färskt/fixerat). Typ av preparat, antal fraktioner, preparatstorlek, eventuella markeringar, beskrivning av eventuell tuschning.
- Beskrivning av förändringar: Tumörlokalisation och storlek.
- Övrigt: Väsentliga bifynd och fynd som kan påverka den patologiska bedömningen (t ex. bristfällig fixering eller trasigt preparat).
- Makrofoto taget?
Mikroskopiutlåtande
Biopsier
Preoperativa biopsier bör bedömas med avseende på in situ och/eller invasiv cancer, tumörtyp (skivepitelcancer, Paget m.m.) samt invasionsdjup. Om invasionsdjupet inte är bedömbart t.ex. vid snedsnittat material, bör detta anges.
Operationspreparat
- Tumörtyp, inklusive p16-status och p53-status (wild type eller aberrant) vid skivepitelcancer.
- Horistontell utbredning av den invasiva komponenten. Viktig gräns vid 2 cm.
- Viktig gräns vid 1 mm.
- Invasion i lymf-/blodkärl.
- Förekomst av HSIL/HPV-oberoende VIN/lichen sclerosus.
- Marginaler
- Förekomst av HSIL/HPV-oberoende VIN i resektionsrand
- Marginaler <5mm mot invasiv komponent anges med riktning/klockslag och mått. Om marginalen understiger 5 mm i ett större område kan den anges med områdets riktningar samt minsta marginal, exempelvis "Kl 10-12 minsta marginal 3 mm".
- Lymfkörtlar, non sentinel nodes resp. sentinel nodes
- totalt antal lymfkörtlar, per lymfkörtelstation
- antal med metastas per lymfkörtelstation.
- extrakapsulär växt eller, om detta inte ses, antal metastaser (1 el >2) större än 5 mm.
- isolerade tumörceller (ITC), det vill säga ensamma celler eller små kluster av celler mätande som mest 0,2 mm i utbredning
- Angående multifokalitet: Kriterier för när multifokal cancer föreligger finns ännu inte i vulva. Vid flera små invasiva foci inom ett område med sammanhängande dysplasi bör man vara återhållsam med att använda begreppet multifokal cancer. I första hand får den kliniska bilden avgöra när två eller flera från varandra skilda tumörer föreligger, men frågan kan också tas upp till diskussion vid MDK i det enskilda fallet.
- Melanom: För detaljer kring parametrar att bedöma och svara ut hänvisas till KVAST-doumentet för malignt melanom.
Svarsdelen bör också innehålla, oavsett typ av preparat:
- Namn på ansvarig diagnostiker.
- Svarsdatum.
- Typ av svar (preliminärt, definitivt, konsultationsutlåtande).
Rekommenderade klassifikationssystem
Intraepiteliala skivepitellesioner
För en utförlig beskrivning av HPV-associerade intraepiteliala skivepitellesioner hänvisas till Svensk Förening för Patologi och Kvalitets- och standardiserings-dokumentet för cervixpatologi. I vulva utgör HPV-associerad cancer endast en andel av all skivepitelcancer. Intraepiteliala skivepitellesioner i vulva klassificeras utifrån de kriterier som anges i LAST-projektet och WHO med tillägget av HPV-oberoende VIN som inte finns i cervix [6, 17].
Låggradig intraepitelial skivepitellesion (LSIL)
Koilocytiska, platta låggradiga HPV-förändringar med och utan "atypi" bör diagnostiseras som LSIL. Båda dessa har ett gemensamt biologiskt ursprung. De flesta LSIL är varken dysplastiska eller neoplastiska, utan motsvarar HPV-infektion, varför termen "lesion" rekommenderas. Papillomatösa låggradiga lesioner såsom condyloma acuminatum och skivepitelpapillom räknas inte in i LSIL enligt WHO 2020[6, 17, 18].
