Kvalitetsbilaga för patologi (KVAST-bilaga) – Merkelcellscancer
Svensk Förening för Patologi – Svensk Förening för Klinisk Cytologi
Riktlinjer för handläggning Merkelcellscancer
Framtagen av Hud-KVAST. Utgåva 1.
Klinisk bakgrundsinformation och patologins roll i den diagnostiska processen
Anamnes, klinisk bedömning och dermatoskopi är användbara för att skilja ut Merkelcellscancer (MCC) från andra hudtumörer, men den kliniska diagnostiken är svår. Den histopatologiska bedömningen av MCC är ”gold standard” och avgörande för diagnos, klinisk handläggning och prognos.
MCC är en högmalign tumör som har oklart ursprung. Det är en associerat med kronisk solskada och Merkelcellpolyomavirus. Tumörcellerna kan vara små, medelstora eller stora med hyperkromatiska kärnor och sparsam cytoplasma.
Det är avgörande att skilja MCC från andra tumörer som basalcellscancer, hudadnextumörer, melanom och lymfom samt metastaser av småcelligt lungcancer och neuroendokrina tumörer.
Immunohistokemisk undersökning med antikroppar mot CK20, synaptofysin samt CK7, TTF1, CD56, CD45, S100, CD99 bör utföras i samtliga fall av misstänkt MCC [1, 2] Perinukleär ”dot-like” eller diffus cytoplasmatisk CK20-reaktivitet [3, 4] och samtidig synaptofysinpositivitet är obligatorisk för diagnosen av MCC. Kutana tumörer med neuroendokrindifferentiering som saknar CK20-reaktivitet klassificeras som neuroendokrin cancer UNS och kräver klinisk korrelation och vidare utredning. Lymfkörtelmetastaser påvisas hos ca 26 % av patienter med MCC och är associerat med sämre överlevnad. Dödligheten vid regionala och nodala metastaser är lägre jämfört med fjärrmetastaserad sjukdom (5-årsöverlevnad 35,4 % jämfört med 13,5 %) [5]. Sentinel node biopsi används vid utredningen av samtliga patienter med MCC utan palpabla lymfkörtelmetastaser. Det finns inget allmänt accepterat protokoll för undersökning av portvaktskörtel men användning av immunohistokemiska färgningar rekommenderas för att öka detektionsnivån. Lämpligast används de antikroppar som den aktuella tumören uttrycker starkast enligt följande protokoll (HE, antikropp 1, antikropp 2, HE) [6]. Identifiering av en enda Merkelcell i en portvaktskörtel är tillräckligt för klassifikation som metastas.
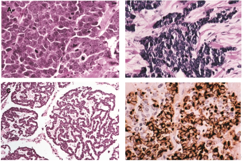
Histologiskt har MCC traditionellt indelats i tre subtyper: intermediära, småcelliga och trabekulära [7-9]. Huruvida de olika subtyperna skulle ha någon klinisk betydelse är mycket omdiskuterat. I tidiga mindre studier har ett sådant samband ej kunnat fastslås [10].
Den intermediära subtypen uppvisar ett diffust, solitt växtmönster. Cellerna är inte lika kompakt arrangerade och cytoplasman är inte lika riklig som kan ses i den trabekulära typen. Mitoser och fokala nekrotiska områden ses ofta. Den återfinnes också i anslutning till hudadnex, men kan även engagera epidermis. Det är den vanligast förekommande subtypen.
Den småcelliga subtypen imiterar andra småcelliga tumörer. Tumören är dermalt belägen och cellerna växer i solida sjok och kluster. Ofta finns områden av nekros och ”krossartefakter”.
I den trabekulära subtypen är cellerna arrangerade i distinkta kluster och trabekler. De individuella cellernas är runda till polygonala, tätt arrangerade och med relativt riklig, välavgränsad cytoplasma. Antalet mitoser är lågt till måttligt. Denna subtyp återfinnes ofta i anslutning till hudadnexstrukturer, särskilt hårfolliklar och är den minst vanliga tumörsubtypen [7].

Figur 1. A. Intermediär/solid typ av MCC med vesikulära, basofila cellkärnor, prominenta nukleoler och flertalet mitoser. B. Småcellig typ, histologiskt snarlik småcellig lungcancer. C. Trabekulär typ, ovanlig och ofta förekommande som liten del av en blandtumör. D. Immunfärgning av MCC uppvisande cytokeratinuttryck (CK20) med perinukleära ”dots”. efter Goessling W, McKee PH, Mayer RJ (2002), Merkelcellscancer.
