Bilaga 6. Kvalitetsbilaga för patologi (KVAST-bilaga)
Versionshantering
|
Datum |
Beskrivning av förändring |
|
2017-11-10 |
Inför remissrunda november 2017 |
|
2020-09-01 |
|
|
2023-09-29 |
Uppdatering av text och bild samt nytt avsnitt avseende bedömning av patologisk respons vid neoadjuvant behandling. |
|
2024-06-11 |
Inlagt i ny mall |
|
2025-06-24 |
Uppdatering avseende patologisk respons, specialanalyser och histopatologiska utlåtanden. Uppdatering av klassifikation av hudtumörer (WHO 2023) och melanom in situ och dysplastisk nevus (MPATH-Dx, WHO-klassifikation (2023). |
Klinisk bakgrundsinformation och patologins roll i den diagnostiska processen
Anamnes, klinisk bedömning och dermatoskopi är viktiga för att skilja ut melanocytära tumörer från andra hudtumörer och för att identifiera misstänkta dysplastiska nevi och melanom. Samstämmigheten mellan klinisk och histopatologisk bedömning varierar; för dysplastiskt nevus är den 27–69 procent beroende på lesionens storlek [1-3]. Samtidigt inkommer cirka 34 procent melanom med annan frågeställning [4]. Den histopatologiska bedömningen av melanocytära tumörer är ”gold standard” och avgörande för diagnos, klinisk handläggning och prognos.
Melanocytära tumörer är en mycket heterogen tumörgrupp såväl kliniskt som histopatologiskt. Förutom väl definierade varianter av nevi som ”vanliga” nevi, Spitz nevi, blå nevi och varianter av melanom som SSM, LMM, AM och NM finns det många svårdefinierade melanocytära tumörer, såväl benigna som maligna. Särskilt problematisk är en grupp av intermediära melanocytära tumörer med överlappande morfologi mellan nevus och melanom som dysplastiskt nevus, Spitz melanocytom (atypisk Spitz tumör /AST), Spitz tumör med oklar malignitetspotential (STUMP) och olika typer av melanocytära tumör med oklar malignitetspotential (MELTUMP). Det finns även maligna icke melanocytära tumörer (klarcellssarkom och malign perifer nervskidetumör) som har överlappande morfologi och immunfenotyp med melanom.
Sammantaget gör detta att diagnostiken av melanocytära tumörer oftast är mycket krävande. Subspecialisering är nödvändig för att uppnå och utveckla tillräcklig kompetens inom området. För att säkerställa kvalitet är det önskvärt att det på varje patologavdelning finns en patolog som ansvarar för diagnostiken av melanocytära tumörer. Kontinuerlig fortbildning är i enlighet med SvFP:s dokument från 2015-10-12 ett krav i ackrediterad verksamhet, se:
https://svfp.se/media/nlwc2rla/fortydligande_kompetens-fortbildn_v10.pdf.
Syftet med det histopatologiska utlåtandet är att ge behandlande läkare den information som behövs för optimal handläggning och prognosbedömning. För bättre diagnostisk säkerhet vid bedömning av oklara och svårvärderade fall som Spitz melanocytom (AST), STUMP eller MELTUMP rekommenderas användning av gällande kriterier, immunhistokemiska färgningar, nedsnittning, konsultation hos subspecialiserad dermatopatolog och klinisk-patologisk korrelation. Framställning av nya snittnivåer kan vara relevant men det är mycket viktigt att spara material för eventuella molekylära analyser. När immunhistokemisk utredning inte givit tillräckligt underlag för diagnos av STUMP/MELTUMP med tjocklek > 1 mm bör fallet diskuteras vid MDK för ställningstagande till diagnostisk molekylär analys. Dessa fall bör handläggas individuellt inom högspecialiserad vård.
Multicenter Selective Lymphadenectomy Trial-1 (MSLT-1) har visat förlängd sjukdomsfri överlevnad vid portvaktskörtelbiopsibaserad stadieindelning samt förlängd melanomspecifik överlevnad för melanom med tjocklek 1,2–3,5 mm [5], vilket ställde ökade krav på diagnostik av portvaktskörtelbiopsier, eftersom resultaten kopplades till kompletterande lymfkörtelutrymning. Dessa resultat har dock inte bekräftats av MSLT-2 som randomiserade 1934 patienter med positiv portvaktskörtel till lymfkörtelutrymning (n=967) eller observation med ultraljud (n=967). Den melanom-specifika överlevnaden vid 3 år var 86 procent i båda grupperna [6].
Fas III-studie (DeCOG-SLT) randomiserade 483 patienter med metastas ≤ 1,0 mm i portvaktskörteln till antingen kompletterande lymfkörtelutrymning eller observation.
Hos de patienter som genomgått körtelutrymning såg man färre regionala recidiv (8,3 % vs 14,6 %), men efter en genomsnittlig uppföljning under 3 år såg man ingen skillnad i total eller melanom-specifik överlevnad [7]. Kompletterande lymfkörtelutrymning rekommenderas därför inte längre vid metastas i portvaktskörteln i det nationella vårdprogrammet för malignt melanom förutom i enstaka fall.
I det nationella vårdprogrammet för melanom 2013 fanns två alternativa protokoll, så kallat 4‑snittsprotokoll som undersöker cirka 30 mikrometer av centralplanet av en delad portvaktskörtel med en detektionsnivå på cirka 15,3 procent och så kallat 9-snittsprotokoll som undersöker cirka 400 mikrometer av centralplanet av en delad portvaktskörtel med en detektionsnivå på cirka 19 procent.
För att patienter ska få en jämlik bedömning av portvaktskörtelbiopsier och för nationella jämförelser är det en fördel om alla laboratorier använder samma protokoll 4-snittsprotokollet rekommenderas eftersom det bedöms ha tillräcklig detektionsnivå och är vävnadsbesparande.
Multidisciplinär konferens (MDK) är ett forum där patologen medverkar i utvalda fall. Specifik frågeställning bör då anges vid anmälan till konferensen. Rutinmässig eftergranskning och demonstration av alla fall avråds.
För detaljerad information avseende epidemiologi, klinisk bild, handläggning mm, se relevanta kapitel i vårdprogrammet: Nationellt vårdprogram melanom - RCC Kunskapsbanken.
Neoadjuvant behandling rekommenderas för kutant eller akralt melanom med makroskopisk operabel metastasering, vanligtvis lymfkörtelmetastaser.