Tidigare benämningar som bör fasas ut:
- lätt/lindrig skivepiteldysplasi/VIN1
- platt kondylom
- ”koilocytos”
- ”koilocytiskt atypi”
- HPV-effekt
Histopatologi: Proliferation av basala och parabasala celler som kan vara minimal och vanligtvis omfattar som mest den basala tredjedelen av epitelet. Mitoser och positivitet i proliferationsmarkör ki67 kan dock ses i hela epitelets tjocklek. Mitoser ses mest inom de mer parabasala delarna av epitelet och atypiska mitoser saknas. I de ytliga delarna av epitelet ses koilocytos med ökad mängd cytoplasma och man saknar den kärnträngsel som vanligtvis ses vid HSIL. Den koilocytotiska kärnatypin varierar. LSIL kan ses vid både låg- och högrisk-HPV och kan ibland, i samband med högrisk-HPV, vara p16-blockpositiv. Skivepitelförändringar som inte uppfyller de nödvändiga kriterierna för LSIL är icke-diagnostiska för HPV-infektion.
Höggradig intraepitelial skivepitellesion (HSIL)
Tidigare benämningar som bör fasas ut:
- måttlig skivepiteldysplasi/VIN2
- grav skivepiteldysplasi/VIN3
- skivepitelcancer in situ
Histopatologi: Morfologin vid HSIL ses som en proliferation av hyperkromatiska keratinocyter med ökad kärnstorlek, oregelbundna kärnmembran och hög kärn-cytoplasma-ratio. Epitelet har störd utmognad och ökad mitotisk aktivitet. Mitoser, även atypiska, ses ofta i mellersta och/eller ytliga tredjedelen av epitelet. Två varianter av HSIL finns beskrivna, basaloid och vårtig, men överlappning mellan dessa båda morfologiska mönster är vanlig. HSIL har i sällsynta fall morfologi liknande dVIN eller Pagets sjukdom[17, 19].
HPV-oberoende VIN
Den vanligaste HPV-oberoende intreepiteliala lesionen är differentierad VIN (dVIN). Den förekommer oftare hos äldre kvinnor jämfört med HSIL och är i många fall associerad till inflammatoriska tillstånd i vulva, framför allt lichen sclerosus [17, 20]. Risken för progression till cancer är större och tidsförloppet från dVIN till invasiv cancer är kortare än vid HSIL. Diagnosen ställs i de flesta fall i efterhand och dVIN ses ofta i anslutning till redan invasiv cancer. Många fall av dVIN har mutationer i TP53-genen och har avvikande infärgningsmönster i immunhistokemi för p53-proteinet. Detta beskrivs mer i avsnitt 2.5.2 Rekommenderad immunhistokemi. Observera att p53 kan uppvisa vissa mönster av överuttryck även i inflammatoriska, ischemiska och HPV-relaterade tillstånd [17, 21-23].
Histopatologi dVIN: Basal cellatypi och atypiska mitoser i basalislagret. Epitelet mognar ut och kan vara allt från atrofiskt till akantotiskt. Rikligt med basala mitoser, ibland atypiska, brukar ses. Abrupt keratinisering är också karaktäristiskt med dyskeratos och encellskeratinisering. Nukleolerna är prominenta och retetapparna ofta förlängda[17, 21].
Två andra typer av HPV-oberoende intraepiteliala lesioner med association till skivepitellesioner finns beskrivna: vulvar acanthosis with altered differentiation (VAAD) och differentiated exophytic vulvar intraepithelial lesion (DEVIL). Det har föreslagits att dessa ska samlas under benämningen vulvar aberrant maturation (VAM) [24, 25]. De karaktäriseras båda av frånvaro av cellulär atypi och har istället framträdande arkitektoniska avvikelser såsom exofytisk växt och akantotisk eller verruciform arkitektur. I VAAD ses ofta flerlagrig parakeratos och ytlig blekhet i keratinocyternas cytoplasma. VAAD har observerats framför allt i kanterna av verrucös skivepitelcancer. DEVIL och VAAD har vanligtvis inte mutationer i TP53 [17, 26-28]
En andel av de intraepiteliala skivepitellesionerna har morfologiskt överlappande bild och det finns HPV-oberoende VIN med utseende av HSIL och tvärtom. Vid överlappande morfologi eller diskrepans mellan morfologisk bild och immunhistokemiskt utfall (se 2.5.2) kan PCR eller annan metod för påvisande av HPV bli avgörande för klassificeringen av lesionen [9, 29-31].
Epiteliala tumörer
Skivepitelcancer, HPV-associerad
HPV-associerad skivepitelcancer i vulva är ofta exofytisk och multifokalitet är vanligt. HPV-associerad skivepitelcancer är oftare måttligt till lågt differentierad och basaloid samt vårtig (warty/condylomatous) typ är klassiska. Keratinisering ses dock i en tredjedel av fallen och blandad morfologi är vanligt [17].