Syftet med det histopatologiska utlåtandet är att ge behandlande läkare den information som behövs för optimal handläggning och prognosbedömning. För bättre diagnostisk säkerhet vid bedömning av oklara och svårvärderade fall rekommenderas användning av gällande kriterier, immunhistokemiska färgningar, nedsnittning, konsultation hos dermatopatolog och klinisk-patologisk korrelation.
Radikalitetsbedömning är avgörande för vidare handläggning. Med radikal excision menas att tumören är i snitten borttagen i sin helhet och det finns ordinär dermis mellan tumören och den tuschmarkerade resektionsytan. Excisionen är inte radikal när tumören eller tumörstromat når resektionsytan.
Multidisciplinär konferens (MDK) är ett forum där patologen medverkar i utvalda fall. Specifik frågeställning ska då anges vid anmälan till konferensen. Rutinmässig eftergranskning och demonstration av alla fall avråds.
För detaljerad information avseende epidemiologi, klinisk bild, handläggning m.m., se Nationellt vårdprogram Merkelcellscancer.
Hudpreparat
Anvisningar för provtagarens hantering av provet
Generella anvisningar
Preparatet bör hanteras varsamt, i synnerhet stansbiopsier, för att undvika artefakter som försvårar bedömningen (fragmentering, klämartefakter). Detta gäller i synnerhet MCC som är extra känsligt för klämskador och uttorkning, vilket kan äventyra diagnostiken och resultatet av den immunhistokemiska analysen.
Preparatet eller tumören får inte skäras igenom. Delar av tumören får inte avlägsnas. Vid avsteg från dessa rutiner krävs samråd med handläggande patologavdelning.
Preparatet skickas i ett tillräckligt stort kärl med 4-procentig buffrad formalin och med åtminstone 10 x preparatets volym.
Preparatburken ska vara markerad med patientens namn, personnummer, typ av preparat och lokalisation med sidoangivelse i relevanta fall.
Hudpreparat
Komplett excision inkluderande fettvävnad ger möjlighet till säkrast histopatologisk diagnos av MCC. I fall där hela förändringen av olika skäl inte excideras (t.ex. vid stora förändringar eller på känsliga lokaler som ansikte, öron, ögonlock, handflator, fotsulor och genitalier) bör anges var i tumören biopsi har tagits. Stansbiopsier bör tas där tumören är tjockast men ej ulcererad. Shavebiopsi och skrap rekommenderas inte på grund av suboptimal bedömbarhet (morfologi, invasion, radikalitet).
Tunna eller svårorienterade preparat t.ex. från ögonlockshud nålas med fördel på korkplatta. Excisionspreparat kan märkas med sutur. Skiss eller bild kan eventuellt bifogas.
Anamnestisk remissinformation
Remissinformation till patologen.
I samband med provtagning ska följande anges:
- Frågeställning:
- Tumörens lokalisation.
- Tumörens diameter i mm.
- Typ av preparat: stansbiopsi, shavebiopsi, skrap, excision
– Vid biopsi: var i tumören har biopsin tagits (perifert, centralt, annat). - Klinisk excisionsmarginal.
- Anamnes, ange särskilt
– Immunosupression (till exempel autoimmuna sjukdomar, organtransplantation, HIV).
– Tumörens utveckling över tid.
– Tidigare behandlad eller recidiverande MCC.
– Hudcancer eller annan malignitet (KLL, annan blodmalignitet, solida tumörer). - Kliniskt utseende, eventuellt foto.
- Uppgifter för direktkontakt med inremitterande (direktnummer).
Utskärningsanvisningar
Principiellt ska hela förändringen bäddas i form av ca 3 mm tjocka tvärskivor för histopatologisk undersökning. Korssnitt skall inte användas. Vid MCC är det inte ovanligt med intralymfatiska mikrotromber eller isolerade celler utanför huvudtumören, vilket skulle kunna förklara den höga andelen lokalrecidiv [PMID: 29072302]. Man kan därför överväga att bädda mer än enbart tumören i primärexcisionen och vara frikostig vid bäddning av den utvidgade excisionen.