Patologisk respons och kvarvarande tumörbörda är två metoder att bedöma preoperativ behandlingseffekt [8]. Bedömningen är global och avser all viabel resttumör i hela undersökta tumörområdet (tumörbädden).
Om ingen viabel resttumör påvisas bedöms det som komplett patologisk respons. Vid komplett patologisk respons är tumörbädden ersatt av hyalin fibros eller melanos. Variabel koagulativ tumörnekros är associerat med melanos.
Vid viabel resttumör används begrepp nästan komplett patologisk respons om det finns ≤ 10 % viabel resttumör, partiell patologisk respons om det finns 11–50 % viabel resttumör och ingen patologisk respons om det finns > 50 % viabel resttumör. Vid partiell patologisk respons och ingen patologisk respons påvisas varierande tumörnekros, melanos, lymfohistiocytär inflammation och/eller fibros.
Kvarvarande tumörbörda anger andel (%) viabel resttumör (addera ytan av viabel resttumör i alla undersökta snitt från samtliga metastaser) i tumörbädden (addera ytan av tumörbädden i alla undersökta snitt från samtliga metastaser).
En nyligen publicerad studie [9] har visat att 96 % av patienter med patologisk respons (komplett, nästan komplett och partiell patologisk respons) på immunoterapi var återfallsfria under uppföljningstid på 2 år, jämfört med 37 % av patienter med ingen patologisk respons. Överlevnaden för dessa patientgrupper var 99 % respektive 72 %.
För uppdaterade behandlingsrekommendationer rapporteras den patologiska responsen enligt följande: komplett patologisk respons, nästan komplett patologisk respons, partiell patologisk respons eller ingen patologisk respons.
Hudpreparat (melanom, melanom in situ, dysplastiskt nevus och utvidgad excision)
Anvisningar för provtagarens hantering av provet
Komplett excision med 2 mm marginal ner till fettet i underhuden ger möjlighet till säkrast histopatologisk diagnos av ett suspekt melanom [10-15]. I fall där hela förändringen av olika skäl inte kan excideras (t.ex. vid stora förändringar eller känsliga lokaler som ansikte, öron, ögonlock, handflator, fotsulor och genitalier) bör patienten remitteras till specialistklinik. Shavebiopsi avråds på grund av suboptimal bedömbarhet (morfologi, invasion, radikalitet).
Tunna eller svårorienterade preparat t.ex. från ögonlockshud nålas med fördel på korkplatta. Excisionspreparat kan märkas med sutur. Skiss eller bild kan eventuellt bifogas.
Preparatet/tumören bör inte skäras igenom. Delar av preparatet/tumören bör inte avlägsnas.
Vid avsteg från dessa rutiner krävs samråd med handläggande patologavdelning.
Preparatet skickas i ett tillräckligt stort kärl med 4-procentig buffrad formalin och med åtminstone 10 x preparatets volym.
Anamnestisk remissinformation
Obligatoriska uppgifter:
- Klinisk frågeställning
- Typ av preparat
- Hudförändringens lokalisation
- Hudförändringens storlek och utseende (t.ex. färg, ulceration, krusta, avgränsning)
- Klinisk excisionsmarginal
- Anamnes, ange särskilt:
- Hudförändringens utveckling under tid
- Ärftlighet och riskfaktorer
- Annan hudsjukdom i området
- Tidigare ingrepp i området
- Tidigare hudcancer eller annan malignitet
Vid utvidgad excision bör det anges om den tidigare diagnostiserade förändringen var radikalt borttagen eller inte.
Utskärningsanvisningar
Hela förändringen bäddas i form av ca 3 mm tjocka tvärskivor för histopatologisk undersökning. Användning av korssnitt rekommenderas inte.
För detaljerade instruktioner, se svensk förenings för patologis dokument ”Handläggning av hudprover – provtagningsanvisningar, utskärningsprinciper och snittning”.
Snittning och analyser
- Delade stansbiopsier bör inte trimmas.
- Minst två snittnivåer bör framställas från varje kloss.
- H&E rekommenderas som rutinfärgning.
Specialfärgningar, t.ex. Masson melaninfärgning och järnfärgning, kan användas för att karakterisera inlagrat pigment.
Nedsnittning och immunhistokemiska färgningar används vid behov. Rekommenderade melanocytmarkörer är MelanA, S100, SOX10 och HMB45, rekommenderade proliferationsmarkörer är Ki67 och PHH3. Det är en fördel att använda rött kromogen, t.ex. alkalisk fosfatas, i stället för DAB vid starkt pigmenterade tumörer. Immunhistokemiska markörer mot specifika genetiska förändringar, t.ex. ALK1, BAP1, ROS1, NTRK1, beta-catenin och BRAF, samt p16, och PRAME kan på laboratorier med specialkompetens användas på subtyper av atypiska melanocytära tumörer. Utfallet av immunhistokemiska färgningar måste sammanvägas med rutinmorfologi och den kliniska bilden, i synnerhet avseende PRAME [16]
När immunhistokemisk utredning inte givit tillräckligt underlag för diagnos av STUMP/MELTUMP med tjocklek > 1 mm bör fallet diskuteras vid MDK för ställningstagande till diagnostisk molekylär analys. Dessa fall bör handläggas individuellt inom specialiserad vård.
Information i remissens svarsdel
Melanom, melanom in situ, dysplastiskt nevus bör besvaras enligt mall.
För detaljerad information om bedömning av olika parametrar och mallar, se: svfp.se/kvast/hudpatologi.
Primärt invasivt melanom
Obligatoriska uppgifter:
- tumörtjocklek enligt Breslow mätt med 0,1 mm noggrannhet*
- förekomst av ulceration: ja/nej/ej bedömbar*
- patologisk stadieindelning
- Clarknivå
- mitoser i den intradermala komponenten: ja/nej/ej bedömbar
- histopatologisk typ (SSM, LMM, AM, NM, MMM eller annan)
- mikroskopiska satelliter: ja/nej /ej bedömbar*
- markerade regressionsfenomen: ja/nej/ej bedömbar
- radikalitet med angivelse av minsta sidomarginal i mm. Marginalen anges till den tumörcellen som är närmast sidoresektionskanten (invasiv eller in situ).
* Stadiegrundande uppgifter
Om någon av de obligatoriska uppgifterna inte kan bedömas bör detta anges i utlåtandet
Övriga fynd som bör anges om de förekommer: grad av solar elastos (låggradig/höggradig), vaskulär invasion, angiotropism, neurotropism, desmoplasi, preexisterande melanocytär lesion, tumörinfiltrerande lymfocyter, andra relevanta förändringar.