Skivepitelcancer, HPV-oberoende
HPV-oberoende skivepitelcancer är i vår del av världen vanligare än HPV-associerad, men prevalensen varierar beroende på HPV-förekomst. Ca 60 % av skivepitelcancer är associerad med inflammatoriska dermatoser t.ex. lichen simplex chronicus, lichen sclerosus och HPV-oberoende VIN. Denna cancer är mestadels keratiniserade och har oftast fibromyxoid dermal reaktion samt är ofta associerad med TP53-mutation. Verrukös typ, som i randzonen ofta är associerad med VAAD (Vulvar acanthosis with altered differentiation) och lågrisk-HPV (HPV6), tillhör denna grupp [26]. Den kan infiltrera djupt och lokalt destruktivt men ger endast sällan lymfkörtelmetastaser. Denna subtyp är mycket ovanlig och diagnosen kan endast ställas i frånvaro av områden med mer klassiskt infiltrerande cancer [17, 19].
Prognostiska faktorer vid skivepitelcancer
Prognostiska faktorer vid skivepitelcancer är invasionsdjup, storlek, kärlinväxt och lymfkörtelmetastasering men inte differentieringsgrad. Numer står det också klart att HPV-oberoende cancer har sämre prognos än HPV-associerad. TP53-mutationsstatus har föreslagits ha prognostisk betydelse men detta är ännu inte säkert fastslaget. Enligt WHO är blockpositivitet i p16-immunhistokemi en acceptabel surrogatmarkör för engagemang av högrisk-HPV i vulva[17]. P16- och p53-status i invasiv skivepitelcancer i vulva bör rapporteras och p53 svaras ut som wild type eller aberrant mutationsinfärgning. Ett observandum är att blockpositivitet eller överuttryck i p16 kan ses som en konsekvens av TP53 mutation [8]. I tveksamma fall, t ex keratiniserande cancer eller svårtolkad p16-färgning, kan påvisande av högrisk-HPV med PCR eller annan mer specifik metod vara av värde. Vid svårigheter med bedömning av p16 och/eller p53 immunhistokemi kan fallet skickas för konsultation till referenspatolog vid nationellt vulvacenter.
Basalcellscancer
En invasivt växande tumör uppbyggd främst av celler som liknar basalceller från epidermis och har perifer palissadering. Tumören kan uppvisa skivepiteldifferentiering [20].
Morbus Paget
Primär Mb Paget är ovanlig och drabbar vanligtvis personer över 60 år. Cytoplasmarika atypiska celler med körteldifferentiering vandrar upp i skivepitelet. Lesionen är oftast primär och endast intraepitelial i vulva men i en mindre andel av fallen finns ett underliggande adenocarcinom, vanligen i hudens adnexorgan. Så kallad sekundär Mb Paget med ursprung i carcinom i exempelvis cervix, urinblåsa, anus eller rectum är sällsynt.
Tumörcellerna är keratinpositiva och slemförande (PAS- alt. mucikarmin-positiva). Immunhistokemi i primär Mb Paget visar framför allt positivitet i CK7 och GATA3 men även EMA- och CEA-positivitet samt CK20- och ER-negativitet[17, 32, 33].
Adenocarcinom i vulvakörtlar
Maligniteter med ursprung i Bartholinikörtlar kan vara av olika epiteltyper. Skivepitelcancer respektive adenocarcinom av olika slag ses i 40 % vardera. Resterande består av adenoidcystisk, adeno-skvamös, uroepitelial och småcellig cancer. Maligniteter kan även uppstå ur andra körtelstrukturer i vulva. En viktig differentialdiagnos är papillärt hidradenom. Adenocarcinom i vulva är vanligtvis HPV-negativa [17, 34].