För detaljerade instruktioner, se dokumentet ”Handläggning av hudprover – provtagningsanvisningar, utskärningsprinciper och snittning”.
Snittning och analyser
- Delade stansbiopsier ska inte trimmas.
- Minst två snittnivåer skall framställas från varje kloss.
- H&E rekommenderas som rutinfärgning.
Immunohistokemisk undersökning med antikroppar mot CK20, synaptofysin samt CK7, TTF1, CD56, CD45, S100 och CD99 bör utföras i samtliga fall av misstänkt MCC [1, 2]. Perinukleär ”dot-like” eller diffus cytoplasmatisk CK20 reaktivitet [3, 4] och samtidig synaptofysinpositivitet är obligatorisk för diagnosen av MCC. Kutana tumörer med neuroendokrin differentiering som saknar CK20-reaktivitet klassificeras som neuroendokrin cancer UNS och kräver klinisk korrelation och vidare utredning.
Histopatologiskt kan MCC vara svår att skilja från andra lågt differentierade, kutana och icke-kutana maligniteter som inräknas i gruppen ”små-, blåcelliga tumörer”. Samtliga dessa maligniteter saknar CK20-reaktivitet [11, 12].
Viktiga CK20-negativa differentialdiagnoser är:
- Småcellig lungcancer: Kutana metastaser av småcellig lungcancer uppvisar typiskt reaktivitet med TTF-1 och oftast CK7 [13, 14] .TTF-1-positiva MCC har dock rapporterats med klon SPT24 och SP141 [15].
- Malignt melanom: Den småcelliga varianten är en ovanlig fenotyp av malignt melanom [16]. Melanocytära markörer som HMB-45, Melan-A, och S-100 eller SOX10 bekräftar diagnosen.
- Ewings sarkom: uppvisar reaktivitet med CD56, CD99 och Fli-1. I tveksamma fall kan FISH för Ewings translokation eller PCR för ESW-Fli-1 fusionsprodukt vägleda [11, 17].
- Basalcellscancer: kan uttrycka vissa neuroendokrina markörer som chromogranin A CD56 och i sällsynta fall synaptofysin. MCC uppvisar ofta reaktivitet med Ber-EP4 i likhet med BCC. [18-20]
- Lymfoblastiskt lymfom av både av T- och B-cellstyp uttrycker TdT och kan vara CD45-negativ. Majoriteten av MCC uppvisar reaktivitet med TdT och PAX5, liksom B-cells lymfoblastiskt lymfom [21-23].
Tabell 1. Immunohistokemiska markörer för differentialdiagnoser till Merkelcellscancer [2].
|
Tumör |
AE1/AE3 |
CK20 |
CK7 |
TTF-1 |
CD56 |
CD45 |
S100 |
CD99 |
TdT |
|
Merkelcellscancer |
+ |
+ |
- |
±b |
+ |
- |
- |
± |
± |
|
Småcellig lungcancer |
+ |
- |
± |
+ |
+ |
- |
- |
± |
- |
|
Melanom |
-a |
- |
- |
- |
+ |
- |
+ |
- |
- |
|
Ewing´s sarkom |
-a |
- |
- |
- |
+ |
- |
- |
+ |
- |
|
Basalcellscancer |
+ |
- |
± |
- |
± |
- |
- |
- |
- |
|
Lymfom |
- |
- |
- |
- |
- |
+ |
- |
- |
± |
|
Lymfoblastiskt lymfom |
- |
- |
- |
- |
- |
± |
- |
± |
+ |
a Cytokeratiner uttrycks ibland i melanom och Ewing´s sarkom.
b Klon SPT24 och SP141
Information i remissens svarsdel
MCC bör besvaras enligt mall.
Obligatorska uppgifter i utlåtandet:
- Diagnos
- Invasionsnivå: dermis, subkutan fettvävnad, fascia, muskel, brosk, skelett.
- MCC i resektionsytan: ja/nej.
Övrigt:
Lymfovaskulär invasion, anslutande annan cancer (skivepitelcancer, basalcellscancer, aktinisk keratos, annat).
Portvaktskörtel
Portvaktskörtelbiopsi rekommenderas för stadieindelning.
Provtagningsanvisningar
För generella anvisningar se Hudpreparat.