I de fall tumören är diagnostiserad i flera olika prov (till exempel biopsi och excision) bör anges att remittenten gör en samlad bedömning inför handläggningen av patienten.
Melanom in situ och dysplastiskt nevus med höggradig dysplasi
Dysplastiskt nevus med höggradig dysplasi och melanom in situ tillhör samma kategori av höggradiga intermediära melanocytära tumörer enligt WHO 2023 och MPATH-Dx 2.0 och handläggs på samma sätt [17, 18]. Gränsdragning mellan melanom in situ och dysplastiskt nevus med höggradig dysplasi kan vara svår och baseras i första hand på mikroskopisk analys av rutinfärgade snitt med användning av gällande diagnostiska kriterier. Immunhistokemiska färgningar är oftast inte nödvändiga för att bekräfta diagnosen.
Dysplastiska nevi har enligt WHO 2023 klinisk diameter > 5 mm och diameter >4 mm i formalinfixerade snitt.
Melanom in situ: obligatoriska uppgifter:
- Histopatologisk typ (SSM, lentigo maligna, akral lentiginös, mukosal, eller melanom in situ UNS)
- Radikalitet med angivelse av minsta sidomarginal i mm.
Marginalen anges till den tumörcellen som är närmast sidoresektionskanten (invasiv eller in situ). - Övriga fynd som bör anges om de förekommer: grad av solar elastos (låggradig/höggradig), markerade regressionsfenomen, preexisterande melanocytärt nevus, andra relevanta förändringar.
Dysplastiskt nevus: obligatoriska uppgifter:
- Dysplasigrad enligt WHO 2023 [17]
- Låggradig (tidigare måttlig)
- Höggradig (grav).
- Radikalitet med angivelse av minsta sidomarginal i mm vid höggradig/grav dysplasi.
För detaljerad information och gränsdragning mot melanom in situ/invasivt melanom, se: svensk förening för patologi.
Utvidgad excision
Obligatoriska uppgifter:
- resttumör: ja/nej.
- Radikalitet med angivelse av minsta sidomarginal i mm vid kvarvarande tumör. Marginalen anges till den tumörcellen som är närmast sidoresektionskanten (invasiv eller in situ).
- Andra relevanta förändringar.
Portvaktskörtel
Anvisningar för provtagarens hantering av provet
Undersökning utförs vanligtvis på 1–3 [19] portvaktskörtlar från en region. Kirurgen avgör vad som är portvaktskörtel och icke-portvaktskörtel.
Om det finns icke-portvaktskörtlar bör dessa skickas separat. Preparatet skickas i ett tillräckligt stort kärl med 4-procentig buffrad formalin och med åtminstone 10 x preparatets volym.
Preparatet bör inte skäras igenom. Delar av preparatet bör inte avlägsnas. Vid avsteg från dessa rutiner krävs samråd med handläggande patologavdelning.
Anamnestisk remissinformation
Obligatoriska uppgifter:
- Preoperativ diagnos.
- Lokalisation med sidoangivelse.
- Antal portvaktskörtlar.
- Antal eventuella icke-portvaktskörtlar.
Utskärningsanvisningar

Portvaktskörteln och icke-portvaktskörtlar mäts (längd x bredd x tjocklek) i centralplanet efter att eventuell fettväv har avlägsnats.
Om metylenblått har använts bör förekomst eller avsaknad av blåfärgning anges.
Antalet körtlar anges.
Utskärning görs utifrån tjocklek i centralplanet. OBS! Om centralplanet inte kan identifieras (t.ex. runda körtlar) bör portvaktskörteln skivas.
Delad körtel bäddas i separat kassett. Två odelade körtlar kan bäddas tillsammans.
Snittning och analyser
Portvaktskörtel
Odelad portvaktskörtel trimmas ner till en nivå nära centralplanet. Delad eller skivad portvaktskörtel bör inte trimmas, utan snittas försiktigt tills hela snitt kan framställas.
Så kallat 4-snittsprotokoll rekommenderas [20], och innebär att från centralplanet av den odelade lymfkörteln, från varje halva av den delade lymfkörteln och från varje skiva av den skivade lymfkörteln framställs 4 konsekutiva snitt som färgas enligt följande): snitt 1 H&E, snitt 2 S100, snitt 3 Melan A, snitt 4 H&E (Melan A kan ersättas med HMB45, S100 kan ersättas med SOX10 [21]. Ytterligare snittnivåer kan framställas vid behöv (t ex fragmenterade snitt, oklara fall).
BRAF-mutationsanalys utförs vid påvisad metastas enligt rekommendation i vårdprogrammet. Vid otillräcklig tumörmängd i portvaktskörteln analyseras primärtumören i stället.
BRAFV600E kan analyseras med immunhistokemi och molekylära metoder (polymeraskedjereaktion, PCR, och next generation sequencing, NGS). Om BRAFV600E inte påvisas med immunhistokemi bör molekylär analys (PCR eller NGS) utföras för att påvisa eventuella andra behandlingsbara BRAFV600-mutationer. Vid oklarheter kring tolkning av BRAFV600E immunhistokemi (till exempel i kraftigt pigmenterade tumörer) bör molekylär analys utföras.
Icke-portvaktskörtlar
Snittas i två nivåer och färgas med H&E.
Information i remissens svarsdel
Obligatoriska uppgifter:
-
Antal lymfkörtlar med metastaser (x) / totalantal undersökta lymfkörtlar (y): x / y.
-
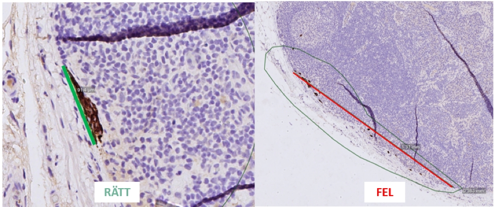
Diameter på den största metastasen anges med 0,1 mm noggrannhet [22], förutom metastaser med diameter < 0,1 mm som ska anges som < 0,1 mm.
-
Förekomst av perikapsulär infiltration: ja/nej.
-
Enligt AJCC8 [23] skall diameter av största sammanhängande aggregatet mätas, se exempel nedan.

Identifiering av en enda melanomcell är tillräckligt för klassifikation som metastas [24], oavsett om den identifieras i H&E- eller immunohistokemiskt färgade snitt. Cytologisk atypi krävs för diagnosen. Nedsnittning och kompletterande immunohistokemiska färgningar rekommenderas i oklara fall, som bör diskuteras på MDK.