Papillärt hidradenom
Papillärt hidradenom är en benign tumör som tros utgå ifrån anogenitala mammarliknande körtlar. Den sitter oftast i interlabiala sulcus eller på yttre blygdläpparna. Den är välavgränsad och uppbyggs av komplexa grenade och sammangående tubuli och papiller bestående av tunna fibrovaskulära strukturer som kläds av ett monomorft kuboidalt till kolumnärt cylinderepitel med underliggande myoepiteliala celler. Mitoser ses vanligtvis och den mitotiska aktiviteten kan vara hög. Tumören kan recidivera om den inte borttages i sin helhet. [17]
Bifasiska stromala/epiteliala tumörer
Fibroadenom
Fibroadenomet är ovanligt i vulva och utgörs av en benign, välavgränsad bifasisk tumör med körtel- och stromakomponenter. Stromat är ensartat, hypocellulärt med spolformiga eller stellata celler utan atypi. Körtelkomponenten kan vara av olika morfologiska varianter. Mitotisk aktivitet är låg eller saknas. Båda komponenterna brukar uttrycka östrogen- och progesteronreceptor. [17]
Phyllodestumör
Phyllodestumör är en bifasisk tumör bestående av mammarliknande epitel och leaf-like arkitektur med stromal hypercellularitet och proliferation framför allt kring epiteliala komponenten. Den delas upp i benign, borderline och malign beroende på grad av atypi och mitotisk aktivitet i stromat såsom i motsvarigheten i bröst där den är betydligt vanligare.[17]
Melanom
Melanom utgör 5% av maligna tumörer i vulva och vagina[17]. För detaljer kring parametrar att bedöma och svara ut hänvisas till KVAST-dokumentet för malignt melanom.
Mjukdelstumörer
I nedre gyntrakten finns flera platsspecifika mesenkymala tumörtyper. Specifikt bör nämnas det aggressiva angiomyxomet som har ett utpräglat infiltrativt växtsätt och som ofta recidiverar lokalt. Denna entitet anmäls till tumörregistret.
Administrativt
SNOMED
Nedan räknas de vanligaste eller för området typiska tillstånden upp. För övriga tumörer och tillstånd, se utökad kodlista i WHO-boken
Vulva T80000
- Låggradig intraepitelial skivepitellesion/LSIL M80770
- Höggradig intraepitelial skivepitellesion/HSIL M80772
- Condyloma acuminatum M80770
- HPV-oberoende VIN/ Differentierad VIN M80712
- Skivepitelcancer HPV-associerad M80853
- Skivepitelcancer HPV-oberoende M80863
- Seborrhoisk keratos M80520
Inflammatoriska lesioner/icke neoplastiska förändringar
- Lichen sclerosus et atroficus M58240
- Lichen planus M48890
Förändringar i körtelepitel
- Pagets sjukdom, extramamillär M85423
- Tumörer utgående från Bartholinikörtlar och liknande körtlar kodas på respektive tumörtyp
- Adenocarcinom M81403
- Skivepitelcancer M80703
- Urotelial cancer M81203
- Papillärt hidradenom M84050
Mjukdelstumörer
- Fibroepitelial stroma-polyp M07681
- Superficiellt angiomyxom M88410
- Superficiellt myofibroblastom M88250
- Cellrikt angiofibrom M91600
- Angiomyofibroblastom M88260
- Aggressivt angiomyxom M88410
pTNM-klassificering
pTNM-klassificering [4]
|
pTNM |
Förklaring |
|
T - vulva |
|
|
T1 |
Tumör begränsad till vulva eller vulva och perineum |
|
T1a |
Tumör ≤2 cm och stromainvasion ≤1 mm |
|
T1b |
Tumör >2 cm eller stromainvasion >1mm |
|
T2 |
Invasion av nedre 1/3 uretra, nedre 1/3 vagina eller anus |
|
T3 |
Invasion av urinblåsans mucosa, rektums mucosa, övre 2/3 uretra, övre 2/3 vagina eller fixerad mot skelett |
|
N – inguinala lymfkörtelmetastaser |
|
|
N0 |
Lymfkörtelmetastaser finns ej |
|
N1a |
1-2 körtlar <5 mm |
|
N1b |
1 körtel ≥5 mm |
|
N2a |
≥3 körtlar <5 mm |
|
N2b |
≥2 körtlar ≥5 mm |
|
N2c |
Extrakapsulär växt |