Histopatologisk undersökning utförs vanligtvis på 1-3 portvaktskörtlar från en region. Kirurgen avgör vad som är portvaktskörtel och icke-portvaktskörtel.
Om det finns icke-portvaktskörtlar bör dessa skickas i separata preparatburkar.
Anamnestisk remissinformation
- Preoperativ diagnos.
- Lokalisation med sidoangivelse.
- Antal portvaktskörtlar.
- Antal eventuella icke-portvaktskörtlar
Utskärningsanvisningar
Se KVAST-bilaga i Nationellt vårdprogram malignt melanom.
Snittning och analyser
Odelad portvaktskörtel trimmas ner till en nivå nära centralplanet. Delad eller skivad portvaktskörtel ska inte trimmas, utan snittas försiktigt tills hela snitt kan framställas.
Från centralplanet av den odelade lymfkörteln, från varje halva av den delade lymfkörteln och från varje skiva av den skivade lymfkörteln framställs 4 konsekutiva snitt som färgas med de antikroppar som den aktuella tumören uttrycker starkast, enligt nedan:
- snitt 1 H&E
- snitt 2 antikropp 1
- snitt 3 antikropp 2
- snitt 4 H&E.
Ytterligare snittnivåer kan framställas vid behov (t.ex. fragmenterade snitt, oklara fall).
Information i remissens svarsdel
Obligatoriska uppgifter:
- Totalantal undersökta lymfkörtlar och antal lymfkörtlar med metastaser
- Förekomst av perikapsulär infiltration
Terapeutisk lymfkörtelutrymning
Anvisningar för provtagarens hantering av provet
För generella anvisningar se Hudpreparat.
Anamnestisk remissinformation
- Preoperativ diagnos.
- Preoperativt och peroperativt påvisade metastaser/palpabla metastaser.
- Lokalisation med sidoangivelse.
Utskärningsanvisningar
Preparatets vikt alternativt mått anges.
Palpabla lymfkörtlar och eventuella lymfkörtelkonglomerat fridissekeras, därefter undersöks resterande fettvävnad för att påvisa små lymfkörtlar. Vidare utskärning görs utifrån lymfkörtlarnas tjocklek i centralplanet som portvaktskörtel.
Delade körtlar bäddas i separata kassetter. Flera odelade körtlar kan bäddas tillsammans om de har liknande storlek. Lymfkörtelkonglomerat skivas och representativa skivor bäddas.
Totalantal lymfkörtlar och förekomst av lymfkörtelkonglomerat anges. Preparat från halslymfkörtelutrymning hanteras enligt anvisningar i KVAST för Halslymfkörtelutrymning/neckpreparat.
Snittning och analyser
En snittnivå framställs från varje kloss och färgas med H&E. Immunhistokemiska färgningar med de antikroppar som den aktuella tumören uttrycker starkast används vid behov.
Information i remissens svarsdel
Obligatoriska uppgifter:
- Totalantal undersökta lymfkörtlar och antal lymfkörtlar med metastaser.
- Förekomst av perikapsulär infiltration.
- Förekomst av konglomerat av lymfkörtelmetastaser.
- Inväxt i närliggande annan vävnad.
Rekommenderat klassifikationssystem
Klinisk tumördiameter och tumörens invasionsnivå är grunden för klassifikationen av MCC i huden enligt AJCC8/UICC8 [5, 24]. Avseende klassifikation vg se avsnitt 8.4.1 i vårdprogrammet.
Förslag till mall för histopatologiskt utlåtande
Makroskopisk beskrivning
- Provets lokalisation1:
- Preparatets typ:
- Preparatets mått:
- Förändringens mått:
- Förändringens utseende2:
Mikroskopisk bedömning
- Beskrivning3:
- Diagnos:
- Invasionsnivå4:
- MCC i resektionsytan: ja/nej.
- Övrigt5:
1Enligt uppgift på remiss och preparatburk. Om provets lokalisation inte framgår skriv: ej angiven.
2Form, färg, avgränsning, symmetri, yta m.m. Kan ersättas av skiss.
3Det är viktigt att kort beskriva de egenskaper som ligger till grund för bedömning av lesionen, inklusive diagnostiska överväganden vid bedömning av problemfall.
4Dermis, subkutan fettvävnad, fascia, muskulatur, brosk, skelett.