Terapeutisk lymfkörtelutrymning
Anvisningar för provtagarens hantering av provet
Preparatet bör inte skäras igenom. Delar av preparatet bör inte avlägsnas. Vid avsteg från dessa rutiner krävs samråd med handläggande patologavdelning.
Preparatet skickas i ett tillräckligt stort kärl med 4-procentig buffrad formalin och med åtminstone 10 x preparatets volym.
Anamnestisk remissinformation
Obligatoriska uppgifter:
- Preoperativ diagnos.
- Preoperativt påvisade metastaser/palpabla metastaser.
- Lokalisation med sidoangivelse.
Utskärningsanvisningar
Preparatets vikt alternativt mått anges.
Palpabla lymfkörtlar och eventuella lymfkörtelkonglomerat fridissekeras, därefter undersöks resterande fettvävnad för att påvisa små lymfkörtlar. Vidare utskärning görs utifrån lymfkörtlarnas tjocklek i centralplanet som portvaktskörtel.
Delade körtlar bäddas i separata kassetter. Flera odelade körtlar kan bäddas tillsammans om de har liknande storlek. Lymfkörtelkonglomerat skivas och representativa skivor bäddas.
Totalantal lymfkörtlar och förekomst av lymfkörtelkonglomerat anges. Halslymfkörtelutrymning/neckpreparat hanteras enligt anvisningar i
KVAST-dokumentet, se svensk förening för patologi.
Snittning och analyser
En snittnivå framställs från varje kloss och färgas med H&E. Immunhistokemiska färgningar med melanocytära markörer används vid behov.
Information i remissens svarsdel
Obligatoriska uppgifter:
- Antal lymfkörtlar med metastaser (x) / totalantal undersökta lymfkörtlar (y): x / y.
- Förekomst av perikapsulär infiltration: ja/nej.
- Förekomst av konglomerat av lymfkörtelmetastaser.
Excision av metastas/lymfkörtelutrymning för bedömning av preoperativ (neoadjuvant) behandlingseffekt.
Anvisningar för provtagarens hantering av provet
Preparatet ska inte skäras igenom. Delar av preparatet ska inte avlägsnas. Vid avsteg från dessa rutiner krävs samråd med handläggande patologavdelning.
Preparatet skickas i ett tillräckligt stort kärl med 4-procentig buffrad formalin och med åtminstone 10 x preparatets volym.
Anamnestisk remissinformation
Obligatoriska uppgifter
- Information om neoadjuvant behandling
- Information om preoperativ och postoperativ klinisk/radiologisk bedömning
- Storlek/diameter av metastasen före behandling
- Klinisk/radiologisk respons
- Typ av preparat (lymfkörtelutrymning, annat)
- Lokalisation med sidoangivelse.
Utskärningsanvisningar
Ange preparatets vikt alternativt mått.
Identifiera och fridissekera lymfkörtlar med makroskopiska metastaser. Mät största diameter på metastaserna. Skiva metastaserna i ca 4 mm tjocka skivor. Identifiera tumörområdet (solitt område med sannolikt viabel tumör, nekros, melanos och fibros). Bädda minst 2 representativa tvärskivor med ovan beskrivna makroskopiska fynd från varje metastas med diameter ≤ 5 cm och minst 4 tvärskivor från varje metastas > 5 cm. Använd gärna storsnitt om skivor behöver delas. Därefter undersök resterande fettvävnad för att påvisa övriga lymfkörtlar enligt anvisningar för terapeutisk lymfkörtelutrymning.
Alla lymfkörtlar med metastaser och lymfkörtlar utan metastaser bäddas.

Snittning och analyser
- En snittnivå framställs från varje kloss.
- H&E rekommenderas som rutinfärgning.
- Immunhistokemiska färgningar med Sox10 eller melan A används vid behov för att bekräfta förekomst av melanomceller. Melanomcellernas viabilitet måste bedömas på H&E.
Bedömning av patologisk respons och information i remissens svarsdel
Bedömning av patologisk respons är global, vilket innebär bedömning av all kvarvarande viabel resttumör (addera ytan av viabel resttumör i alla undersökta snitt från samtliga metastaser) i tumörbädden (addera ytan av tumörbädden i alla undersökta snitt från samtliga metastaser), se exempel nedan.
Tumörbädd = viabel resttumör + fibros + melanos + nekros = 100 %.


Information i remissens svarsdel:
- Antal lymfkörtlar med metastaser (x) / totalantal lymfkörtlar (y): x / y.
- Patologisk respons:
- komplett patologisk respons (ingen viabel resttumör)
- nästan komplett patologisk respons (≤ 10 % viabel resttumör)
- partiell patologisk respons (11–50 % viabel resttumör)
- ingen patologisk respons (>50 % viabel resttumör).
Immunhistokemi och mutationsanalyser
Immunhistokemi och molekylära analyser bör utföras på en patologiavdelning med special kompetens i diagnostik av melanocytära tumörer och molekylär patologisk kompetens samt med validerad metodologi i enlighet med KVAST-dokumentet för molekylär patologi. Immunhistokemiska analyser kan utföras på formalinfixerat material. Molekylär analys med NGS kan utföras på folrmalinfixerat material eller cytologiskt material.
Om vävnadsbiopsi inte är genomförbar kan molekylär analys med vätskebiopsi (ctDNA) övervägas.
Behandlingsprediktiva analyser av melanom
Mutationsanalys av BRAFV600 för stadium III- och IV-melanom och i utvalda fall immunhistokemisk analys av PD-L1-uttryck [25] utförs inför tumörspecifik behandling. Analys av c-KIT kan utföras i utvalda fall av slemhinnemelanom, akrala melanom och melanom i hud med höggradig kronisk solskada [26] efter diskussion på MDK. Analys av NTRK-fusion (neurotrofisk tyrosinreceptorkinas) kan övervägas efter diskussion på MDK av ej BRAF muterade amelanotiska hudmelanom och akrala melanom med epiteloid cytomorfologi [27].
I första hand analyseras vävnad från aktuell metastas [28, 29]. Såväl formalinfixerad vävnad som cytologiskt material kan användas. Primärtumören kan användas om ingen metastasvävnad finns att tillgå.