|
N3 |
Fixerad eller ulcererad |
|
M – fjärrmetastaser |
|
|
M0 |
Inga fjärrmetastaser |
|
M1 |
Fjärrmetastaser (inkl. pelvina lymfkörtelmetastaser) |
Stadieindelning enligt FIGO
|
Stadium |
Förklaring |
|
Stadium I |
Tumör begränsad till vulva. |
|
IA |
Tumör ≤2 cm och infiltrationsdjup ≤1 mm. |
|
IB |
Tumör >2 cm eller infiltrationsdjup >1 mm. |
|
Stadium II |
Tumör av alla storlekar med utbredning till distala 1/3 av uretra, vagina eller anus. Inga lymfkörtel- eller fjärrmetastaser. |
|
Stadium III |
Tumör av alla storlekar med utbredning till övre delen av intilliggande perineala strukturer eller med ofixerade, icke ulcererade lymfkörtlar med metastas. |
|
IIIA |
Tumör av alla storlekar med utbredning till övre 2/3 av uretra eller vagina, till urinblåsans mukosa, rektal mukosa eller förekomst av regionala lymfkörtelmetastaser ≤ 5mm. |
|
IIIB |
Regionala* lymfkörtelmetastaser >5 mm. |
|
IIIC |
Regionala* lymfkörtelmetastaser med extrakapsulär växt. |
|
Stadium IV |
Tumör oavsett storlek fixerad till ben, eller fixerade, ulcererade lymfkörtelmetastaser, eller fjärrmetastaser. |
|
IVA |
Tumör fixerad till bäckenben eller fixerade eller ulcererade regionala* lymfkörtelmetastaser. |
|
IVB |
Fjärrmetastaser. |
* Regional innebär inguinala och femorala lymfkörtlar.
Kvalitetsarbete för patologin
Förslag på kvalitetsindikatorer
- Totalt antal px, biopsier och excisioner från vulva
- Antal LSIL
- Antal HSIL
- Antal invasiv skivepitelcancer
- Antal invasivt adenocarcinom
- Extern kvalitetssäkring av p16-immunhistokemi
- Antal cancerfall som undersökts med p16 eller HPV-diagnostik
Övrigt
KVAST-grupp för gynekologisk patologi 2021
Sammankallande:
Sofia Westbom Fremer, Skånes universitetssjukhus, Lund
sofia.westbom-fremer@skane.se
Dokumentet har uppdaterats av:
Sofia Westbom Fremer, Skånes universitetssjukhus, Lund
sofia.westbom-fremer@skane.se
Constantina Mateoiu, Sahlgrenska universitetssjukhuset, Göteborg
constantina.mateoiu@vgregion.se
Anna Måsbäck, Skånes universitetssjukhus, Lund
Anna.Masback@skane.se
Angeliki Papagiannopoulou, Linköpings universitetssjukhus, Linköping
Angeliki.Papagiannopoulou@regionostergotland.se
Annika Patthey, Norrlands universitetssjukhus, Umeå
annika.patthey@regionvasterbotten.se
Övriga gyn KVAST medlemmar (2021):
Malin Båtsman, Norrlands universitetssjukhus, Umeå
malin.batsman@regionvasterbotten.se
Henrik Edvardsson, Centralsjukhuset Karlstad, Karlstad
henrik.edvardsson@liv.se; henrik.k.edvardsson@sll.se
Eva Lundin, Norrlands universitetssjukhus, Umeå
eva.lundin@medbio.umu.se
Josefin Severin-Karlsson, Karolinska universitetssjukhuset, Stockholm
Josefin.severin-karlsson@sll.se
Diana Taslica, Akademiska sjukhuset, Uppsala
diana.lizuca.taslica@akademiska.se
Sandra Wessman, Karolinska universitetssjukhuset, Stockholm
sandra.wessman@sll.se
Referenser
- Roberts CC, Liaw KL, Skjeldestad FE, Jansen KU, Bryan JT. Importance of specimen type in detecting human papillomavirus DNA from the female genital tract. Journal of medical virology. 2009;81(9):1620-6.
- Sahasrabuddhe VV, Gravitt PE, Dunn ST, Brown D, Allen RA, Eby YJ, et al. Comparison of human papillomavirus detections in urine, vulvar, and cervical samples from women attending a colposcopy clinic. Journal of clinical microbiology. 2014;52(1):187-92.
- Abdel-Mesih A, Daya D, Onuma K, Sur M, Tang S, Akhtar-Danesh N, et al. Interobserver Agreement for Assessing Invasion in Stage 1A Vulvar Squamous Cell Carcinoma. Am J Surg Pathol. 2013;37(9):1336-41.