5Övriga uppgifter som bör anges om förekommande: lymfovaskulär invasion, anslutande annan cancer (skivepitelcancer, basalcellscancer, aktinisk keratos, annat).
Koder och beteckningar
SNOMED-koder
Förenklad kodning rekommenderas enligt nedan för att underlätta kvalitetsarbete. Topografikoden T02X bör anges.
Tabell 2. Rekommenderade SNOMED-koder.
|
Merkelcellscancer |
M82473 |
|
Merkelcellscancer metastas |
M82476 |
|
Merkelcellscancer recidiv |
M82477 |
|
Merkelcellscancer misstänkt |
M82471 |
Kvalitetsarbete för patologin
Kompetenskrav
För att säkerställa diagnostisk kvalitet bör MCC handläggas av specialister med kompetens och erfarenhet av hudtumörer och neuroendokrina tumörer. Läkare under utbildning kan handlägga dessa fall efter delegering av medicinskt ansvarig patolog.
Hud-KVAST-gruppen
Medlemmar
Katarzyna Lundmark (katarzyna.lundmark@regionostergotland.se) sammankallande, med.dr, överläkare, ansvarig patolog i Nationellt vårdprogram för malignt melanom, Klinisk patologi och genetik, Universitetssjukhuset i Linköping, Linköping, Region Sydöst.
Anna Coter (anna.coter@regionvastmanland.se) överläkare, Klinisk patologi, Laboratoriemedicin, Västerås sjukhus Västerås , Region Västmanland.
Iva Johansson (iva.johansson@ vgregion.se ) överläkare, Klinisk patologi, Sahlgrenska Universitetssjukhuset, Göteborg.
Britta Krynitz (britta.krynitz@sll.se) med.dr, överläkare, Klinisk patologi och cytologi, Karolinska Universitetslaboratoriet, Karolinska Universitetssjukhuset, Stockholm, Region Stockholm-Gotland.
Lena Mölne (lena.molne@vgregion.se) med.dr, överläkare, Klinisk patologi, Sahlgrenska Universitetssjukhuset, Göteborg, Region Väst.
Daniel Lieb Nosek (daniel.nosek@regionvasterbotten.se) överläkare, Klinisk patologi, Norrlands Universitetssjukhus, Umeå, Region Norr.
Ismini Vassilaki (ismini.vassilaki@sll.se) överläkare, Klinisk patologi och cytologi, Karolinska Universitetslaboratoriet; seniorkonsult, patolog/dermatopatolog, Dermipath AB.
Granskning
Dokumentet är granskat av den nationella vårdprogramgruppen för MCC.
Rekommenderad litteratur
WHO Classification of skin tumors 4th ed: WHO; 2018 Elder DE, Massi D, Scolyer RA, Willemze R.
Weedon's Skin Pathology. 5th ed: Elsevier; 2020. Patterson J (ref)
McKee's Pathology of the skin. 5th ed: Elsevier; 2019 Calonje JE, Brenn T, Lazar A, Billings S (ref).
Referenser
1. Leech SN, Kolar AJ, Barrett PD, Sinclair SA, Leonard N. Merkel cell carcinoma can be distinguished from metastatic small cell carcinoma using antibodies to cytokeratin 20 and thyroid transcription factor 1. Journal of clinical pathology. 2001;54(9):727-9.
2. Llombart B, Requena C, Cruz J. Update on Merkel Cell Carcinoma: Epidemiology, Etiopathogenesis, Clinical Features, Diagnosis, and Staging. Actas Dermosifiliogr. 2017;108(2):108-19.
3. Chan JK, Suster S, Wenig BM, Tsang WY, Chan JB, Lau AL. Cytokeratin 20 immunoreactivity distinguishes Merkel cell (primary cutaneous neuroendocrine) carcinomas and salivary gland small cell carcinomas from small cell carcinomas of various sites. The American journal of surgical pathology. 1997;21(2):226-34.
4. Wong HH, Wang J. Merkel cell carcinoma. Archives of pathology & laboratory medicine. 2010;134(11):1711-6.
5. Harms KL, Healy MA, Nghiem P, Sober AJ, Johnson TM, Bichakjian CK, et al. Analysis of Prognostic Factors from 9387 Merkel Cell Carcinoma Cases Forms the Basis for the New 8th Edition AJCC Staging System. Annals of surgical oncology. 2016;23(11):3564-71.