Enligt vårdprogrammet rekommenderas mutationsanalys avseende BRAFV600E vid stadium III, vilket innebär analys av portvaktskörteln vid påvisande av metastaser och analys av primärtumören vid påvisande av satellitmetastaser. Vid otillräcklig tumörmängd i portvaktskörteln, eller när ingen metastasvävnad finns att tillgå, analyseras primärtumören i stället. BRAFV600E kan analyseras med immunhistokemi och molekylära metoder (PCR och NGS). Om BRAFV600E inte påvisas med immunhistokemi bör molekylär analys (PCR eller NGS) utföras för att påvisa eventuella andra behandlingsbara BRAFV600 mutationer. Vid oklarheter kring tolkning av BRAFV600E immunhistokemi (till exempel i kraftigt pigmenterade tumörer) bör molekylär analys utföras.
PD-L1 analys bör utföras på formalinfixerat material från metastasen med minst 100 viabla celler utan stark pigmentering [30].
cKit analyseras lämpligast med NGS [26].
NTRK kan analyseras med immunhistokemi och molekylära metoder (NGS). Pan-Trk immunhistokemi anses vara en säker metod att påvisa NTRK fusioner, vid positivt utfall och vid oklarheter kring tolkning av Pan-Trk immunhistokemi (till exempel i kraftigt pigmenterade tumörer) bör molekylär analys utföras [31, 32].
Diagnostisk molekylär analys av oklara melanocytära tumörer
Molekylär analys med NGS, lämpligast med GMS560 panel kan användas för gränsdragning mellan höggradiga atypiska melanocytära tumörer och invasivt melanom med tjocklek >1 mm när immunhistokemisk utredning inte givit tillräckligt underlag för diagnos och handläggning av patienten. Dessa fall handläggs individuellt inom specialiserad vård enligt beslut vid MDK.
Bred genetisk profilering
En bredare genetisk profilering av tumörens arvsmassa med NGS (GMS560 panel) kan i vissa fall vara av värde för patientens fortsatta behandling inklusive medverkande i läkemedelsstudier. Dessa fall handläggs individuellt inom specialiserad vård enligt beslut vid MDK.
Rekommenderat klassifikationssystem
TNM-klassifikation adapterad efter UICC 8 [33]/AJCC 8 [23] används i Sverige från och med januari 2018.
Samtliga delar inom TNM har uppdaterats, de viktigaste förändringar inkluderar:
T-stadium:
- Tumörtjocklek anges med 0,1 mm noggrannhet (t.ex. tjocklek 0,75–0,84 mm anges som 0,8 mm; tjocklek 0,95–1,04 anges som 1,0 mm osv). Det innebär t ex att T1 inkluderar melanom med tjocklek 1,04 mm, jämfört med tidigare ≤ 1,0 mm; T2 inkluderar melanom med tjocklek 1,05–2,04 mm, jämfört med tidigare 1,01–2,0 mm osv.
- Inom T1 stadium definieras T1a av tjocklek < 0,8 mm utan ulceration, och T1b < 0,8 mm med ulceration eller 0,8–1,0 mm med eller utan ulceration; mitosförekomst används inte längre som kriterium vid stadieindelning av T1 melanom.
- Tx införs i AJCC 8 2017 för melanom vars tjocklek inte kan mätas p.g.a. otillräckligt vävnadsprov (t.ex. skrap, shave eller ytlig stans).
- T0 införs i AJCC 8 2017 för okänd primär tumör och totalt regredierat melanom.
N-stadium:
- Begrepp ”mikroskopiska” och ”makroskopiska” metastaser ersätts med ”metastaser påvisade med SNB diagnostik” och ”kliniskt detekterade metastaser”.
- Mikrosatelliter, satelliter eller in-transit metastaser ingår i stadieindelningen (N1c, N2c eller N3c beroende förekomst av lymfkörtelmetastaser och antal engagerade lymfkörtlar).
M-stadium:
- Melanom metastaserade till CNS stadieindelas som en egen kategori (M1d).
- Normalt LD-värde anges som ”0” alternativt förhöjt LD-värde numrerat med ”1” efter respektive M-stadium.
För detaljerad information om klassifikationen, se kapitel 9 i vårdprogrammet för melanom.
MPATH-Dx 2.0 klassifikation
Melanocytic Pathology Assessment Tool and Hierarchy for Diagnosis version 2.0 (MPATH-Dx 2.0 klassifikation) [18] är ett standardiserat klassifikationssystem för rapportering av melanocytära lesioner utvecklat i samarbete med International Melanoma Pathology Study Group (IMPSG). MPATH-Dx 2.0 är kompatibel med WHO:s klassifikation av hudtumörer och kan användas för rapportering av alla typer av melanocytära lesioner. Enligt MPATH-Dx 2.0 klassificeras melanocytära lesioner i fyra klasser baserat på risk för progress av en residual lesion vid icke-radikal kirurgisk åtgärd (till exempel hudshave) enligt tabell nedan. MPATH-Dx 2.0 inkluderar histopatologiska kriterier för klassificering av klass I och II lesioner och kriterier för gränsdragning mellan klass II lesioner och melanom. Därutöver identifieras histopatologiska kriterier för en grupp av pT1a melanom med 99 % 5‑årsöverlevnad (pT1a lågrisk).
Införande av MPATH-Dx 2.0 planeras i Sverige under 2025–2026, som ett tillägg till histopatologisk diagnos för melanocytära lesioner i klass I och klass II samt svårklassificerade atypiska melanocytära proliferationer.
I Sverige rekommenderas diagnostisk excision av pigmenterade hudförändringar och suspekta melanom med 2–5 mm kirurgisk marginal (radikal excision) och klassifikationen är anpassad enligt denna rekommendation.
Spitz nevus flyttas tills vidare till klass I, med reservation för att det skall vara radikalt exciderat med marginal. Det finns idag inga internationella riktlinjer för den histopatologisk margnalen.
Nedan är MPATH-Dx 2.0 anpassad efter IMPSG koncensus [18] och WHO 2023 klassifikation av hudtumörer [17].
Klass 1, Låggradig
- Risk för progress: Mycket låg risk för progress
- Sannolikhet för progress: 1/10 000 till 1/100 000
- Behandlingsrekommendation: Ingen utvidgad excision. Detta gäller vid radikal primärt kirurgiskt ingrepp eller under förutsättning att provmaterialet är säkert representativt.
|
WHO pathway |
Diagnoser |
|
Hud med låggradig kronisk solskada (WHO pathway I) |
Lentigo och relaterade entiteter
Vanligt förvärvat melanocytärt nevus utan atypi
Förvärvat melanocytärt nevus och relaterade entiteter med låggradig atypi
|
|
Hud med höggradig kronisk solskada (WHO pathway II)
|
|
|
Spitz tumör (WHO pathway IV) |
|
|
Akral hud (WHO pathway V)
|
|
|
Slemhinna (WHO pathway VI)
|
|
|
Kongenitala (WHO pathway VII)
|
|
|
Blått nevus (WHO pathway VIII)
|
|
1) Skall vara radikalt exciderat med marginal.