- Olawaiye AB, Cotler J, Cuello MA, Bhatla N, Okamoto A, Wilailak S, et al. FIGO staging for carcinoma of the vulva: 2021 revision. International journal of gynaecology and obstetrics: the official organ of the International Federation of Gynaecology and Obstetrics. 2021;155(1):43-7.
- Skala SL, Ebott JA, Zhao L, Lieberman RW. Predictive Value of an Alternative Strategy for Measuring Depth and Size of Stage 1 Vulvar Squamous Cell Carcinoma. J Low Genit Tract Dis. 2020;24(3):265-71.
- Darragh TM, Terence JC, Cox T, Heller DS, Henry MR, Luff RD, et al. The Lower Anogenital Squamous Terminology Standardization project for HPV-associated lesions: background and consensus recommendations from the College of American Pathologists and the American Society for Colposcopy and Cervical Pathology. Int J Gynecol Pathol. 2013;32(1):76-115.
- Dong F, Kojiro S, Borger DR, Growdon WB, Oliva E. Squamous Cell Carcinoma of the Vulva. Am J Surg Pathol. 2015;39(8):1045-53.
- Kortekaas KE, Solleveld-Westerink N, Tessier-Cloutier B, Rutten TA, Poelgeest MIE, Gilks CB, et al. Performance of the pattern-based interpretation of p53 immunohistochemistry as a surrogate for TP53 mutations in vulvar squamous cell carcinoma. Histopathology. 2020;77(1):92-9.
- Griesinger LM, Walline H, Wang GY, Lorenzatti Hiles G, Welch KC, Haefner HK, et al. Expanding the Morphologic, Immunohistochemical, and HPV Genotypic Features of High-grade Squamous Intraepithelial Lesions of the Vulva With Morphology Mimicking Differentiated Vulvar Intraepithelial Neoplasia and/or Lichen Sclerosus. Int J Gynecol Pathol. 2020.
- Liu YA, Ji JX, Almadani N, Crawford RI, Gilks CB, Kinloch M, et al. Comparison of p53 immunohistochemical staining in differentiated vulvar intraepithelial neoplasia (dVIN) with that in inflammatory dermatoses and benign squamous lesions in the vulva. Histopathology. 2020.
- Rakislova N, Alemany L, Clavero O, Saco A, Torne A, Del Pino M, et al. p53 Immunohistochemical Patterns in HPV-Independent Squamous Cell Carcinomas of the Vulva and the Associated Skin Lesions: A Study of 779 Cases. Int J Mol Sci. 2020;21(21).
- Tessier-Cloutier B, Kortekaas KE, Thompson E, Pors J, Chen J, Ho J, et al. Major p53 immunohistochemical patterns in in situ and invasive squamous cell carcinomas of the vulva and correlation with TP53 mutation status. Mod Pathol. 2020;33(8):1595-605.
- Thompson EF, Chen J, Huvila J, Pors J, Ren H, Ho J, et al. p53 Immunohistochemical patterns in HPV-related neoplasms of the female lower genital tract can be mistaken for TP53 null or missense mutational patterns. Mod Pathol. 2020;33(9):1649-59.
- Euscher ED, Malpica A. Gynaecological malignancies and sentinel lymph node mapping: an update. Histopathology. 2020;76(1):139-50.
- Te Grootenhuis NC, van der Zee AG, van Doorn HC, van der Velden J, Vergote I, Zanagnolo V, et al. Sentinel nodes in vulvar cancer: Long-term follow-up of the GROningen INternational Study on Sentinel nodes in Vulvar cancer (GROINSS-V) I. Gynecol Oncol. 2016;140(1):8-14.
- Oonk MH, van Hemel BM, Hollema H, de Hullu JA, Ansink AC, Vergote I, et al. Size of sentinel-node metastasis and chances of non-sentinel-node involvement and survival in early stage vulvar cancer: results from GROINSS-V, a multicentre observational study. Lancet Oncol. 2010;11:646–52.
- Female Genital Tumors / WHO Classification of Tumours Editorial Board. 5 ed: Lyon: International Agency for Research on Cancer.; 2020.
- Bornstein J, Bogliatto F, Haefner HK, Stockdale CK, Preti M, Bohl TG, et al. The 2015 International Society for the Study of Vulvovaginal Disease (ISSVD) Terminology of Vulvar Squamous Intraepithelial Lesions. Obstet Gynecol. 2016;127(2):264-8.