6. Fields RC, Busam KJ, Chou JF, Panageas KS, Pulitzer MP, Kraus DH, et al. Recurrence and survival in patients undergoing sentinel lymph node biopsy for merkel cell carcinoma: analysis of 153 patients from a single institution. Annals of surgical oncology. 2011;18(9):2529-37.
7. Toker C. Trabecular carcinoma of the skin. Archives of dermatology. 1972;105(1):107-10.
8. Gould VE, Moll R, Moll I, Lee I, Franke WW. Neuroendocrine (Merkel) cells of the skin: hyperplasias, dysplasias, and neoplasms. Lab Invest. 1985;52(4):334-53.
9. Ratner D, Nelson BR, Brown MD, Johnson TM. Merkel cell carcinoma. Journal of the American Academy of Dermatology. 1993;29(2 Pt 1):143-56.
10. Pilotti S, Rilke F, Bartoli C, Grisotti A. Clinicopathologic correlations of cutaneous neuroendocrine Merkel cell carcinoma. Journal of clinical oncology : official journal of the American Society of Clinical Oncology. 1988;6(12):1863-73.
11. Daoud MA, Mete O, Al Habeeb A, Ghazarian D. Neuroendocrine carcinoma of the skin--an updated review. Seminars in diagnostic pathology. 2013;30(3):234-44.
12. Pulitzer MP, Amin BD, Busam KJ. Merkel cell carcinoma: review. Advances in anatomic pathology. 2009;16(3):135-44.
13. Jerome Marson V, Mazieres J, Groussard O, Garcia O, Berjaud J, Dahan M, et al. Expression of TTF-1 and cytokeratins in primary and secondary epithelial lung tumours: correlation with histological type and grade. Histopathology. 2004;45(2):125-34.
14. Masai K, Tsuta K, Kawago M, Tatsumori T, Kinno T, Taniyama T, et al. Expression of squamous cell carcinoma markers and adenocarcinoma markers in primary pulmonary neuroendocrine carcinomas. Appl Immunohistochem Mol Morphol. 2013;21(4):292-7.
15. Creytens D. TTF-1 Positivity in Merkel Cell Carcinoma: The Chosen Clone Matters. Am J Dermatopathol. 2020;42(5):386-7.
16. Song HS, Kim YC. Small cell melanoma. Annals of dermatology. 2014;26(3):419-21.
17. Lucas DR, Bentley G, Dan ME, Tabaczka P, Poulik JM, Mott MP. Ewing sarcoma vs lymphoblastic lymphoma. A comparative immunohistochemical study. Am J Clin Pathol. 2001;115(1):11-7.
18. Tzorakoleftheraki SE, Iliadis A, Kostopoulos I, Koletsa T. TdT expression in normal and neoplastic sebaceous cells. Histopathology. 2017;71(6):985-8.
19. Panse G, McNiff JM, Ko CJ. Basal cell carcinoma: CD56 and cytokeratin 5/6 staining patterns in the differential diagnosis with Merkel cell carcinoma. Journal of cutaneous pathology. 2017;44(6):553-6.
20. Vega Memije ME, Luna EM, de Almeida OP, Taylor AM, Cuevas González JC. Immunohistochemistry panel for differential diagnosis of Basal cell carcinoma and trichoblastoma. Int J Trichology. 2014;6(2):40-4.
21. Buresh CJ, Oliai BR, Miller RT. Reactivity with TdT in Merkel cell carcinoma: a potential diagnostic pitfall. Am J Clin Pathol. 2008;129(6):894-8.
22. Dong HY, Liu W, Cohen P, Mahle CE, Zhang W. B-cell specific activation protein encoded by the PAX-5 gene is commonly expressed in merkel cell carcinoma and small cell carcinomas. The American journal of surgical pathology. 2005;29(5):687-92.
23. Sung CO, Ko YH, Park S, Kim K, Kim W. Immunoreactivity of CD99 in non-Hodgkin's lymphoma: unexpected frequent expression in ALK-positive anaplastic large cell lymphoma. J Korean Med Sci. 2005;20(6):952-6.
24. Trinidad CM, Torres-Cabala CA, Prieto VG, Aung PP. Update on eighth edition American Joint Committee on Cancer classification for Merkel cell carcinoma and histopathological parameters that determine prognosis. Journal of clinical pathology. 2019;72(5):337-40.