Klass II, Höggradig
- Risk för progress: Liten risk för progress
- Sannolikhet för progress: 1/100 till 1/1000
- Behandlingsrekommendation: Utvidgad excision enligt rekommendation för melanom in situ i NVP
|
WHO pathway |
Diagnoser |
|
Hud med låggradig kronisk solskada (WHO pathway I) |
Förvärvade melanocytära nevi och relaterade entiteter med höggradig atypi
Andra intermediära lesioner (melanocytom)
Intraepidermal melanocytär proliferation med atypi, höggradig
|
|
Hud med höggradig kronisk solskada (WHO pathway II) |
Atypisk lentiginös melanocytär proliferation i hud med höggradig kronisk solskada
|
|
Spitz tumör (WHO pathway IV) |
|
|
Akral hud (WHO pathway V) |
|
|
Slemhinna (WHO pathway VI) |
|
|
Kongenitala nevi och relaterade entiteter (WHO pathway VII) |
|
|
Blått nevus (WHO pathway VIII) |
|
|
Melanom in situ |
|
2) Kan med fördel diskuteras på MDK.
Klass III, Invasivt melanom, pT1a lr
- Risk för progress: Låg risk för progress
- Sannolikhet för progress: 1/100
- Behandlingsrekommendation: Utvidgad excision enligt rekommendation i NVP
|
Diagnos |
Typ |
|
Invasivt melanom, <0,8 mm pT1a lr3 |
|
3) pT1a lr (låg risk): AJCC stadium T1a utan ulceration med Breslow tjocklek < 0,8 mm, samt förekomst av samtliga följande parametrar: radial växtfas, Clark nivå II (invasion i dermis av isolerade celler eller små aggregat av celler i papillära dermis) samt avsaknad av samtliga följande parametrar: Clark nivå III eller högre, vertikal växtfas (distinkt nodulär formation), dermala mitoser och excessiv regression (>50 % av tumören).
Klass III, Invasivt melanom, pT1a
- Risk för progress: Relativt låg risk för lokala och regionala metastaser
- Sannolikhet för progress: 1/10 till 1/100
- Behandlingsrekommendation: Utvidgad excision enligt rekommendation i NVP
|
Diagnos |
Typ |
|
Invasivt melanom, <0,8 mm pT1a4 |
|
4) Invasivt melanom AJCC stadium T1a utan ulceration med Breslow tjocklek < 0,8 mm med förekomst av åtminstone en av följande parametrar: dermala mitoser, vertikal växtfas (distinkt nodulär formation), Clark nivå III eller högre, extensiv regression (>50 % av tumören) lymfovaskulär invasion, angiotropism.
Klass IV, Invasivt melanom, ≥ pT1b
- Risk för progress: Måttlig till ökad risk för regionala och fjärrmetastaser
- Sannolikhet för progress: 1/2 till 1/10
- Behandlingsrekommendation: Utvidgad excision och SNB enligt rekommendation i NVP
|
Diagnos |
Typ |
|
Invasivt melanom, 0,8-1,0 mm pT1b, eller högre |
|
5) Melanocytär tumör med oklar malignitetspotential (MELTUMP) bör handläggas av subspecialiserade hudpatologer. Molekylär analys med NGS rekommenderas av MELTUMP med Breslow tjocklek ≥ 1mm, efter diskussion på MDK.
Varierande klassifikation
- Behandlingsrekommendation: Individuell handläggning enligt rekommendation i NVP
|
Diagnos |
Typ |
|
Melanocytära lesioner med oklar malignitetspotential |
|
5) Melanocytär tumör med oklar malignitetspotential (MELTUMP) bör handläggas av subspecialiserade hudpatologer. Molekylär analys med NGS rekommenderas av MELTUMP med Breslow tjocklek ≥ 1mm, efter diskussion på MDK
Koder och beteckningar
SNOMED-koder
Förenklad kodning rekommenderas enligt nedan för att underlätta kvalitetsarbete. Topografikoden T02X bör anges.
|
Melanocytärt nevus inklusive varianter som junction, sammansatt, intradermal, kongenital, akral m.fl. |
M87200 |
|
Dysplastiskt nevus |
M872701 |
|
Dysplastiskt nevus med grav dysplasi |
M872701 + M740082 |
|
WNT aktiverat djupt penetrerande/plexiform melanocytom |
M872001 |
|
BAP1 inaktiverat melanocytom |
M872002 |
|
Spitz/Reed nevus |
M87700 |
|
Blått nevus |
M87800 |
|
Atypisk melanocytär hyperplasi |
M75295 |
|
Melanom in situ |
M87202 |
|
Melanom in situ med rest av dysplastiskt nevus |
M87202 + M87270 |
|
Malignt melanom in situ med rest av melanocytärt nevus |
M87202 + M87200 |
|
Malignt melanom |
M87203 |
|
Malignt melanom med rest av dysplastiskt nevus |
M87203 + M87270 |
|
Malignt melanom med rest av melanocytärt nevus UNS |
M87203 + M87200 |
|
Spitz melanocytom (atypisk Spitz tumör, låggradig) |
M87700 + M69700 |
|
Melanocytär tumör med oklar malignitetspotential (MELTUMP) / Spitz tumör med oklar malignitetspotential (STUMP) / högrisk melanocytom (PEM, atypiskt cellulärt blått nevus, atypiskt DPN) |
M872013 |
|
Malignt melanom, misstanke |
M87201 |
|
Malignt melanom, lokalrecidiv |
M87207 |
|
Malignt melanom, metastas |
M87206 |
|
Portvaktskörtel utan melanommetastas |
Varje laboratorium tar fram en kod som gör det möjligt att särskilja portvaktskörtel utan melanommetastas |
1) M87270 rekommenderas för melanocytärt nevus/dysplastiskt nevus med grav/stark atypi/dysplasi. Används tills vidare även vid låggradig dysplasi.
2) M74008 används så länge registreringsplikten kvarstår.
3) M87201 används tills vidare.
Kvalitetsarbete för patologin
Kompetenskrav
För att säkerställa diagnostisk kvalitet bör melanocytära tumörer handläggas av specialister med särskild kompetens och erfarenhet av denna tumörgrupp. Läkare under utbildning kan handlägga dessa fall efter delegering av medicinskt ansvarig patolog.