- AFIP Atlas of tumor pathology Series 2. Tumors of the cervix, vagina and vulva. Kurman RJea, editor: ARP Press Silver Spring, Maryland.; 2010.
- Blaustein´s Pathology of the Female Genital Tract. 7 ed. Kurman RJ, Hedrick Ellenson L, Ronnett B. M, editor: Springer International Publishing; 2019.
- Reyes MC, Cooper K. An update on vulvar intraepithelial neoplasia: terminology and a practical approach to diagnosis. Journal of clinical pathology. 2014;67(4):290-4.
- McAlpine JN, Kim SY, Akbari A, Eshragh S, Reuschenbach M, von Knebel Doeberitz M, et al. HPV-independent Differentiated Vulvar Intraepithelial Neoplasia (dVIN) is Associated With an Aggressive Clinical Course. International journal of gynecological pathology : official journal of the International Society of Gynecological Pathologists. 2017;36(6):507-16.
- Hoang LN, Park KJ, Soslow RA, Murali R. Squamous precursor lesions of the vulva: current classification and diagnostic challenges. Pathology. 2016;48(4):291-302.
- Day T, Marzol A, Pagano R, Jaaback K, Scurry J. Clinicopathologic Diagnosis of Differentiated Vulvar Intraepithelial Neoplasia and Vulvar Aberrant Maturation. J Low Genit Tract Dis. 2020;24(4):392-8.
- Heller DS, Day T, Allbritton JI, Scurry J, Radici G, Welch K, et al. Diagnostic Criteria for Differentiated Vulvar Intraepithelial Neoplasia and Vulvar Aberrant Maturation. J Low Genit Tract Dis. 2021;25(1):57-70.
- Nascimento A, Granter S, Cviko A, Yuan L, Hecht J, Crum C. Vulvar Acanthosis With Altered Differentiation: A Precursor to Verrucous Carcinoma? Am J Surg Pathol. 2004;28(5):638-43.
- Watkins JC, Howitt BE, Horowitz NS, Ritterhouse LL, Dong F, MacConaill LE, et al. Differentiated exophytic vulvar intraepithelial lesions are genetically distinct from keratinizing squamous cell carcinomas and contain mutations in PIK3CA. Modern pathology : an official journal of the United States and Canadian Academy of Pathology, Inc. 2017;30(3):448-58.
- Tessier-Cloutier B, Pors J, Thompson E, Ho J, Prentice L, McConechy M, et al. Molecular characterization of invasive and in situ squamous neoplasia of the vulva and implications for morphologic diagnosis and outcome. Mod Pathol. 2020.
- Nooij LS, Ter Haar NT, Ruano D, Rakislova N, van Wezel T, Smit V, et al. Genomic Characterization of Vulvar (Pre)cancers Identifies Distinct Molecular Subtypes with Prognostic Significance. Clinical cancer research : an official journal of the American Association for Cancer Research. 2017;23(22):6781-9.
- Hinten F, Molijn A, Eckhardt L, Massuger L, Quint W, Bult P, et al. Vulvar cancer: Two pathways with different localization and prognosis. Gynecol Oncol. 2018;149(2):310-7.
- Watkins JC, Yang E, Crum CP, Herfs M, Gheit T, Tommasino M, et al. Classic Vulvar Intraepithelial Neoplasia With Superimposed Lichen Simplex Chronicus: A Unique Variant Mimicking Differentiated Vulvar Intraepithelial Neoplasia. International journal of gynecological pathology : official journal of the International Society of Gynecological Pathologists. 2019;38(2):175-82.
- Morbeck D, Tregnago AC, Baiocchi G, Sacomani C, Peresi PM, Osorio CT, et al. GATA3 expression in primary vulvar Paget disease: a potential pitfall leading to misdiagnosis of pagetoid urothelial intraepithelial neoplasia. Histopathology. 2017;70(3):435-41.
- Zhao M, Zhou L, Sun L, Song Y, Guo Y, Zhang X, et al. GATA3 is a sensitive marker for primary genital extramammary paget disease: an immunohistochemical study of 72 cases with comparison to gross cystic disease fluid protein 15. Diagnostic pathology. 2017;12(1):51.
- Ouldamer L, Chraibi Z, Arbion F, Barillot I, Body G. Bartholin's gland carcinoma: epidemiology and therapeutic management. Surgical oncology. 2013;22(2):117-22.