Anmälan till nationellt kvalitetsregister för malignt melanom
Samtliga prov med invasiva melanom (till exempel biopsi och excision från en och samma tumör) portvaktskörtelstatus och terapeutisk lymfkörtelutrymning anmäls till nationellt kvalitetsregister enligt nedan:
Hudmelanom – Histopatologi primärtumör_201905.pdf
Hudmelanom – Histopatologi lymfkörtelkirurgi 201611.pdf
Kvalitetsindikatorer för nationella jämförelser:
- Andel primära invasiva hudmelanom (M87203), melanom in situ (M87202), gravt dysplastiska nevi (M87270 + M74008), dysplastiska nevi (M87270) av alla primära melanocytära hudtumörer.
- Andel portvaktskörtlar med melanommetastaser T08X + M87206 av alla portvaktskörtlar.
- Antal respektive andel specialister i patologi på laboratoriet som diagnostiserar melanocytära tumörer.
Kvalitetsindikatorer för internt kvalitetsarbete
- Diagnosprofiler för enskilda diagnostiker enligt 8.3.1.
- Antal utbildningsdagar per diagnostiker per år.
Hud-KVAST-gruppen
Medlemmar
Katarzyna Lundmark (katarzyna.lundmark@regionostergotland.se) sammankallande, med. dr, överläkare, ansvarig patolog i Nationellt vårdprogram för malignt melanom, Klinisk patologi och genetik, Universitetssjukhuset i Linköping, Region Sydöst.
Paola Lara Valencia (paola.lara.valenciar@akademiska.se) med. dr, överläkare, Klinisk patologi, Laboratoriemedicin, Akademiska sjukhuset, Uppsala, Region Mellansverige.
Iva Johansson (iva.johansson@ vgregion.se) med. dr, överläkare, Klinisk patologi, Sahlgrenska Universitetssjukhuset, Göteborg.
Britta Krynitz (britta.krynitz@regionstockholm.se) med. dr, överläkare, Klinisk patologi och cytologi, Karolinska Universitetslaboratoriet, Karolinska Universitetssjukhuset, Stockholm, Region Stockholm/Gotland.
Ingela Skogvall-Svensson (Ingela.SkogvallSvensson@skane.se) överläkare, Klinisk patologi, Skånes universitetssjukhus, Lund, Region Skåne.
Daniel Nosek (daniel.nosek@regionvasterbotten.se) specialistläkare, Klinisk patologi, Norrlands Universitetssjukhus, Umeå, Region Norr.
Ismini Vassilaki (ismini.vassilaki@regionstockholm.se) överläkare, Klinisk patologi och cytologi, Karolinska Universitetslaboratoriet; seniorkonsult, patolog/dermatopatolog, Dermipath AB.
Granskning
Dokumentet är granskat av den nationella vårdprogramgruppen för malignt melanom.
Hud-KVAST-gruppens övriga insatser
- Utskärningsanvisningar 2010, uppdaterad 2015.
- Dysplastiskt nevus EQUALIS utskick 2012.
- Histopatologisk bedömning av primärt hudmelanom och portvaktskörtel, komplement till NVP för melanom 2013, uppdaterad 2020 enligt AJCC8/UICC8 och WHO4 2018.
- Dysplastiskt nevus riktlinjer 2014 uppdaterade 2020 enligt WHO 2018.
- Dysplastiskt nevus EQUALIS utskick 2017.
- Basalcellscancer EQUALIS utskick 2020.
- Skivepitelcancer EQUALIS utskick 2021.
- Melanocytära tymörer EQUALIS utskick 2023.
Rekommenderad litteratur
Elder D MD, Scolyer R, Willemze R. WHO classification of skin tumors. Internet; beta version ahead of print available from: https://tumourclassification.iarc.who.int/chapters/64. 5th edition ed: Lyon: IARC; 2023.
Patterson JW. Weedon's Skin Pathology, 5th Edition, Elsevier, USA, 2021.
Calonje E, Brenn T, Lazar A, McKee PH, McKee's Pathology of the Skin, 5th Edition, Elsevier Saunders, USA, 2020.
Barnhill RL, Piepkorn M, Busam KJ. Pathology of Melanocytic Nevi and Malignant Melanoma, 3rd Edition, Springer, Berlin Heidelberg, Germany, 2014.
Elder DE. Melanocytic Tumors of the Skin (AFIP Atlas of Tumor Pathology: Series 4), American Registry of Pathology, USA, 2010.
Elder DE. Yun SJ. Superficial Melanocytic Pathology (Consultant Pathology) 1st Edition Demos Medical.
Massi G, LeBoit PE. Histological Diagnosis of Nevi and Melanoma, 2nd Edition, Springer, Germany, 2014 Edition.
Referenser
- Roush GC, Dubin N, Barnhill RL. Prediction of histologic melanocytic dysplasia from clinical observation. Journal of the American Academy of Dermatology. 1993;29(4):555-62.
- Black WC, Hunt WC. Histologic correlations with the clinical diagnosis of dysplastic nevus. The American journal of surgical pathology. 1990;14(1):44-52.
- Annessi G, Cattaruzza MS, Abeni D, Baliva G, Laurenza M, Macchini V, et al. Correlation between clinical atypia and histologic dysplasia in acquired melanocytic nevi. Journal of the American Academy of Dermatology. 2001;45(1):77-85.
- Lindelof B, Hedblad MA. Accuracy in the clinical diagnosis and pattern of malignant melanoma at a dermatological clinic. The Journal of dermatology. 1994;21(7):461-4.
- Morton DL, Thompson JF, Cochran AJ, Mozzillo N, Nieweg OE, Roses DF, et al. Final trial report of sentinel-node biopsy versus nodal observation in melanoma. The New England journal of medicine. 2014;370(7):599-609.
- Faries MB, Thompson JF, Cochran AJ, Andtbacka RH, Mozzillo N, Zager JS, et al. Completion Dissection or Observation for Sentinel-Node Metastasis in Melanoma. The New England journal of medicine. 2017;376(23):2211-22.
- Leiter U, Stadler R, Mauch C, Hohenberger W, Brockmeyer N, Berking C, et al. Complete lymph node dissection versus no dissection in patients with sentinel lymph node biopsy positive melanoma (DeCOG-SLT): a multicentre, randomised, phase 3 trial. The Lancet Oncology. 2016;17(6):757-67.
- Tetzlaff MT, Messina JL, Stein JE, Xu X, Amaria RN, Blank CU, et al. Pathological assessment of resection specimens after neoadjuvant therapy for metastatic melanoma. Annals of oncology : official journal of the European Society for Medical Oncology / ESMO. 2018;29(8):1861-8.
- Menzies AM, Amaria RN, Rozeman EA, Huang AC, Tetzlaff MT, van de Wiel BA, et al. Pathological response and survival with neoadjuvant therapy in melanoma: a pooled analysis from the International Neoadjuvant Melanoma Consortium (INMC). Nature medicine. 2021;27(2):301-9.
- Marsden JR, Newton-Bishop JA, Burrows L, Cook M, Corrie PG, Cox NH, et al. Revised U.K. guidelines for the management of cutaneous melanoma 2010. The British journal of dermatology. 2010;163(2):238-56.
- Ng PC, Barzilai DA, Ismail SA, Averitte RL, Jr., Gilliam AC. Evaluating invasive cutaneous melanoma: is the initial biopsy representative of the final depth? Journal of the American Academy of Dermatology. 2003;48(3):420-4.
- Karimipour DJ, Schwartz JL, Wang TS, Bichakjian CK, Orringer JS, King AL, et al. Microstaging accuracy after subtotal incisional biopsy of cutaneous melanoma. Journal of the American Academy of Dermatology. 2005;52(5):798-802.
- Somach SC, Taira JW, Pitha JV, Everett MA. Pigmented lesions in actinically damaged skin. Histopathologic comparison of biopsy and excisional specimens. Archives of dermatology. 1996;132(11):1297-302.
- Farrahi F, Egbert BM, Swetter SM. Histologic similarities between lentigo maligna and dysplastic nevus: importance of clinicopathologic distinction. Journal of cutaneous pathology. 2005;32(6):405-12.
- Martin RC, 2nd, Scoggins CR, Ross MI, Reintgen DS, Noyes RD, Edwards MJ, McMasters KM. Is incisional biopsy of melanoma harmful? American journal of surgery. 2005;190(6):913-7.
- Lezcano C, Jungbluth AA, Busam KJ. PRAME Immunohistochemistry as an Ancillary Test for the Assessment of Melanocytic Lesions. Surg Pathol Clin. 2021;14(2):165-75.
- Elder D MD, Scolyer R, Willemze R. . WHO classification of skin tumors. Internet; beta version ahead of print available from: https://tumourclassification.iarc.who.int/chapters/64. 5th edition ed: Lyon : IARC; 2023.
- Barnhill RL, Elder DE, Piepkorn MW, Knezevich SR, Reisch LM, Eguchi MM, et al. Revision of the Melanocytic Pathology Assessment Tool and Hierarchy for Diagnosis Classification Schema for Melanocytic Lesions: A Consensus Statement. JAMA Netw Open. 2023;6(1):e2250613.
- Luo S, Lobo AZ, Tanabe KK, Muzikansky A, Durazzo T, Sober A, et al. Clinical significance of microscopic melanoma metastases in the nonhottest sentinel lymph nodes. JAMA surgery. 2015;150(5):465-72.
- Scolyer RA, Long GV, Thompson JF. Evolving concepts in melanoma classification and their relevance to multidisciplinary melanoma patient care. Molecular oncology. 2011;5(2):124-36.
- Jennings C, Kim J. Identification of nodal metastases in melanoma using sox-10. The American Journal of dermatopathology. 2011;33(5):474-82.
- van der Ploeg AP, van Akkooi AC, Rutkowski P, Nowecki ZI, Michej W, Mitra A, et al. Prognosis in patients with sentinel node-positive melanoma is accurately defined by the combined Rotterdam tumor load and Dewar topography criteria. Journal of clinical oncology : official journal of the American Society of Clinical Oncology. 2011;29(16):2206-14.
- Gershenwald JE SR, Hess KR, et al. Melanoma of the Skin. In: AJCC Cancer Staging
- Chicago: American Joint Committee on Cancer. 2017.
- Piris A, Mihm MC, Jr., Duncan LM. AJCC melanoma staging update: impact on dermatopathology practice and patient management. Journal of cutaneous pathology. 2011;38(5):394-400.
- Sunshine JC, Nguyen P, Kaunitz G, Cottrell T, Berry S, Esandrio J, et al. PD-L1 Expression in Melanoma: A Quantitative Immunohistochemical Antibody Comparison. Clinical cancer research : an official journal of the American Association for Cancer Research. 2017.
- Pham DDM, Guhan S, Tsao H. KIT and Melanoma: Biological Insights and Clinical Implications. Yonsei Med J. 2020;61(7):562-71.
- Forschner A, Forchhammer S, Bonzheim I. NTRK gene fusions in melanoma: detection, prevalence and potential therapeutic implications. J Dtsch Dermatol Ges. 2020;18(12):1387-92.
- Bradish JR, Richey JD, Post KM, Meehan K, Sen JD, Malek AJ, et al. Discordancy in BRAF mutations among primary and metastatic melanoma lesions: clinical implications for targeted therapy. Modern pathology : an official journal of the United States and Canadian Academy of Pathology, Inc. 2015;28(4):480-6.
- Egberts F, Bohne AS, Kruger S, Hedderich J, Rompel R, Haag J, et al. Varying Mutational Alterations in Multiple Primary Melanomas. The Journal of molecular diagnostics : JMD. 2016;18(1):75-83.
- Tawbi HA, Hodi FS, Lipson EJ, Schadendorf D, Ascierto PA, Matamala L, et al. Three-Year Overall Survival With Nivolumab Plus Relatlimab in Advanced Melanoma From RELATIVITY-047. Journal of clinical oncology : official journal of the American Society of Clinical Oncology. 2024:Jco2401124.
- Hechtman JF, Benayed R, Hyman DM, Drilon A, Zehir A, Frosina D, et al. Pan-Trk Immunohistochemistry Is an Efficient and Reliable Screen for the Detection of NTRK Fusions. The American journal of surgical pathology. 2017;41(11):1547-51.
- Van Bockstal MR, Beniuga G, Craciun L, Creytens D, Dedeurwaerdere F, Delvenne P, et al. The Use of Pan-Tropomyosin Receptor Kinase Immunohistochemistry as a Screening Tool for the Detection of Neurotrophic Tropomyosin-Related Kinase Fusions: Real-World Data from a National Multicentric Retrospective Study. Pathobiology. 2022;89(6):393-406.
- Malignant Melanoma of Skin. In: TNM Classification of Malignant Tumours. 8th edition Wiley-Blackwell ed2017.